ISO 9001:2015 Certified
Live Customer Support
4.5/5 on Trustpilot
100% Quality Guarantee

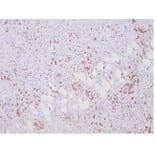
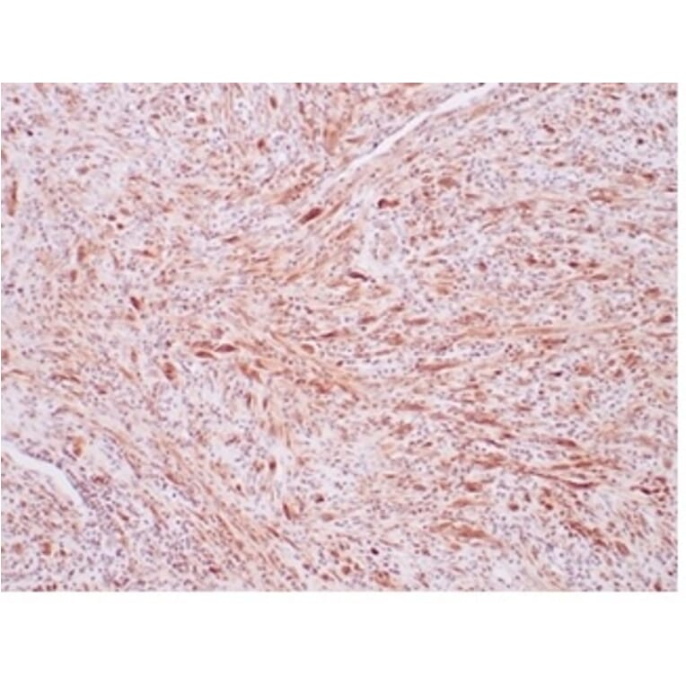
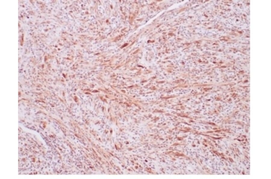
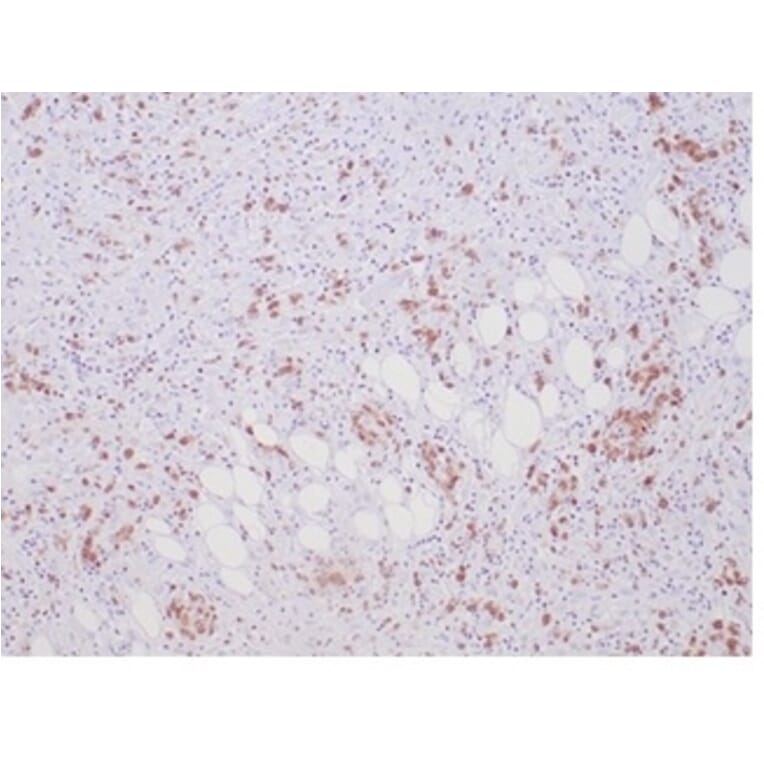
Recombinant Anti-ALK Antibody [ALK1/7008R] (A277986)

Recombinant rabbit monoclonal [ALK1/7008R] antibody to ALK for IHC-P.

Alternative Formats and ConjugatesAlternative Formats

Shipping Information

$40
Dispatched from St. Louis, MO.
Lead Time: 5-8 business days.
Name
Anti-ALK Antibody [ALK1/7008R]
Description
Recombinant rabbit monoclonal [ALK1/7008R] antibody to ALK.
Specificity
Anaplastic lymphoma kinase (ALK) is a receptor tyrosine kinase of the insulin receptor superfamily. ALK is typically expressed at low levels in regions of the developing central and peripheral nervous system.ALK may be activated in cancer through multiple mechanisms. The most common mechanism is through formation of a fusion protein from chromosomal translocations, as in the case of anaplastic large cell lymphoma (ALCL) and inflammatory myofibroblastic tumors. ALK may also be amplified through mutation, as in neuroblastomas. Various solid tumors, such as non-small cell lung carcinoma (NSCLC) and brain cancers were also found to aberrantly express ALK. ALK staining is present within both the nucleus and cytoplasm, and are positive in about 60% of ALCL. ALK protein expression by tumor cells is an independent prognostic factor that predicts a favorable outcome.
Applications
IHC-P
Dilutions
IHC-P: 1-2 µg/ml
Reactivity
Human
Immunogen
Recombinant fragment corresponding to the cytoplasmic domain of human ALK.
Host
Rabbit
Clonality
Monoclonal
Clone ID
ALK1/7008R
Isotype
IgG
Light Chains
kappa
Conjugate

Unconjugated

Purification
Protein A/G chromatography.
Concentration
200 µg/ml
Molecular Weight
80 kDa (hybrid) / 200 kDa (wild type)
Product Form
Liquid
Formulation
Supplied in 10mM Phosphate Buffered Saline with 0.05% BSA and 0.05% Sodium Azide.
Storage
Shipped at 4°C. Upon delivery aliquot and store at -20°C. Avoid freeze / thaw cycles.
General Notes
This monoclonal antibody is also available in a different formulation without BSA and Sodium Azide - Anti-ALK Antibody [ALK1/7008R] - BSA and Azide free (A278574).
Synonyms
ALK tyrosine kinase receptor, Anaplastic lymphoma kinase, CD246
Disclaimer
This product is for research use only. It is not intended for diagnostic or therapeutic use.
Publishing research using Recombinant Anti-ALK Antibody [ALK1/7008R] (A277986)? Please let us know so that we can list the citation on this page.

Alternative products to Anti-ALK Antibody [ALK1/7008R] (A277986)

Proteins predicted to interact with ALK

Predicted protein interactions based upon String database. Revelancy score correlates with probability of interaction.
99.9% Relevancy Score
99.9% Relevancy Score
99.7% Relevancy Score
99.4% Relevancy Score
98.9% Relevancy Score
98.6% Relevancy Score
97.9% Relevancy Score
97.7% Relevancy Score
97.3% Relevancy Score