ISO 9001:2015 Certified
Live Customer Support
4.5/5 on Trustpilot
100% Quality Guarantee

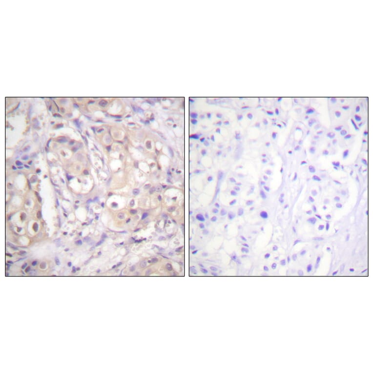
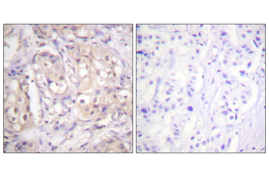
Anti-B-RAF (phospho Thr599) Antibody (A93706)

Rabbit polyclonal antibody to B-RAF (phospho Thr599) for IHC and ELISA.

Shipping Information

$40
Dispatched from St. Louis, MO.
Lead Time: 6-8 business days.
Name
Anti-B-RAF (phospho Thr599) Antibody
Description
Rabbit polyclonal antibody to B-RAF (phospho Thr599).
Specificity
This antibody detects endogenous levels of B-RAF only when phosphorylated at Thr599.
Applications
IHC, ELISA
Dilutions
WB: 1:500-1:1000, ELISA: 1:10000
Reactivity
Human, Mouse, Rat
Immunogen
Synthetic peptide derived from human B-RAF around the phosphorylation site of Thr599 (amino acids 571-620).
Host
Rabbit
Clonality
Polyclonal
Isotype
IgG
Conjugate

Unconjugated

Purification
Purified from rabbit serum by antigen affinity chromatography using the immunizing phospho peptide.
Molecular Weight
84kDa
Product Form
Liquid
Formulation
Supplied in Phosphate Buffered Saline (without Mg2+ and Ca2+), pH 7.4, with 150mM NaCl, 0.02% Sodium Azide, and 50% Glycerol.
Storage
Shipped at 4°C. Upon delivery aliquot and store at -20°C. Avoid freeze / thaw cycles.
Synonyms
FLJ95109, 94 kDa B raf protein, B raf 1, B Raf proto oncogene serine threonine protein kinase, B Raf proto oncogene, serine/threonine kinase, B RAF1, B-Raf proto-oncogene serine/threonine-protein kinase (p94), BRAF, BRAF 1, BRAF1, BRAF_HUMAN, cRmil, MGC126806, MGC138284, Murine sarcoma viral (v-raf) oncogene homolog B1, Murine sarcoma viral v raf oncogene homolog B1, NS7, Oncogen BRAF, oncogene BRAF1, p94, Proto-oncogene B-Raf, Proto-oncogene c-Rmil, RAFB 1, RAFB1, RMIL, Serine/threonine-protein kinase B-raf, v raf murine sarcoma viral oncogene homolog B, v raf murine sarcoma viral oncogene homolog B1, v-Raf murine sarcoma viral oncogene homolog B1
Disclaimer
This product is for research use only. It is not intended for diagnostic or therapeutic use.
Publishing research using Anti-B-RAF (phospho Thr599) Antibody (A93706)? Please let us know so that we can list the citation on this page.

Alternative products to Anti-B-RAF (phospho Thr599) Antibody (A93706)