Primary Antibodies
Secondary Antibodies
Proteins & Peptides
ELISA Kits
About Us
Contact Us
Sign In/Register
0
ISO 9001:2015 Certified
Live Customer Support
4.5/5 on Trustpilot
100% Quality Guarantee
Home
Primary Antibodies
ARF1 Antibodies
Anti-ARF1 Antibody (A38361)
Anti-ARF1 Antibody (A38361)
Overview
Specifications
Images
Enlarge Image
Enlarge Image
$645
Product Datasheet
Rabbit polyclonal antibody to ARF1 for WB and IHC.
100% Guarantee
Price Match Guarantee
Product Size:
100µl
Quantity:
1
2
3
4
5
6
7
8
9
10
Add To Cart
Request a Quotation
Custom or Bulk Request
Shipping Information
Freight/Packing Charges:
$40
Dispatched from St. Louis, MO.
Lead Time: 6-9 business days.
Specifications
Name
Anti-ARF1 Antibody
Description
Rabbit polyclonal antibody to ARF1
Applications
WB
,
IHC
Reactivity
Human
Immunogen
Synthetic peptide contain a sequence corresponding to a region within amino acids 50 and 114 of Human ARF1
Host
Rabbit
Clonality
Polyclonal
Conjugate
Unconjugated
Purification
Purified by antigen-affinity chromatography.
Formulation
Supplied in 0.1M Tris-buffered saline with 10% Glycerol (pH7.0). 0.01% Thimerosal was added as a preservative.
Storage
Shipped at 4°C. Upon delivery aliquot and store at -20°C. Avoid freeze/thaw cycles.
Synonyms
ADP-ribosylation factor 1
Suitable Secondaries
Goat Anti-Rabbit IgG H&L Antibody (AP) (A294874)
Goat Anti-Rabbit IgG H&L Antibody (Biotin) (A294795)
Goat Anti-Rabbit IgG H&L Antibody (FITC) (A294887)
Goat Anti-Rabbit IgG H&L Antibody (HRP) (A294888)
See all Anti-Rabbit IgG Secondaries →
Disclaimer
This product is for research use only. It is not intended for diagnostic or therapeutic use.
Scientific Validation Data
Validation Data
(2)
Enlarge Image
Anti-ARF1 Antibody (A38361)
Sample (30 µg of whole cell lysate) Hep G212% SDS PAGE Primary antibody diluted at 1: 500
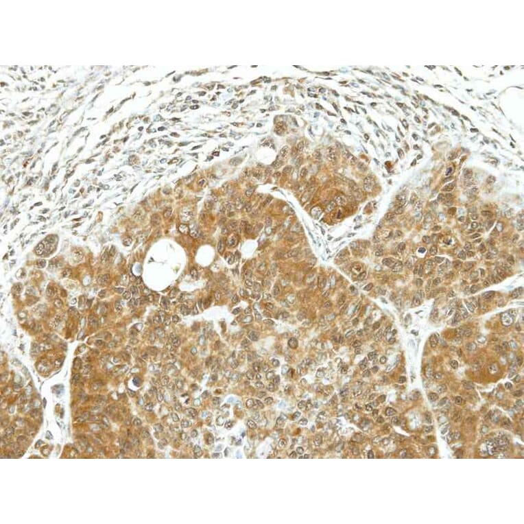
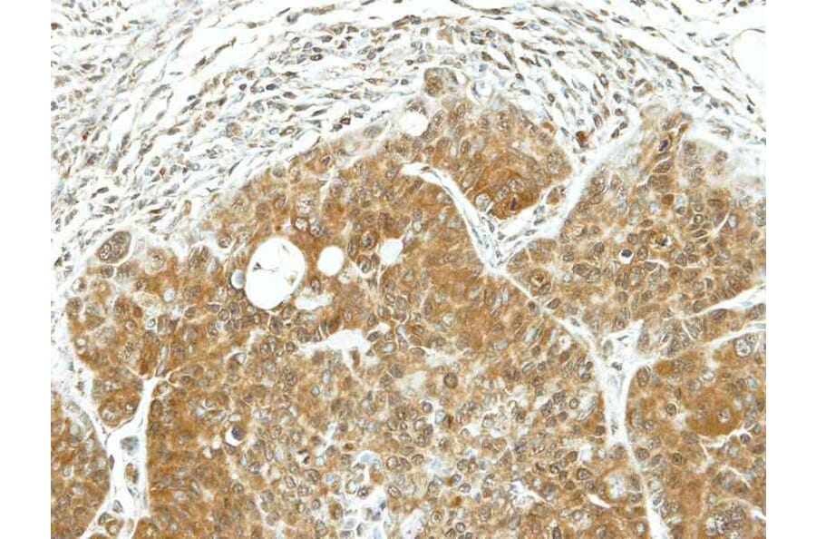
Enlarge Image
Immunohistochemistry - Anti-ARF1 Antibody (A38361)
Immunohistochemical analysis of paraffin-embedded SW480 xenograft, using ARF1 antibody at 1: 100 dilution.
Publishing research using Anti-ARF1 Antibody (A38361)? Please
let us know
so that we can list the citation on this page.
Alternative products to Anti-ARF1 Antibody (A38361)
(3)
A83143
Anti-ARF1 Antibody
Goat polyclonal antibody to ARF1 for ELISA, WB and Flow Cytometry.
(6)
A252285
Anti-ARF1 Antibody [ARF1/2117] - BSA and Azide free
Mouse monoclonal [ARF1/2117] antibody to ARF1 for IHC-P.
(6)
A249105
Anti-ARF1 Antibody [ARF1/2117]
Mouse monoclonal [ARF1/2117] antibody to ARF1 for IHC-P.
A54943
Anti-ARF1 Antibody
Rabbit polyclonal antibody to ARF1 for ELISA, ICC/IF, IP and WB.
A249104
Anti-ARF1 Antibody [3F1]
Mouse monoclonal [3F1] antibody to ARF1 for ELISA, IF, WB and IHC-P.
(3)
A249103
Anti-ARF1 Antibody [1A9/5]
Mouse monoclonal [1A9/5] antibody to ARF1 for WB and IHC-P.
A252284
Anti-ARF1 Antibody [3F1] - BSA and Azide free
Mouse monoclonal [3F1] antibody to ARF1 for ELISA, IF, WB and IHC-P.
(3)
A252283
Anti-ARF1 Antibody [1A9/5] - BSA and Azide free
Mouse monoclonal [1A9/5] antibody to ARF1 for WB and IHC-P.
(2)
A48481
Anti-ARF1 Antibody
Rabbit polyclonal antibody to ARF1 for ELISA, WB and IHC.
(3)
A35402
Anti-ARF1 Antibody
Rabbit polyclonal antibody to ARF1 for WB, IHC and ICC/IF.
(2)
A306088
Anti-ARF1 Antibody [ARC1472]
Rabbit monoclonal [ARC1472] antibody to ARF1 for WB and ICC/IF.
A344560
Anti-ARF1 Antibody [23GB3155]
Recombinant rabbit monoclonal [23GB3155] antibody to ARF1 for WB, Flow Cytometry and ICC/IF.
(3)
A83143
Anti-ARF1 Antibody
Goat polyclonal antibody to ARF1 for ELISA, WB and Flow Cytometry.
(6)
A252285
Anti-ARF1 Antibody [ARF1/2117] - BSA and Azide free
Mouse monoclonal [ARF1/2117] antibody to ARF1 for IHC-P.
(6)
A249105
Anti-ARF1 Antibody [ARF1/2117]
Mouse monoclonal [ARF1/2117] antibody to ARF1 for IHC-P.
A54943
Anti-ARF1 Antibody
Rabbit polyclonal antibody to ARF1 for ELISA, ICC/IF, IP and WB.
A249104
Anti-ARF1 Antibody [3F1]
Mouse monoclonal [3F1] antibody to ARF1 for ELISA, IF, WB and IHC-P.
(3)
A249103
Anti-ARF1 Antibody [1A9/5]
Mouse monoclonal [1A9/5] antibody to ARF1 for WB and IHC-P.
A252284
Anti-ARF1 Antibody [3F1] - BSA and Azide free
Mouse monoclonal [3F1] antibody to ARF1 for ELISA, IF, WB and IHC-P.
(3)
A252283
Anti-ARF1 Antibody [1A9/5] - BSA and Azide free
Mouse monoclonal [1A9/5] antibody to ARF1 for WB and IHC-P.
(2)
A48481
Anti-ARF1 Antibody
Rabbit polyclonal antibody to ARF1 for ELISA, WB and IHC.
(3)
A35402
Anti-ARF1 Antibody
Rabbit polyclonal antibody to ARF1 for WB, IHC and ICC/IF.
(2)
A306088
Anti-ARF1 Antibody [ARC1472]
Rabbit monoclonal [ARC1472] antibody to ARF1 for WB and ICC/IF.
A344560
Anti-ARF1 Antibody [23GB3155]
Recombinant rabbit monoclonal [23GB3155] antibody to ARF1 for WB, Flow Cytometry and ICC/IF.
See all ARF1 Antibodies
Proteins predicted to interact with ARF1
Predicted protein interactions based upon String database. Revelancy score correlates with probability of interaction.
Cytohesin 2 Antibodies
99.9% Relevancy Score
Cytohesin 1 Antibodies
99.9% Relevancy Score
AP1B1 Antibodies
99.2% Relevancy Score
beta COP Antibodies
99.2% Relevancy Score
PLD2 Antibodies
99.1% Relevancy Score
ARFGAP1 Antibodies
98.9% Relevancy Score
Cytohesin 3 Antibodies
98.9% Relevancy Score
ARHGAP21 Antibodies
98.4% Relevancy Score
PSCD4 Antibodies
98.3% Relevancy Score
Top