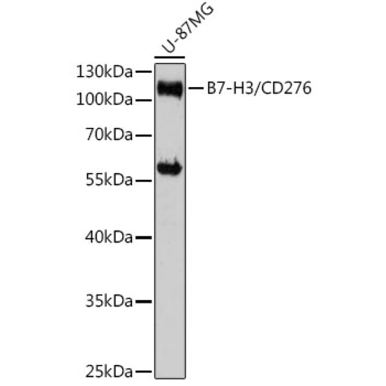
Western blot analysis of extracts of U-87MG cells, using Anti-CD276 Antibody (A88024) at 1:3,000 dilution. The secondary antibody was Goat Anti-Rabbit IgG H&L Antibody (HRP) at 1:10,000 dilution. Lysates/proteins were present at 25µg per lane. The blocking buffer used was 3% non-fat dry milk in TBST. Detection was with a ECL Enhanced Kit. Exposure time: 90s.
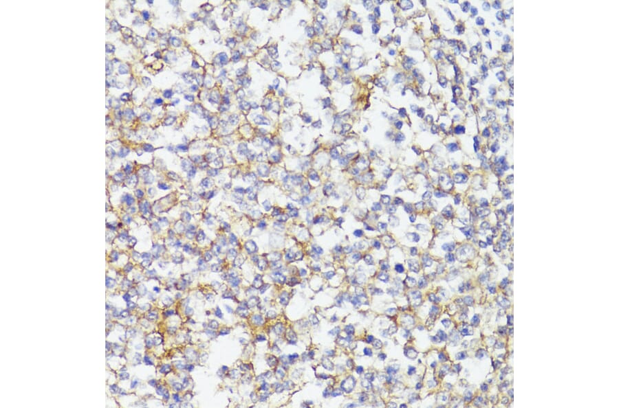
Immunohistochemistry analysis of paraffin-embedded human tonsil using Anti-CD276 Antibody (A88024) at a dilution of 1:100 (40x lens). Perform microwave antigen retrieval with 10 mM PBS buffer pH 7.2 before commencing with IHC staining protocol.
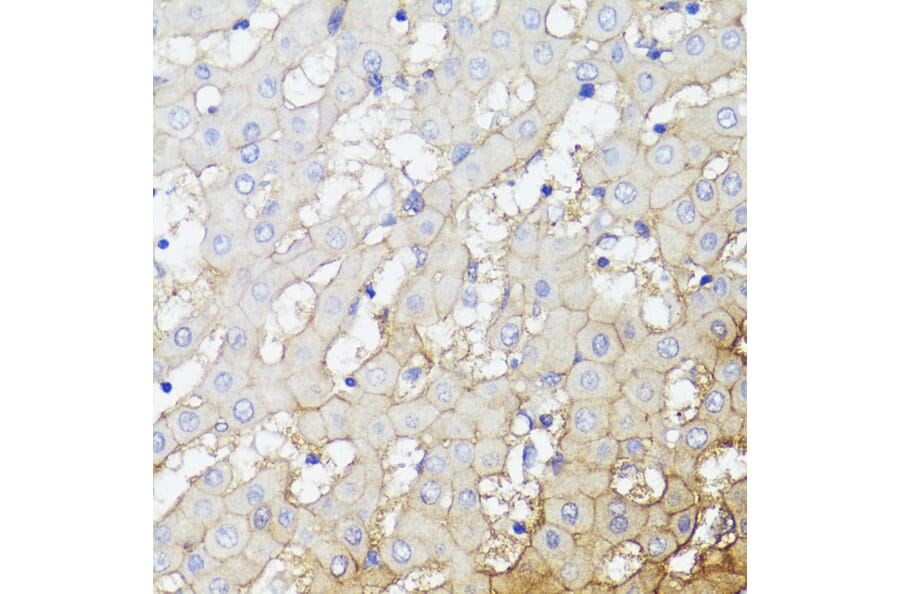
Immunohistochemistry analysis of paraffin-embedded human liver cancer using Anti-CD276 Antibody (A88024) at a dilution of 1:100 (40x lens). Perform microwave antigen retrieval with 10 mM PBS buffer pH 7.2 before commencing with IHC staining protocol.
Publishing research using Anti-CD276 Antibody (A88024)? Please let us know so that we can list the citation on this page.
Alternative products to Anti-CD276 Antibody (A88024)
Recombinant humanized monoclonal antibody to B7-H3 for use as a research grade Mirzotamab biosimilar for ELISA, Flow Cytometry, Functional Studies and in vivo Research.
Recombinant humanized monoclonal antibody to B7-H3 for use as a research grade Enoblituzumab biosimi for ELISA, Flow Cytometry, Functional Studies and in vivo Research.
Recombinant mouse monoclonal antibody to B7-H3 for use as a research grade Omburtamab biosimilar for ELISA, Flow Cytometry, Functional Studies and in vivo Research.
Recombinant humanized monoclonal antibody to B7-H3 for use as a research grade Ifinatamab biosimilar for ELISA, Flow Cytometry, Functional Studies and in vivo Research.
Recombinant humanized monoclonal antibody to B7-H3 for use as a research grade Vobramitamab biosimil for ELISA, Flow Cytometry, Functional Studies and in vivo Research.
Recombinant human monoclonal antibody to B7-H3 for use as a research grade Anti-Human B7-H3 [DS-5573 for ELISA, Flow Cytometry, Functional Studies and in vivo Research.
Recombinant humanized monoclonal antibody to B7-H3 for use as a research grade Mirzotamab biosimilar for ELISA, Flow Cytometry, Functional Studies and in vivo Research.
Recombinant humanized monoclonal antibody to B7-H3 for use as a research grade Enoblituzumab biosimi for ELISA, Flow Cytometry, Functional Studies and in vivo Research.
Recombinant mouse monoclonal antibody to B7-H3 for use as a research grade Omburtamab biosimilar for ELISA, Flow Cytometry, Functional Studies and in vivo Research.
Recombinant humanized monoclonal antibody to B7-H3 for use as a research grade Ifinatamab biosimilar for ELISA, Flow Cytometry, Functional Studies and in vivo Research.
Recombinant humanized monoclonal antibody to B7-H3 for use as a research grade Vobramitamab biosimil for ELISA, Flow Cytometry, Functional Studies and in vivo Research.
Recombinant human monoclonal antibody to B7-H3 for use as a research grade Anti-Human B7-H3 [DS-5573 for ELISA, Flow Cytometry, Functional Studies and in vivo Research.