ISO 9001:2015 Certified
Live Customer Support
4.5/5 on Trustpilot
100% Quality Guarantee

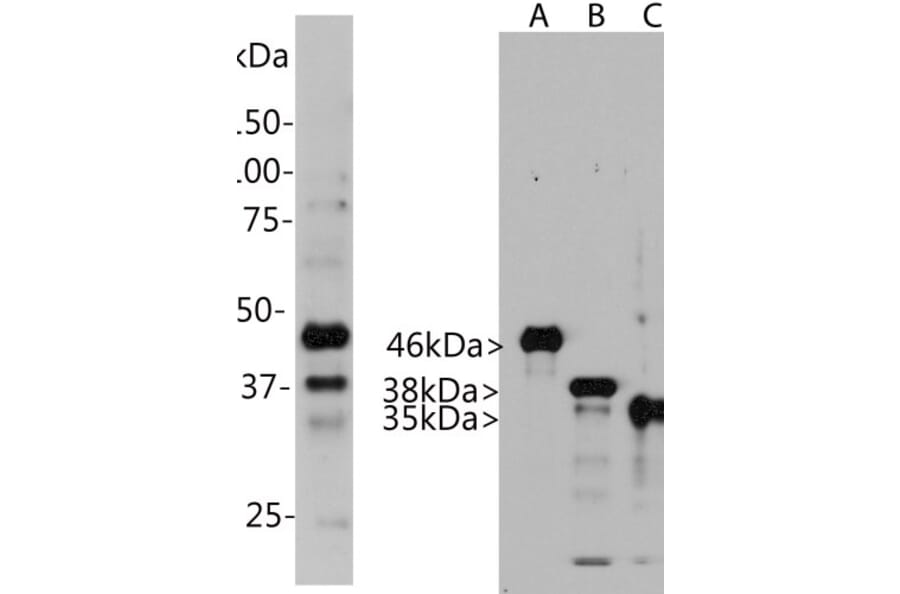
Anti-Aurora A + B + C Kinase Antibody [4A7] (A85401)

Mouse monoclonal [4A7] antibody to Aurora A + B + C Kinase for WB, ICC/IF and IHC.

Shipping Information

$40
Dispatched from St. Louis, MO.
Lead Time: 5-8 business days.
Name
Anti-Aurora A + B + C Kinase Antibody [4A7]
Description
Mouse monoclonal [4A7] antibody to Aurora A + B + C Kinase.
Specificity
This antibody was raised against human Aurora A protein and was shown to also bind Aurora B and Aurora C; as a result the epitope is likely within the highly conserved serine/threonine kinase domain. This antibody can be used to identify dividing or soon to be dividing cells and is also an excellent marker of midbodies both during and after cell division.
Applications
WB, ICC/IF, IHC
Dilutions
WB: 1:1,000, ICC/IF: 1:1,000-1:2,000, IHC: 1:1,000-1:2,000
Reactivity
Human, Horse, Bovine, Porcine, Rat, Mouse
Immunogen
Recombinant full-length human Aurora A protein, expressed in and purified from E. coli.
Host
Mouse
Clonality
Monoclonal
Clone ID
4A7
Isotype
IgG1
Conjugate

Unconjugated

Purification
Immunogen affinity purification.
Concentration
1 mg/ml
Molecular Weight
46kDa, 38kDa, 35kDa
Product Form
Liquid
Formulation
Supplied in Phosphate Buffered Saline with 50% Glycerol and 5mM Sodium Azide.
Storage
Shipped at 4°C. Upon delivery aliquot and store at -20°C. Avoid freeze/thaw cycles.
Synonyms
AIK, AIRK1, ARK-1, ARK1, AURA, AURKA, Aurora 2, Aurora kinase A, Aurora-related kinase 1, Aurora/IPL1-related kinase 1, AYK1, Breast tumor-amplified kinase, BTAK, IAK1, Ipl1- and aurora-related kinase 1, Serine/threonine-protein kinase 15, STK15, STK6
Disclaimer
This product is for research use only. It is not intended for diagnostic or therapeutic use.
Publishing research using Anti-Aurora A + B + C Kinase Antibody [4A7] (A85401)? Please let us know so that we can list the citation on this page.

Alternative products to Anti-Aurora A + B + C Kinase Antibody [4A7] (A85401)

Proteins predicted to interact with Aurora A

Predicted protein interactions based upon String database. Revelancy score correlates with probability of interaction.
99.9% Relevancy Score
99.8% Relevancy Score
99.8% Relevancy Score
99.8% Relevancy Score
99.7% Relevancy Score
99.5% Relevancy Score
99.4% Relevancy Score
99.3% Relevancy Score
99% Relevancy Score