ISO 9001:2015 Certified
Live Customer Support
4.5/5 on Trustpilot
100% Quality Guarantee

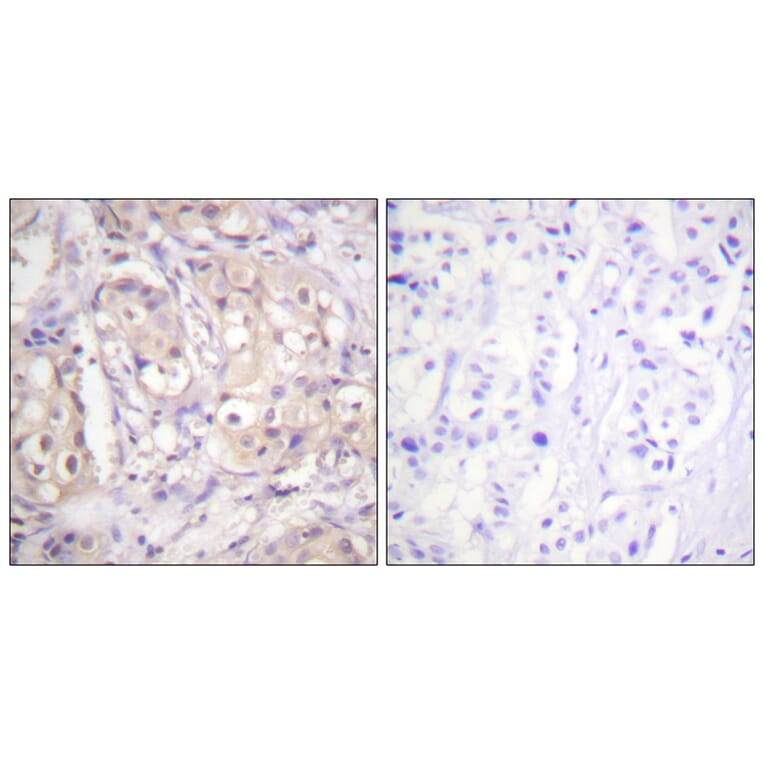
Anti-B-RAF (Phospho-Thr599) Antibody (A51437)

Rabbit polyclonal antibody to B-RAF (Phospho-Thr599) for WB, IHC and ICC/IF.

Shipping Information

$40
Dispatched from St. Louis, MO.
Lead Time: 6-9 business days.
Name
Anti-B-RAF (Phospho-Thr599) Antibody
Description
Rabbit polyclonal antibody to B-RAF (Phospho-Thr599)
Specificity
The antibody detects endogenous levels of B-Raf only when phosphorylated at threonine 598.
Applications
WB, IHC, ICC/IF
Dilutions
Immunohistochemistry: 1:50~1:100
Reactivity
Human, Mouse, Rat
Immunogen
Peptide sequence around phosphorylation site of threonine 599 (L-A-T(p)-V-K) derived from Human B-RAF.
Host
Rabbit
Clonality
Polyclonal
Conjugate

Unconjugated

Purification
Antibodies were produced by immunizing rabbits with synthetic phosphopeptide and KLH conjugates. Antibodies were purified by affinity-chromatography using epitope-specific phosphopeptide. Non-phospho specific antibodies were removed by chromatogramphy using non-phosphopeptide.
Concentration
1.0 mg/mL
Formulation
Supplied in phosphate-buffered saline (without Mg²? and Ca²?), pH 7.4, containing 150 mM NaCl, 0.02% sodium azide, and 50% glycerol.
Storage
Shipped at 4°C. Upon delivery aliquot and store at -20°C. Avoid freeze/thaw cycles.
Synonyms
BRAF, BRAF1, p94, Proto-oncogene B-Raf, RAFB1, Serine/threonine-protein kinase B-raf, v-Raf murine sarcoma viral oncogene homolog B1
Disclaimer
This product is for research use only. It is not intended for diagnostic or therapeutic use.
Publishing research using Anti-B-RAF (Phospho-Thr599) Antibody (A51437)? Please let us know so that we can list the citation on this page.

Alternative products to Anti-B-RAF (Phospho-Thr599) Antibody (A51437)

Proteins predicted to interact with B-Raf

Predicted protein interactions based upon String database. Revelancy score correlates with probability of interaction.
99.9% Relevancy Score
99.9% Relevancy Score
99.9% Relevancy Score
99.9% Relevancy Score
99.9% Relevancy Score
99.9% Relevancy Score
99.8% Relevancy Score
99.8% Relevancy Score
99.8% Relevancy Score