B7-H3 expression in various lysates analyzed by western blot. Primary antibody incubation was performed for 1 hour on 25ug protein per lane with Anti-B7-H3 Antibody (A329142) at a dilution of 1:2000 and detected with chemiluminescence. Negative control: Jurkat cells
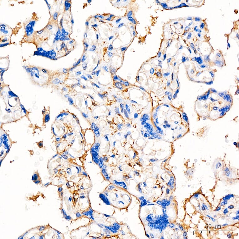
B7-H3 expression in human placenta tissue analyzed by immunohistochemistry. Tissue was paraffin-embedded, and antigen retrieval was achieved with 10 mM citrate buffer, pH 6.0, under high pressure. Staining was performed with Anti-B7-H3 Antibody (A329142) at a dilution of 1:200.
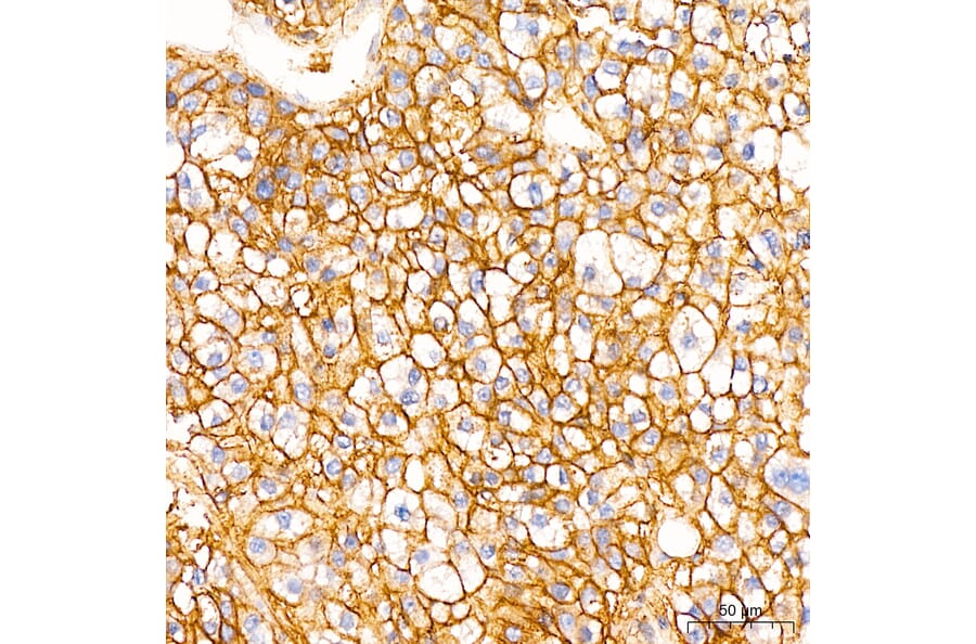
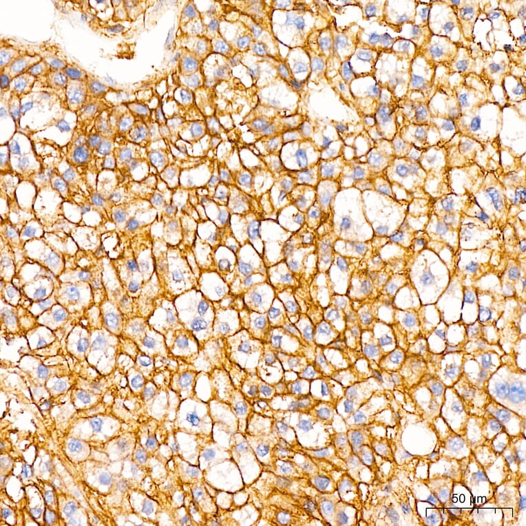
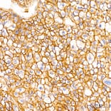
B7-H3 expression in human liver cancer tissue analyzed by immunohistochemistry. Tissue was paraffin-embedded, and antigen retrieval was achieved with 10 mM citrate buffer, pH 6.0, under high pressure. Staining was performed with Anti-B7-H3 Antibody (A329142) at a dilution of 1:200.
B7-H3 expression in human thyroid cancer tissue analyzed by immunohistochemistry. Tissue was paraffin-embedded, and antigen retrieval was achieved with 10 mM citrate buffer, pH 6.0, under high pressure. Staining was performed with Anti-B7-H3 Antibody (A329142) at a dilution of 1:200.
Publishing research using Anti-B7-H3 Antibody (A329142)? Please let us know so that we can list the citation on this page.
Alternative products to Anti-B7-H3 Antibody (A329142)
Recombinant humanized monoclonal antibody to B7-H3 for use as a research grade Mirzotamab biosimilar for ELISA, Flow Cytometry, Functional Studies and in vivo Research.
Recombinant humanized monoclonal antibody to B7-H3 for use as a research grade Enoblituzumab biosimi for ELISA, Flow Cytometry, Functional Studies and in vivo Research.
Recombinant mouse monoclonal antibody to B7-H3 for use as a research grade Omburtamab biosimilar for ELISA, Flow Cytometry, Functional Studies and in vivo Research.
Recombinant humanized monoclonal antibody to B7-H3 for use as a research grade Ifinatamab biosimilar for ELISA, Flow Cytometry, Functional Studies and in vivo Research.
Recombinant humanized monoclonal antibody to B7-H3 for use as a research grade Vobramitamab biosimil for ELISA, Flow Cytometry, Functional Studies and in vivo Research.
Recombinant human monoclonal antibody to B7-H3 for use as a research grade Anti-Human B7-H3 [DS-5573 for ELISA, Flow Cytometry, Functional Studies and in vivo Research.
Recombinant humanized monoclonal antibody to B7-H3 for use as a research grade Mirzotamab biosimilar for ELISA, Flow Cytometry, Functional Studies and in vivo Research.
Recombinant humanized monoclonal antibody to B7-H3 for use as a research grade Enoblituzumab biosimi for ELISA, Flow Cytometry, Functional Studies and in vivo Research.
Recombinant mouse monoclonal antibody to B7-H3 for use as a research grade Omburtamab biosimilar for ELISA, Flow Cytometry, Functional Studies and in vivo Research.
Recombinant humanized monoclonal antibody to B7-H3 for use as a research grade Ifinatamab biosimilar for ELISA, Flow Cytometry, Functional Studies and in vivo Research.
Recombinant humanized monoclonal antibody to B7-H3 for use as a research grade Vobramitamab biosimil for ELISA, Flow Cytometry, Functional Studies and in vivo Research.
Recombinant human monoclonal antibody to B7-H3 for use as a research grade Anti-Human B7-H3 [DS-5573 for ELISA, Flow Cytometry, Functional Studies and in vivo Research.