ISO 9001:2015 Certified
Live Customer Support
4.5/5 on Trustpilot
100% Quality Guarantee

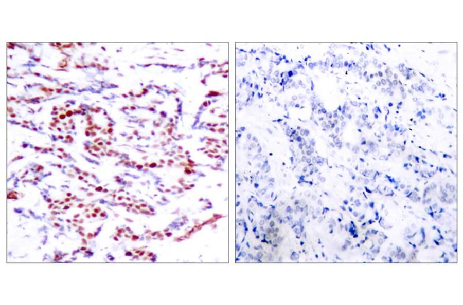
Anti-ATF2 (Phospho-Thr71 or 53) Antibody (A50371)

$290

Rabbit polyclonal antibody to ATF2 (Phospho-Thr71 or 53) for WB and IHC.

Shipping Information

$40
Dispatched from St. Louis, MO.
Lead Time: 6-9 business days.
Name
Anti-ATF2 (Phospho-Thr71 or 53) Antibody
Description
Rabbit polyclonal antibody to ATF2 (Phospho-Thr71 or 53)
Specificity
The antibody detects endogenous level of ATF-2 only when phosphorylated at threonine 71 or 53.
Applications
WB, IHC
Dilutions
Western blotting: 1:500~1:1000 Immunohistochemistry: 1:50~1:100
Reactivity
Human, Mouse, Rat
Immunogen
Peptide sequence around phosphorylation site of threonine 71 or 53 (T-P-T(p)-P-T) derived from Human ATF2.
Host
Rabbit
Clonality
Polyclonal
Conjugate

Unconjugated

Purification
Antibodies were produced by immunizing rabbits with synthetic phosphopeptide and KLH conjugates. Antibodies were purified by affinity-chromatography using epitope-specific phosphopeptide. Non-phospho specific antibodies were removed by chromatogramphy using non-phosphopeptide.
Concentration
1 mg/ml
Predicted MW
65-75 kd
Formulation
Supplied at 1.0mg / mL in phosphate buffered saline (without Mg2+ and Ca2+), pH 7.4, 150mM NaCl, 0.02% sodium azide and 50% glycerol.
Storage
Store at -20°C for long term preservation (recommended). Store at 4°C for short term use.
Synonyms
Activating transcription factor 2, cAMP response element-binding protein CRE-BP1, cAMP-dependent transcription factor ATF-2, cAMP-responsive element-binding protein 2, CREB-2, CREB2, CREBP1, Cyclic AMP-dependent transcription factor ATF-2, Cyclic AMP-responsive element-binding protein 2, HB16
Disclaimer
This product is for research use only. It is not intended for diagnostic or therapeutic use.
Publishing research using Anti-ATF2 (Phospho-Thr71 or 53) Antibody (A50371)? Please let us know so that we can list the citation on this page.

Alternative products to Anti-ATF2 (Phospho-Thr71 or 53) Antibody (A50371)

Proteins predicted to interact with ATF2

Predicted protein interactions based upon String database. Revelancy score correlates with probability of interaction.
99.9% Relevancy Score
99.8% Relevancy Score
99.8% Relevancy Score
99.3% Relevancy Score
99.2% Relevancy Score
99% Relevancy Score
98.9% Relevancy Score
98.6% Relevancy Score
97.9% Relevancy Score