Western Blot - Anti-AKT1 (phospho Ser473) Antibody (A90652)
Western blot analysis of 293F, using Anti-AKT1 (phospho Ser473) Antibody (A90652) at 1:1,000 dilution. 293F cells were treated by IGF-1 (50 ng/ml) at 37°C for 5 minutes after serum-starvation overnight. The secondary antibody was Goat Anti-Rabbit IgG H&L Antibody (HRP) at 1:10,000 dilution. Lysates/proteins were present at 25µg per lane. The blocking buffer used was 3% non-fat dry milk in TBST. Detection was with a ECL Basic Kit. Exposure time: 1s.
Western Blot - Anti-AKT1 (phospho Ser473) Antibody (A90652)
Western blot analysis of NIH/3T3, using Anti-AKT1 (phospho Ser473) Antibody (A90652) at 1:1,000 dilution. NIH/3T3 cells were treated by PDGF (100 ng/ml) at 37°C for 30 minutes after serum-starvation overnight. The secondary antibody was Goat Anti-Rabbit IgG H&L Antibody (HRP) at 1:10,000 dilution. Lysates/proteins were present at 25µg per lane. The blocking buffer used was 3% non-fat dry milk in TBST. Detection was with a ECL Basic Kit. Exposure time: 1s.
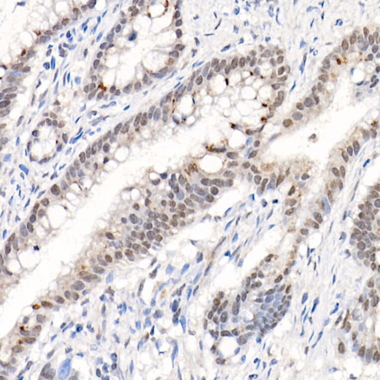
Immunohistochemistry analysis of paraffin-embedded human colon carcinoma tissue using Anti-AKT1 (phospho Ser473) Antibody (A90652) at a dilution of 1:50 (40x lens). Perform high pressure antigen retrieval with 10 mM citrate buffer pH 6.0 before commencing with IHC staining protocol.
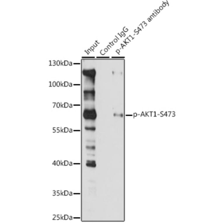
Western Blot - Anti-AKT1 (phospho Ser473) Antibody (A90652)
Immunoprecipitation analysis of 200µg extracts of Jurkat cells using 3µg of Anti-AKT1 (phospho Ser473) Antibody (A90652). This Western blot was performed on the immunoprecipitate using Anti-AKT1 (phospho Ser473) Antibody (A90652) at a dilution of 1:1000. Jurkat cells were treated by Calycµlin A (100 nM) at 37°C for 30 minutes.
Publishing research using Anti-AKT1 (phospho Ser473) Antibody (A90652)? Please let us know so that we can list the citation on this page.
Alternative products to Anti-AKT1 (phospho Ser473) Antibody (A90652)