Primary Antibodies
Secondary Antibodies
Proteins & Peptides
ELISA Kits
About Us
Contact Us
Sign In/Register
0
ISO 9001:2015 Certified
Live Customer Support
4.5/5 on Trustpilot
100% Quality Guarantee
Home
Primary Antibodies
Annexin A1 Antibodies
Anti-Annexin A1 Antibody [YN00086m] (A288794)
Anti-Annexin A1 Antibody [YN00086m] (A288794)
Overview
Specifications
Images
Enlarge Image
$240
Product Datasheet
Mouse monoclonal [YN00086m] antibody to Annexin A1 for IHC-P.
100% Guarantee
Price Match Guarantee
Product Size:
3ml
6ml
Quantity:
1
2
3
4
5
6
7
8
9
10
Add To Cart
Request a Quotation
Custom or Bulk Request
Shipping Information
Freight/Packing Charges:
$40
Dispatched from St. Louis, MO.
Lead Time: 8-12 business days.
Specifications
Name
Anti-Annexin A1 Antibody [YN00086m]
Description
Mouse monoclonal [YN00086m] antibody to Annexin A1.
Applications
IHC-P
Reactivity
Human
Host
Mouse
Clonality
Monoclonal
Clone ID
YN00086m
Conjugate
Unconjugated
Concentration
100 µg/ml for the RTU antibody, 1 mg/ml for the concentrated antibody
Product Form
Liquid
Formulation
Supplied in Tris Buffered Saline, pH7.4, with 0.1% Proclin 300.
Storage
Shipped at 4°C. Upon delivery aliquot and store at -20°C. Avoid freeze / thaw cycles.
Synonyms
Annexin I, Annexin-1, ANX1, ANXA1, Calpactin II, Calpactin-2, Chromobindin-9, LPC1
Suitable Secondaries
Goat Anti-Mouse IgG H&L Antibody (AP) (A301438)
Goat Anti-Mouse IgG H&L Antibody (Biotin) (A301439)
Goat Anti-Mouse IgG H&L Antibody (FITC) (A301669)
Goat Anti-Mouse IgG H&L Antibody (HRP) (A301445)
See all Anti-Mouse IgG Secondaries →
Disclaimer
This product is for research use only. It is not intended for diagnostic or therapeutic use.
Scientific Validation Data
Validation Data
(1)
Enlarge Image
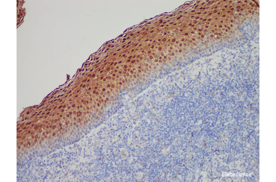
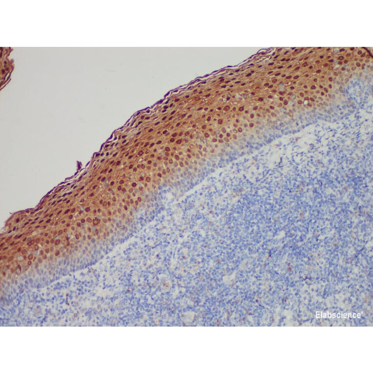
Anti-Annexin A1 Antibody [YN00086m] (A288794)
Immunohistochemistry of paraffinembedded Human tonsil tissue with Annexin A1 Monoclonal Antibody(Antigen repaired by EDTA).
Publishing research using Anti-Annexin A1 Antibody [YN00086m] (A288794)? Please
let us know
so that we can list the citation on this page.
Alternative products to Anti-Annexin A1 Antibody [YN00086m] (A288794)
(9)
A248817
Anti-Annexin A1 Antibody [ANXA1/3566]
Mouse monoclonal [ANXA1/3566] antibody to Annexin A1 for Flow Cytometry, IF, WB and IHC-P.
(9)
A251997
Anti-Annexin A1 Antibody [ANXA1/3566] - BSA and Azide free
Mouse monoclonal [ANXA1/3566] antibody to Annexin A1 for Flow Cytometry, IF, WB and IHC-P.
(3)
A248820
Anti-Annexin A1 Antibody [ANXA1/3869R]
Recombinant rabbit monoclonal [ANXA1/3869R] antibody to Annexin A1 for WB, IP and IHC-P.
(5)
A35163
Anti-ANXA1 Antibody
Rabbit polyclonal antibody to ANXA1 for WB, IHC and ICC/IF.
(3)
A54112
Anti-Annexin A1 Antibody
Rabbit polyclonal antibody to Annexin A1 for ELISA, IHC, IP and WB.
(5)
A251992
Anti-Annexin A1 Antibody [ANXA1/1671] - BSA and Azide free
Mouse monoclonal [ANXA1/1671] antibody to Annexin A1 for Flow Cytometry, WB, IF and IHC-P.
(5)
A248812
Anti-Annexin A1 Antibody [ANXA1/1671]
Mouse monoclonal [ANXA1/1671] antibody to Annexin A1 for Flow Cytometry, WB, IF and IHC-P.
(3)
A28868
Anti-Annexin I Antibody
Rabbit polyclonal antibody to Annexin I for WB, IHC and IF.
(4)
A248814
Anti-Annexin A1 Antibody [CPTC-ANXA1-1]
Mouse monoclonal [CPTC-ANXA1-1] antibody to Annexin A1 for IP, WB and IHC-P.
(3)
A252000
Anti-Annexin A1 Antibody [ANXA1/3869R] - BSA and Azide free
Recombinant rabbit monoclonal [ANXA1/3869R] antibody to Annexin A1 for WB, IP and IHC-P.
(4)
A277893
Anti-Annexin A1 Antibody [rANXA1/6451]
Recombinant mouse monoclonal [rANXA1/6451] antibody to Annexin A1 for WB and IHC-P.
(4)
A251994
Anti-Annexin A1 Antibody [CPTC-ANXA1-1] - BSA and Azide free
Mouse monoclonal [CPTC-ANXA1-1] antibody to Annexin A1 for IP, WB and IHC-P.
(9)
A248817
Anti-Annexin A1 Antibody [ANXA1/3566]
Mouse monoclonal [ANXA1/3566] antibody to Annexin A1 for Flow Cytometry, IF, WB and IHC-P.
(9)
A251997
Anti-Annexin A1 Antibody [ANXA1/3566] - BSA and Azide free
Mouse monoclonal [ANXA1/3566] antibody to Annexin A1 for Flow Cytometry, IF, WB and IHC-P.
(3)
A248820
Anti-Annexin A1 Antibody [ANXA1/3869R]
Recombinant rabbit monoclonal [ANXA1/3869R] antibody to Annexin A1 for WB, IP and IHC-P.
(5)
A35163
Anti-ANXA1 Antibody
Rabbit polyclonal antibody to ANXA1 for WB, IHC and ICC/IF.
(3)
A54112
Anti-Annexin A1 Antibody
Rabbit polyclonal antibody to Annexin A1 for ELISA, IHC, IP and WB.
(5)
A251992
Anti-Annexin A1 Antibody [ANXA1/1671] - BSA and Azide free
Mouse monoclonal [ANXA1/1671] antibody to Annexin A1 for Flow Cytometry, WB, IF and IHC-P.
(5)
A248812
Anti-Annexin A1 Antibody [ANXA1/1671]
Mouse monoclonal [ANXA1/1671] antibody to Annexin A1 for Flow Cytometry, WB, IF and IHC-P.
(3)
A28868
Anti-Annexin I Antibody
Rabbit polyclonal antibody to Annexin I for WB, IHC and IF.
(4)
A248814
Anti-Annexin A1 Antibody [CPTC-ANXA1-1]
Mouse monoclonal [CPTC-ANXA1-1] antibody to Annexin A1 for IP, WB and IHC-P.
(3)
A252000
Anti-Annexin A1 Antibody [ANXA1/3869R] - BSA and Azide free
Recombinant rabbit monoclonal [ANXA1/3869R] antibody to Annexin A1 for WB, IP and IHC-P.
(4)
A277893
Anti-Annexin A1 Antibody [rANXA1/6451]
Recombinant mouse monoclonal [rANXA1/6451] antibody to Annexin A1 for WB and IHC-P.
(4)
A251994
Anti-Annexin A1 Antibody [CPTC-ANXA1-1] - BSA and Azide free
Mouse monoclonal [CPTC-ANXA1-1] antibody to Annexin A1 for IP, WB and IHC-P.
See all Annexin A1 Antibodies
Proteins predicted to interact with Annexin A1
Predicted protein interactions based upon String database. Revelancy score correlates with probability of interaction.
FPR1 Antibodies
99.9% Relevancy Score
FPRL1 Antibodies
99.9% Relevancy Score
S100A11 Antibodies
99.8% Relevancy Score
Annexin A2 Antibodies
98.9% Relevancy Score
Dysferlin Antibodies
98.3% Relevancy Score
S100A10 Antibodies
97.7% Relevancy Score
FPR3 Antibodies
96.6% Relevancy Score
TRIM72 Antibodies
93.8% Relevancy Score
Caveolin-3 Antibodies
92.7% Relevancy Score
Top