ISO 9001:2015 Certified
Live Customer Support
4.5/5 on Trustpilot
100% Quality Guarantee

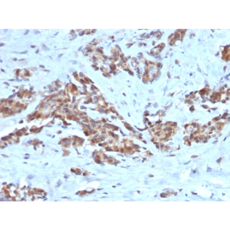
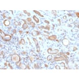
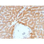
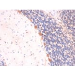
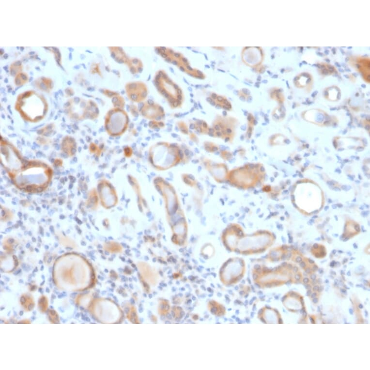
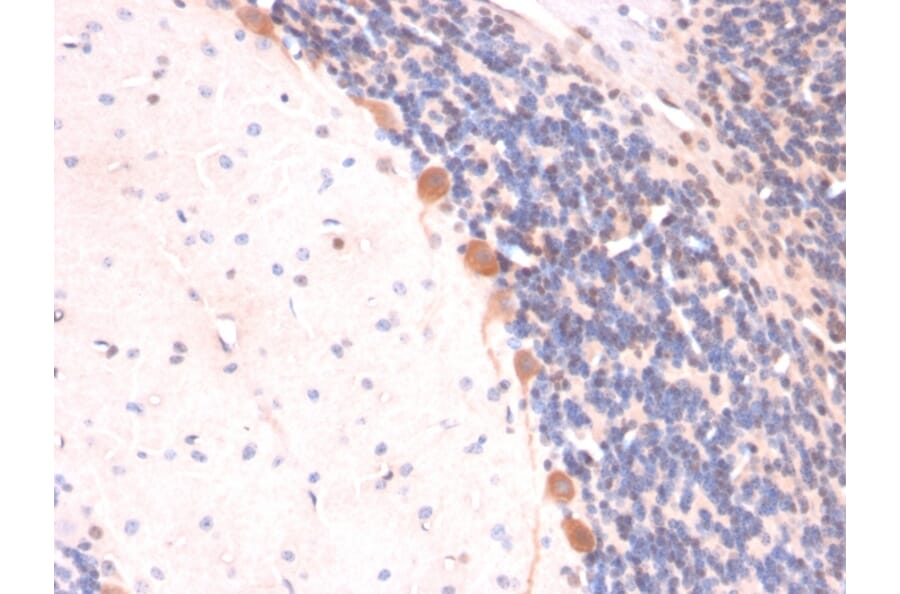
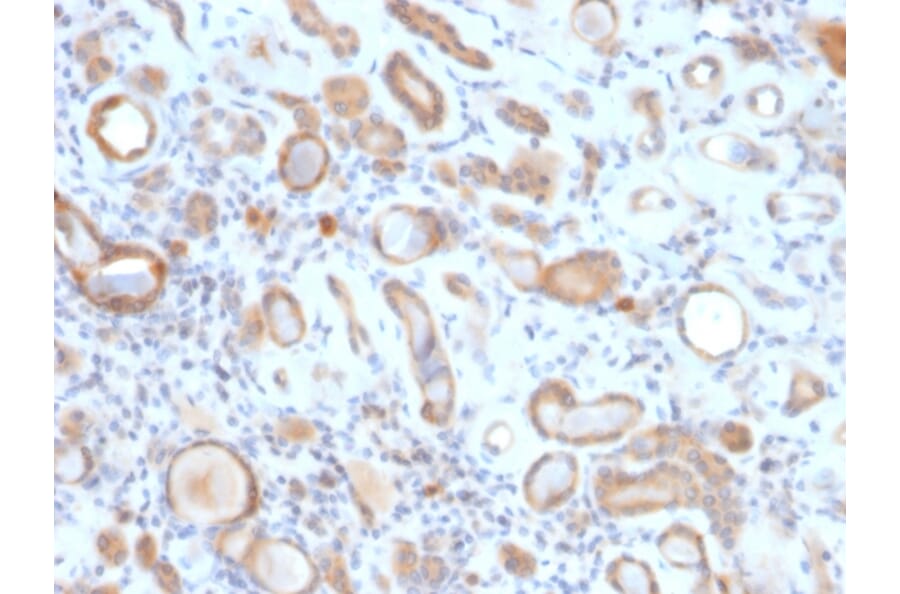
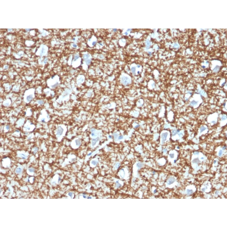
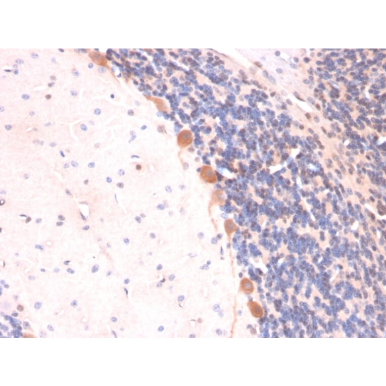
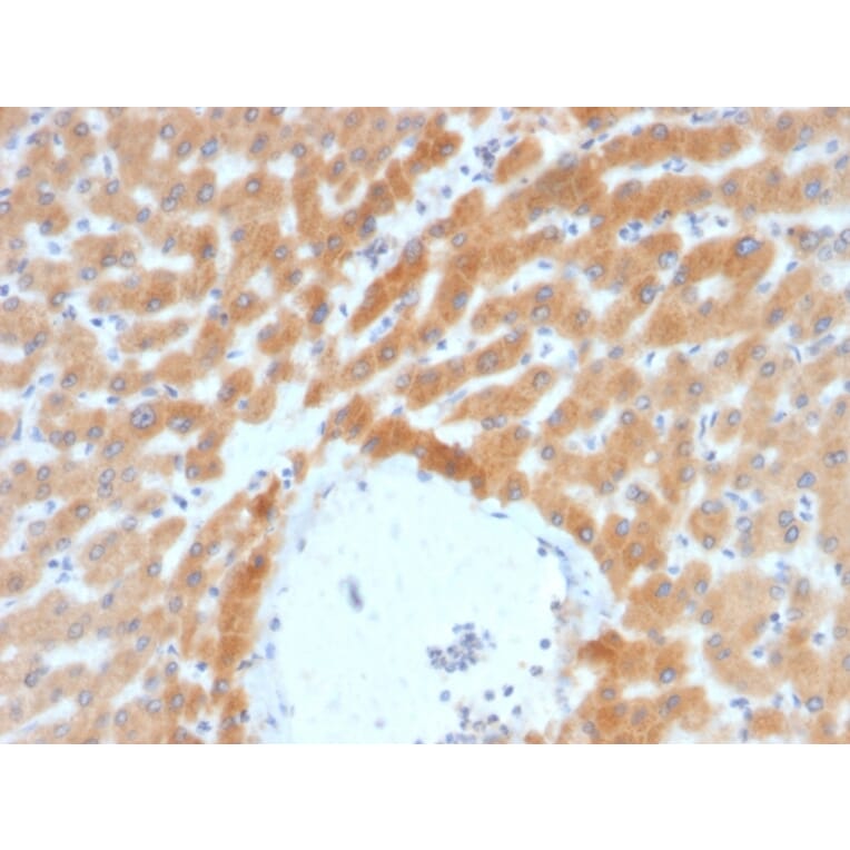
Anti-ARF1 Antibody [ARF1/2117] - BSA and Azide free (A252285)

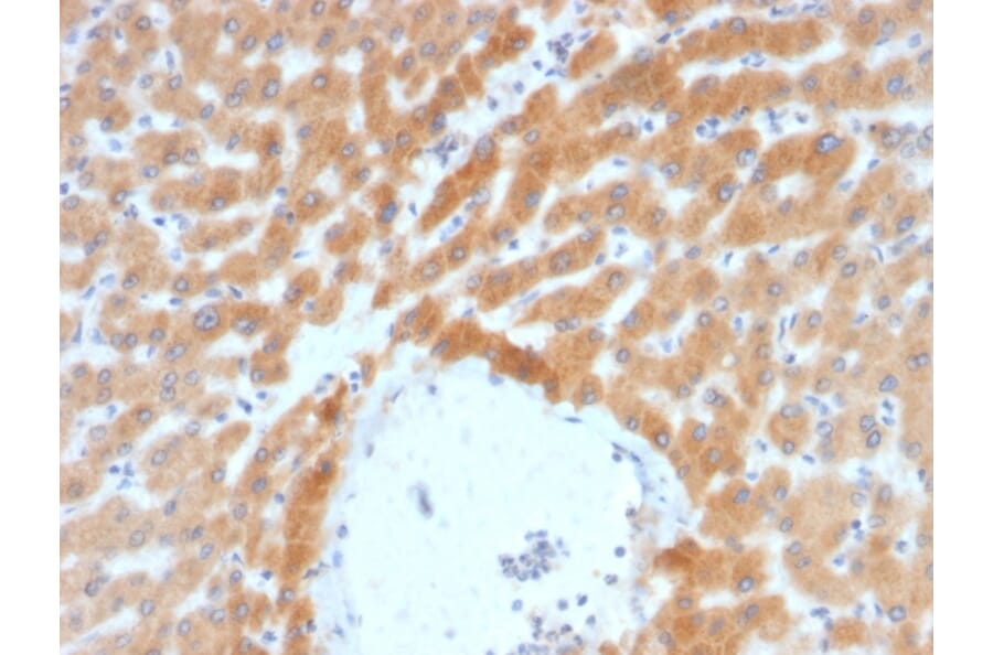
Mouse monoclonal [ARF1/2117] antibody to ARF1 for IHC-P.

Alternative Formats and ConjugatesAlternative Formats

Shipping Information

$40
Dispatched from St. Louis, MO.
Lead Time: 5-8 business days.
Name
Anti-ARF1 Antibody [ARF1/2117] - BSA and Azide free
Description
Mouse monoclonal [ARF1/2117] antibody to ARF1.
Specificity
The ADP-ribosylation factor (ARF) family comprises a group of structurally and functionally conserved proteins, which are members of the Ras superfamily of regulatory GTP-binding proteins. The ARF family is divided functionally into the ARF and the ARF-like proteins. ARFs share more than 60% sequence identity, appear to be ubiquitous in eukaryotes, and are highly conserved evolutionarily. ARF is involved in intracellular protein traffic to and within the Golgi complex. ARF has a number of disparate activities including maintenance of organelle integrity, assembly of coat proteins, as a co-factor for cholera toxin and as an activator of phospholipase D.
Applications
IHC-P
Dilutions
IHC-P: 1-2 µg/ml
Reactivity
Human, Mouse, Rat
Immunogen
Recombinant full-length human ARF1 protein.
Host
Mouse
Clonality
Monoclonal
Clone ID
ARF1/2117
Isotype
IgG2a
Light Chains
kappa
Conjugate

Unconjugated

Purification
Protein A/G chromatography.
Concentration
1 mg/ml
Molecular Weight
20 kDa
Product Form
Liquid
Formulation
Supplied in 10mM Phosphate Buffered Saline; without Sodium Azide and carrier free.
Storage
Shipped at 4°C. Upon delivery aliquot and store at -20°C. Avoid freeze / thaw cycles.
General Notes
This monoclonal antibody is also available in a different formulation with BSA and Sodium Azide - Anti-ARF1 Antibody [ARF1/2117] (A249105).
Synonyms
ADP-ribosylation factor 1
Disclaimer
This product is for research use only. It is not intended for diagnostic or therapeutic use.
Publishing research using Anti-ARF1 Antibody [ARF1/2117] - BSA and Azide free (A252285)? Please let us know so that we can list the citation on this page.

Alternative products to Anti-ARF1 Antibody [ARF1/2117] - BSA and Azide free (A252285)

Proteins predicted to interact with ARF1

Predicted protein interactions based upon String database. Revelancy score correlates with probability of interaction.
99.9% Relevancy Score
99.9% Relevancy Score
99.2% Relevancy Score
99.2% Relevancy Score
99.1% Relevancy Score
98.9% Relevancy Score
98.9% Relevancy Score
98.4% Relevancy Score
98.3% Relevancy Score