ISO 9001:2015 Certified
Live Customer Support
4.5/5 on Trustpilot
100% Quality Guarantee

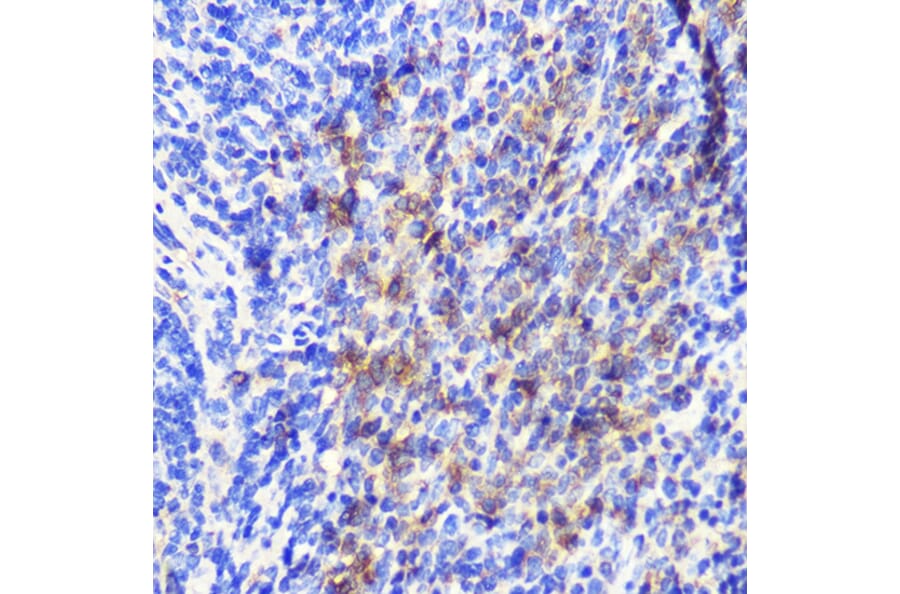
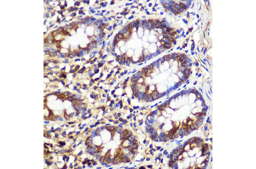
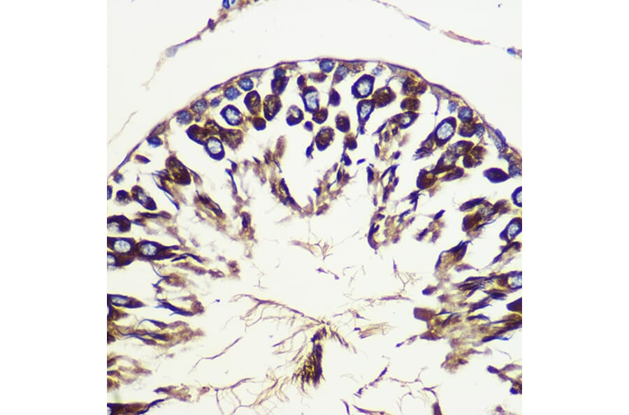
Anti-ATG10 Antibody (A12112)

Rabbit polyclonal antibody to ATG10 for WB and IHC.

Shipping Information

$40
Dispatched from St. Louis, MO.
Lead Time: 7-10 business days.
Name
Anti-ATG10 Antibody
Description
Rabbit polyclonal antibody to ATG10.
Applications
WB, IHC
Dilutions
WB: 1:500-1:2,000, IHC: 1:50-1:200
Reactivity
Human, Mouse, Rat
Immunogen
A synthetic peptide corresponding to a sequence within amino acids 160 to the C-terminus of human ATG10 (NP_113670.1).
Sequence
FFVLHPCKTNEFMTPVLKNSQKINKNVNYITSWLSIVGPVVGLNLPLSYAKATSQDERNVP
Host
Rabbit
Clonality
Polyclonal
Isotype
IgG
Conjugate

Unconjugated

Purification
Affinity purification.
Concentration
Lot Specific
Molecular Weight
25 kDa
Product Form
Liquid
Formulation
Supplied in Phosphate Buffered Saline, pH 7.3, with 50% Glycerol and 0.01% Thiomersal.
Storage
Shipped at 4°C. Upon delivery aliquot and store at -20°C. Avoid freeze/thaw cycles.
Synonyms
APG10-like, APG10L, Autophagy-related protein 10, Ubiquitin-like-conjugating enzyme ATG10
Disclaimer
This product is for research use only. It is not intended for diagnostic or therapeutic use.
Publishing research using Anti-ATG10 Antibody (A12112)? Please let us know so that we can list the citation on this page.

Alternative products to Anti-ATG10 Antibody (A12112)

Proteins predicted to interact with ATG10

Predicted protein interactions based upon String database. Revelancy score correlates with probability of interaction.
99.9% Relevancy Score
99.9% Relevancy Score
99.8% Relevancy Score
99% Relevancy Score
97.8% Relevancy Score
97.3% Relevancy Score
95.8% Relevancy Score
94.9% Relevancy Score
94% Relevancy Score