ISO 9001:2015 Certified
Live Customer Support
4.5/5 on Trustpilot
100% Quality Guarantee

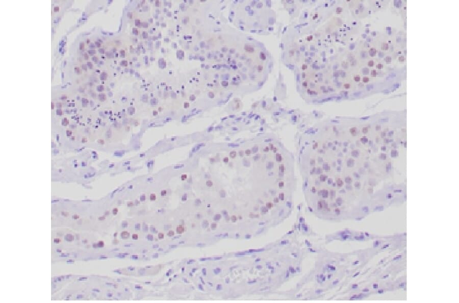
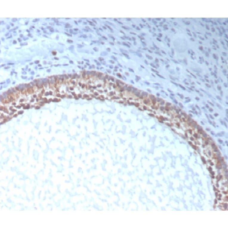
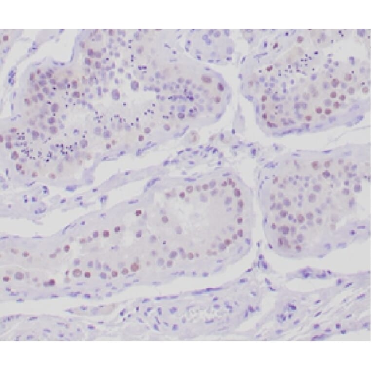
Anti-AMH Antibody [AMH/300] - BSA and Azide free (A278217)

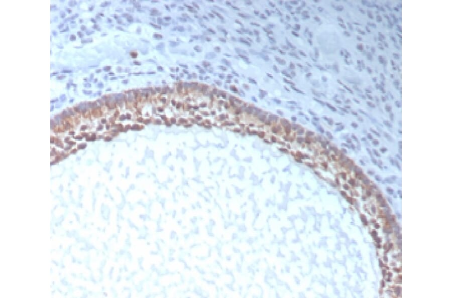
Mouse monoclonal [AMH/300] antibody to AMH for WB and IHC-P.

Alternative Formats and ConjugatesAlternative Formats

Shipping Information

$40
Dispatched from St. Louis, MO.
Lead Time: 5-8 business days.
Name
Anti-AMH Antibody [AMH/300] - BSA and Azide free
Description
Mouse monoclonal [AMH/300] antibody to AMH.
Specificity
The transforming growth factor β(TGFβ) superfamily is composed of numerous growth and differentiation factors, including TGFβ1-3, Mullerian inhibiting substance (MIS), growth/differentiation factor (GDF) 1-9, bone morphogenic protein (BMP) 2-8, glial cell line-derived neurotrophic factor (GDNF), Inhibin α,β-A, β-B and β-C, Lefty and Nodal. Members of the TGFβsuperfamily are involved in embryonic development and adult tissue homeostasis. The MIS glycoprotein is produced by the Sertoli cells of the testes. Fetal testes produce both MIS and testosterone, the presence of which result in male offspring. Absence of MIS and testosterone in a developing fetus results in the induction of Mullerian duct differentiation, and Wolffian duct development is not induced. Testosterone induces the differentiation of the Wolffian ducts whereas MIS causes regression of the Muellerian duct. MIS inhibits the growth of tumors derived from tissues of Mullerian duct origin. MIS can also inhibit the autophosphorylation of the EGF receptor in vitro. Defects in anti-Muellerian hormone are the cause of persistent Muellerian duct syndrome type I (PMDS-1). PMDS-1 is a form of male pseudo hermaphroditism characterized by a failure of Muellerian duct regression in otherwise normal males.
Applications
WB, IHC-P
Dilutions
WB: 1-2 µg/ml, IHC-P: 1-2 µg/ml
Reactivity
Human, Mouse, Sheep, Baboon
Immunogen
Recombinant fragment corresponding to the C terminus, around amino acids 460-560, of human AMH. The exact sequence is proprietary.
Host
Mouse
Clonality
Monoclonal
Clone ID
AMH/300
Isotype
IgG1
Light Chains
kappa
Conjugate

Unconjugated

Purification
Protein A/G chromatography.
Concentration
1 mg/ml
Molecular Weight
70 kDa (reduced) / 140 kDa (nonreduced)
Product Form
Liquid
Formulation
Supplied in 10mM Phosphate Buffered Saline; without Sodium Azide and carrier free.
Storage
Shipped at 4°C. Upon delivery aliquot and store at -20°C. Avoid freeze / thaw cycles.
General Notes
This monoclonal antibody is also available in a different formulation with BSA and Sodium Azide - Anti-AMH Antibody [AMH/300] (A277629).
Synonyms
Anti-Muellerian hormone, MIF, MIS, Muellerian-inhibiting factor, Muellerian-inhibiting substance
Disclaimer
This product is for research use only. It is not intended for diagnostic or therapeutic use.
Publishing research using Anti-AMH Antibody [AMH/300] - BSA and Azide free (A278217)? Please let us know so that we can list the citation on this page.

Alternative products to Anti-AMH Antibody [AMH/300] - BSA and Azide free (A278217)

Proteins predicted to interact with AMH

Predicted protein interactions based upon String database. Revelancy score correlates with probability of interaction.
99.9% Relevancy Score
95.6% Relevancy Score
94.8% Relevancy Score
92.8% Relevancy Score
92% Relevancy Score
91.8% Relevancy Score
91.2% Relevancy Score
91% Relevancy Score