Primary Antibodies
Secondary Antibodies
Proteins & Peptides
ELISA Kits
About Us
Contact Us
Sign In/Register
0
ISO 9001:2015 Certified
Live Customer Support
4.5/5 on Trustpilot
100% Quality Guarantee
Home
Primary Antibodies
APP Antibodies
Anti-APP Antibody (A48609)
Anti-APP Antibody (A48609)
Overview
Specifications
Images
Enlarge Image
Enlarge Image
$780
Product Datasheet
Rabbit polyclonal antibody to APP for ELISA, WB and IHC.
100% Guarantee
Price Match Guarantee
Product Size:
100µl
Quantity:
1
2
3
4
5
6
7
8
9
10
Add To Cart
Request a Quotation
Custom or Bulk Request
Shipping Information
Freight/Packing Charges:
$40
Dispatched from St. Louis, MO.
Lead Time: 6-9 business days.
Specifications
Name
Anti-APP Antibody
Description
Rabbit polyclonal antibody to APP
Applications
ELISA
,
WB
,
IHC
Reactivity
Human, Mouse, Rat
Immunogen
Raised against an 18 amino acid peptide near the amino terminus of human APP.
Host
Rabbit
Clonality
Polyclonal
Conjugate
Unconjugated
Purification
Affinity chromatography purified via peptide column
Formulation
Supplied in phosphate-buffered saline with 0.02% Sodium Azide.
Storage
Shipped at 4°C. Upon delivery aliquot and store at -20°C. Avoid freeze/thaw cycles.
Synonyms
A4, ABPP, AD1, Alzheimer disease amyloid A4 protein homolog, Alzheimer disease amyloid protein, Amyloid precursor protein, Amyloid-beta precursor protein, APPI
Suitable Secondaries
Goat Anti-Rabbit IgG H&L Antibody (AP) (A294874)
Goat Anti-Rabbit IgG H&L Antibody (Biotin) (A294795)
Goat Anti-Rabbit IgG H&L Antibody (FITC) (A294887)
Goat Anti-Rabbit IgG H&L Antibody (HRP) (A294888)
See all Anti-Rabbit IgG Secondaries →
Disclaimer
This product is for research use only. It is not intended for diagnostic or therapeutic use.
Scientific Validation Data
Validation Data
(2)
Enlarge Image
Anti-APP Antibody (A48609)
Western blot analysis of APP in rat brain tissue lysate with APP antibody at (A) 1 and (B) 2 µg/mL.
Enlarge Image
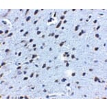
Immunohistochemistry - Anti-APP Antibody (A48609)
Immunohistochemistry of APP in mouse brain tissue with APP antibody at 2.5 µg/mL.
Publishing research using Anti-APP Antibody (A48609)? Please
let us know
so that we can list the citation on this page.
Most popular Anti-APP Antibodies
(2)
A448
Anti-Amyloid Precursor Protein Antibody
Rabbit polyclonal antibody to Amyloid Precursor Protein for WB, ICC and IHC.
(2)
A449
Anti-Amyloid Precursor Protein Antibody
Rabbit polyclonal antibody to Amyloid Precursor Protein for WB and ICC.
(2)
A448
Anti-Amyloid Precursor Protein Antibody
Rabbit polyclonal antibody to Amyloid Precursor Protein for WB, ICC and IHC.
(2)
A449
Anti-Amyloid Precursor Protein Antibody
Rabbit polyclonal antibody to Amyloid Precursor Protein for WB and ICC.
Alternative products to Anti-APP Antibody (A48609)
(7)
A307112
Anti-Amyloid Precursor Protein Antibody [ARC0465]
Rabbit monoclonal [ARC0465] antibody to Amyloid Precursor Protein for WB, IHC, ICC/IF and IP.
(5)
A93572
Anti-Amyloid beta A4 Antibody
Rabbit polyclonal antibody to Amyloid beta A4 for WB, IHC, IF and ELISA.
(5)
A94882
Anti-Amyloid beta A4 (phospho Thr743 + Thr668) Antibody
Rabbit polyclonal antibody to Amyloid beta A4 (phospho Thr743 + Thr668) for WB, IHC, IF and ELISA.
(2)
A451
Anti-APP delta C31 Antibody
Rabbit polyclonal antibody to APP delta C31 for WB, ICC and ELISA.
(2)
A87840
1 Citation
Anti-Amyloid Precursor Protein Antibody
Rabbit polyclonal antibody to Amyloid Precursor Protein for WB and ICC/IF.
(3)
A340484
Sabirnetug Biosimilar - Anti-APP Antibody - BSA and Azide free
Human monoclonal antibody to APP Research grade Sabirnetug biosimilar for ELISA, Flow Cytometry, Functional Studies and in vivo Research.
(2)
A48588
Anti-APP Antibody
Rabbit polyclonal antibody to APP for ELISA, WB and IHC.
(2)
A48589
Anti-APP Antibody
Rabbit polyclonal antibody to APP for ELISA, WB and IHC.
(2)
A48607
Anti-APP Antibody
Rabbit polyclonal antibody to APP for ELISA, WB and IHC.
(2)
A25041
Anti-APP/ß-Amyloid (E737) Antibody
Rabbit polyclonal antibody to APP/ß-Amyloid (E737) for WB, IHC and IF.
(2)
A27489
Anti-APP/ß-Amyloid (phospho-T668) Antibody
Rabbit polyclonal antibody to APP/ß-Amyloid (phospho-T668) for WB and IHC.
(2)
A338747
Solanezumab Biosimilar - Anti-APP Antibody - BSA and Azide free
Humanized monoclonal antibody to APP Research grade Solanezumab biosimilar for ELISA, Flow Cytometry, Functional Studies and in vivo Research.
(7)
A307112
Anti-Amyloid Precursor Protein Antibody [ARC0465]
Rabbit monoclonal [ARC0465] antibody to Amyloid Precursor Protein for WB, IHC, ICC/IF and IP.
(5)
A93572
Anti-Amyloid beta A4 Antibody
Rabbit polyclonal antibody to Amyloid beta A4 for WB, IHC, IF and ELISA.
(5)
A94882
Anti-Amyloid beta A4 (phospho Thr743 + Thr668) Antibody
Rabbit polyclonal antibody to Amyloid beta A4 (phospho Thr743 + Thr668) for WB, IHC, IF and ELISA.
(2)
A451
Anti-APP delta C31 Antibody
Rabbit polyclonal antibody to APP delta C31 for WB, ICC and ELISA.
(2)
A87840
1 Citation
Anti-Amyloid Precursor Protein Antibody
Rabbit polyclonal antibody to Amyloid Precursor Protein for WB and ICC/IF.
(3)
A340484
Sabirnetug Biosimilar - Anti-APP Antibody - BSA and Azide free
Human monoclonal antibody to APP Research grade Sabirnetug biosimilar for ELISA, Flow Cytometry, Functional Studies and in vivo Research.
(2)
A48588
Anti-APP Antibody
Rabbit polyclonal antibody to APP for ELISA, WB and IHC.
(2)
A48589
Anti-APP Antibody
Rabbit polyclonal antibody to APP for ELISA, WB and IHC.
(2)
A48607
Anti-APP Antibody
Rabbit polyclonal antibody to APP for ELISA, WB and IHC.
(2)
A25041
Anti-APP/ß-Amyloid (E737) Antibody
Rabbit polyclonal antibody to APP/ß-Amyloid (E737) for WB, IHC and IF.
(2)
A27489
Anti-APP/ß-Amyloid (phospho-T668) Antibody
Rabbit polyclonal antibody to APP/ß-Amyloid (phospho-T668) for WB and IHC.
(2)
A338747
Solanezumab Biosimilar - Anti-APP Antibody - BSA and Azide free
Humanized monoclonal antibody to APP Research grade Solanezumab biosimilar for ELISA, Flow Cytometry, Functional Studies and in vivo Research.
See all APP Antibodies
Proteins predicted to interact with APP
Predicted protein interactions based upon String database. Revelancy score correlates with probability of interaction.
SorLA Antibodies
99.9% Relevancy Score
FE65 Antibodies
99.9% Relevancy Score
ApoE Antibodies
99.9% Relevancy Score
BACE1 Antibodies
99.9% Relevancy Score
Presenilin 1 Antibodies
99.9% Relevancy Score
DR6 Antibodies
99.8% Relevancy Score
Clusterin Antibodies
99.8% Relevancy Score
PrP Antibodies
99.8% Relevancy Score
APPBP1 Antibodies
99.8% Relevancy Score
Top