Western Blot - Anti-Amyloid Precursor Protein Antibody [ARC0465] (A307112)
Western blot analysis of extracts from wild type (WT) and APP knockout (KO) 293T cells, using Anti-Amyloid Precursor Protein Antibody (A307112) at 1:1,000 dilution. The secondary antibody was Goat Anti-Rabbit IgG H&L Antibody (HRP) at 1:10,000 dilution. Lysates/proteins were present at 25µg per lane. The blocking buffer used was 3% non-fat dry milk in TBST. Detection was with a ECL Basic Kit. Exposure time: 10s.
Western Blot - Anti-Amyloid Precursor Protein Antibody [ARC0465] (A307112)
Western blot analysis of extracts of various cell lines, using Anti-Amyloid Precursor Protein Antibody (A307112) at 1:1,000 dilution. The secondary antibody was Goat Anti-Rabbit IgG H&L Antibody (HRP) at 1:10,000 dilution. Lysates/proteins were present at 25µg per lane. The blocking buffer used was 3% non-fat dry milk in TBST. Detection was with a ECL Basic Kit. Exposure time: 10s.
Immunohistochemistry - Anti-Amyloid Precursor Protein Antibody [ARC0465] (A307112)
Immunohistochemistry analysis of paraffin-embedded mouse brain using Anti-Amyloid Precursor Protein Antibody (A307112) at a dilution of 1:100 (40x lens). Perform microwave antigen retrieval with 10 mM PBS buffer pH 7.2 before commencing with IHC staining protocol.
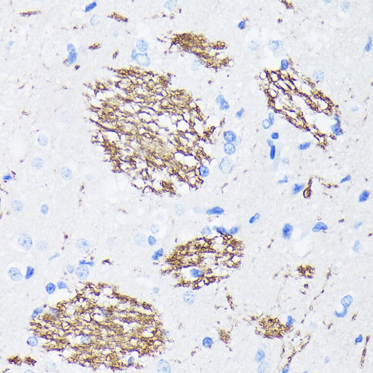
Immunohistochemistry - Anti-Amyloid Precursor Protein Antibody [ARC0465] (A307112)
Immunohistochemistry analysis of paraffin-embedded rat brain using Anti-Amyloid Precursor Protein Antibody (A307112) at a dilution of 1:100 (40x lens). Perform microwave antigen retrieval with 10 mM PBS buffer pH 7.2 before commencing with IHC staining protocol.
Immunohistochemistry - Anti-Amyloid Precursor Protein Antibody [ARC0465] (A307112)
Immunohistochemistry analysis of paraffin-embedded human brain tissue using Anti-Amyloid Precursor Protein Antibody (A307112) at a dilution of 1:100 (40x lens). Perform microwave antigen retrieval with 10 mM PBS buffer pH 7.2 before commencing with IHC staining protocol.
Immunofluorescence - Anti-Amyloid Precursor Protein Antibody [ARC0465] (A307112)
Immunofluorescence analysis of HeLa cells using Anti-Amyloid Precursor Protein Antibody (A307112) at a dilution of 1:100 (40x lens). DAPI was used to stain the cell nuclei (blue).
Western Blot - Anti-Amyloid Precursor Protein Antibody [ARC0465] (A307112)
Immunoprecipitation analysis of 300µg extracts of HeLa cells using 3µg of Anti-Amyloid Precursor Protein Antibody (A307112). This Western blot was performed on the immunoprecipitate using Anti-Amyloid Precursor Protein Antibody (A307112) at a dilution of 1:1000.
Publishing research using Anti-Amyloid Precursor Protein Antibody [ARC0465] (A307112)? Please let us know so that we can list the citation on this page.
Most popular Anti-Amyloid Precursor Protein Antibodies
Recombinant human monoclonal antibody to APP for use as a research grade Sabirnetug biosimilar for ELISA, Flow Cytometry, Functional Studies and in vivo Research.
Recombinant humanized monoclonal antibody to APP for use as a research grade Bapineuzumab biosimilar for ELISA, Flow Cytometry, Functional Studies and in vivo Research.
Recombinant human monoclonal antibody to APP for use as a research grade Sabirnetug biosimilar for ELISA, Flow Cytometry, Functional Studies and in vivo Research.
Recombinant humanized monoclonal antibody to APP for use as a research grade Bapineuzumab biosimilar for ELISA, Flow Cytometry, Functional Studies and in vivo Research.