ISO 9001:2015 Certified
Live Customer Support
4.5/5 on Trustpilot
100% Quality Guarantee

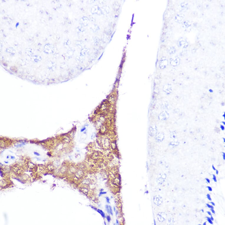
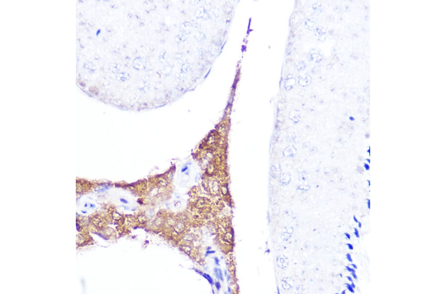
Anti-AMH Antibody (A10451)

Rabbit polyclonal antibody to AMH for WB, IHC and ICC/IF.

Shipping Information

$40
Dispatched from St. Louis, MO.
Lead Time: 7-10 business days.
Name
Anti-AMH Antibody
Description
Rabbit polyclonal antibody to AMH.
Applications
WB, IHC, ICC/IF
Dilutions
WB: 1:100-1:500, IHC: 1:50-1:200, ICC/IF: 1:50-1:100
Reactivity
Human, Mouse, Rat
Immunogen
Recombinant fusion protein containing a sequence corresponding to amino acids 360-560 of human AMH (NP_000470.3).
Sequence
PAPLHDPTSAPWATALARRVAAELQAAAAELRSLPGLPPATAPLLARLLALCPGGPGGLGDPLRALLLLKALQGLRVEWRGRDPRGPGRAQRSAGATAADGPCALRELSVDLRAERSVLIPETYQANNCQGVCGWPQSDRNPRYGNHVVLLLKMQVRGAALARPPCCVPTAYAGKLLISLSEERISAHHVPNMVATECGCR
Host
Rabbit
Clonality
Polyclonal
Isotype
IgG
Conjugate

Unconjugated

Purification
Affinity purification.
Concentration
Lot Specific
Molecular Weight
60 kDa
Product Form
Liquid
Formulation
Supplied in Phosphate Buffered Saline, pH 7.3, with 50% Glycerol and 0.05% Proclin 300.
Storage
Shipped at 4°C. Upon delivery aliquot and store at -20°C. Avoid freeze/thaw cycles.
Synonyms
Anti-Muellerian hormone, MIF, MIS, Muellerian-inhibiting factor, Muellerian-inhibiting substance
Disclaimer
This product is for research use only. It is not intended for diagnostic or therapeutic use.
Publishing research using Anti-AMH Antibody (A10451)? Please let us know so that we can list the citation on this page.

Alternative products to Anti-AMH Antibody (A10451)

Proteins predicted to interact with AMH

Predicted protein interactions based upon String database. Revelancy score correlates with probability of interaction.
99.9% Relevancy Score
95.6% Relevancy Score
94.8% Relevancy Score
92.8% Relevancy Score
92% Relevancy Score
91.8% Relevancy Score
91.2% Relevancy Score
91% Relevancy Score