Primary Antibodies
Secondary Antibodies
Proteins & Peptides
ELISA Kits
About Us
Contact Us
Sign In/Register
0
ISO 9001:2015 Certified
Live Customer Support
4.5/5 on Trustpilot
100% Quality Guarantee
Home
Primary Antibodies
ATG10 Antibodies
Anti-ATG10 Antibody (A37866)
Anti-ATG10 Antibody (A37866)
Overview
Specifications
Images
Enlarge Image
Enlarge Image
$430
Product Datasheet
Rabbit polyclonal antibody to ATG10 for WB and IHC.
100% Guarantee
Price Match Guarantee
Product Size:
100µl
Quantity:
1
2
3
4
5
6
7
8
9
10
Add To Cart
Request a Quotation
Custom or Bulk Request
Shipping Information
Freight/Packing Charges:
$40
Dispatched from St. Louis, MO.
Lead Time: 6-9 business days.
Specifications
Name
Anti-ATG10 Antibody
Description
Rabbit polyclonal antibody to ATG10
Specificity
The antibody detects endogenous levels of total ATG10 protein.
Applications
WB
,
IHC
Reactivity
Human, Mouse
Immunogen
Fusion protein corresponding to a region derived from internal residues of human autophagy related 10
Host
Rabbit
Clonality
Polyclonal
Conjugate
Unconjugated
Purification
Antigen affinity purification.
Concentration
2.4 mg/mL
Formulation
Supplied in PBS, pH 7.3, containing 0.05% sodium azide and 50% glycerol.
Storage
Shipped at 4°C. Upon delivery aliquot and store at -20°C. Avoid freeze/thaw cycles.
Synonyms
APG10-like, APG10L, Autophagy-related protein 10, Ubiquitin-like-conjugating enzyme ATG10
Suitable Secondaries
Goat Anti-Rabbit IgG H&L Antibody (AP) (A294874)
Goat Anti-Rabbit IgG H&L Antibody (Biotin) (A294795)
Goat Anti-Rabbit IgG H&L Antibody (FITC) (A294887)
Goat Anti-Rabbit IgG H&L Antibody (HRP) (A294888)
See all Anti-Rabbit IgG Secondaries →
Disclaimer
This product is for research use only. It is not intended for diagnostic or therapeutic use.
Scientific Validation Data
Validation Data
(2)
Enlarge Image
Anti-ATG10 Antibody (A37866)
Gel: 10% SDS-PAGE Lysates (from left to right): Mouse liver tissue Amount of lysate: 50ug per lane Primary antibody: 1/500 dilution Secondary antibody dilution: 1/8000 Exposure time: 1 minute
Enlarge Image
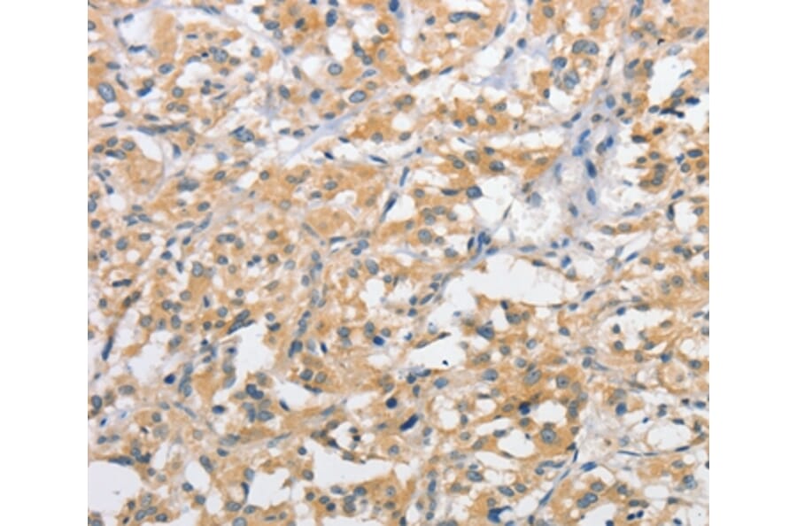
Immunohistochemistry - Anti-ATG10 Antibody (A37866)
Immunohistochemical analysis of paraffin-embedded Human thyroid cancer tissue using #36115 at dilution 1/60.
Publishing research using Anti-ATG10 Antibody (A37866)? Please
let us know
so that we can list the citation on this page.
Alternative products to Anti-ATG10 Antibody (A37866)
(4)
A12112
Anti-ATG10 Antibody
Rabbit polyclonal antibody to ATG10 for WB and IHC.
(2)
A308514
Anti-ATG10 Antibody [ARC1425]
Rabbit monoclonal [ARC1425] antibody to ATG10 for WB and ICC/IF.
A49389
Anti-ATG10 Antibody
Rabbit polyclonal antibody to ATG10 for ELISA and WB.
A344618
Anti-ATG10 Antibody [23GB4860]
Recombinant rabbit monoclonal [23GB4860] antibody to ATG10 for WB, Flow Cytometry and ICC/IF.
(4)
A12112
Anti-ATG10 Antibody
Rabbit polyclonal antibody to ATG10 for WB and IHC.
(2)
A308514
Anti-ATG10 Antibody [ARC1425]
Rabbit monoclonal [ARC1425] antibody to ATG10 for WB and ICC/IF.
A49389
Anti-ATG10 Antibody
Rabbit polyclonal antibody to ATG10 for ELISA and WB.
A344618
Anti-ATG10 Antibody [23GB4860]
Recombinant rabbit monoclonal [23GB4860] antibody to ATG10 for WB, Flow Cytometry and ICC/IF.
Proteins predicted to interact with ATG10
Predicted protein interactions based upon String database. Revelancy score correlates with probability of interaction.
ATG12 Antibodies
99.9% Relevancy Score
ATG7 Antibodies
99.9% Relevancy Score
ATG5 Antibodies
99.8% Relevancy Score
IRGM Antibodies
99% Relevancy Score
ATG13 Antibodies
97.8% Relevancy Score
ATG16L1 Antibodies
97.3% Relevancy Score
ATG3 Antibodies
95.8% Relevancy Score
FIP200 Antibodies
94.9% Relevancy Score
LC3A Antibodies
94% Relevancy Score
Top