ISO 9001:2015 Certified
Live Customer Support
4.5/5 on Trustpilot
100% Quality Guarantee

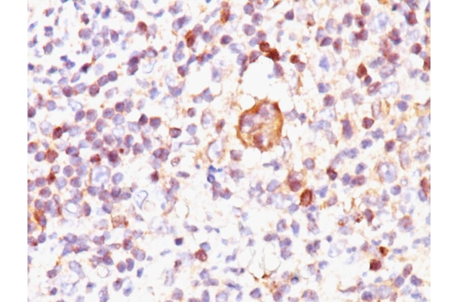
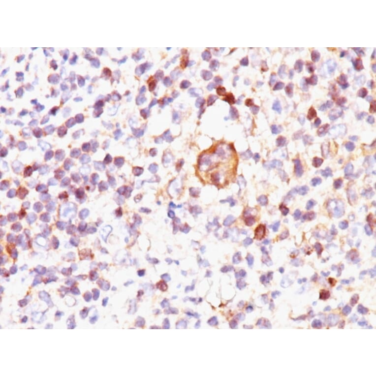
Anti-Bax Antibody [2D2] - BSA and Azide free (A253002)

Mouse monoclonal [2D2] antibody to Bax for Flow Cytometry, IF, WB and IHC-P.

Alternative Formats and ConjugatesAlternative Formats

Shipping Information

$40
Dispatched from St. Louis, MO.
Lead Time: 5-8 business days.
Name
Anti-Bax Antibody [2D2] - BSA and Azide free
Description
Mouse monoclonal [2D2] antibody to Bax.
Specificity
This antibody recognizes a protein of 21kDa, identified as the Bax protein. This MAb is highly specific to Bax and shows no cross-reaction with Bcl-2 or Bcl-X protein. Bcl-2 blocks cell death following a variety of stimuli. Bax has extensive amino acid homology with Bcl-2 and it homodimerizes and forms heterodimers with Bcl-2. Overexpression of Bax accelerates apoptotic death induced by cytokine deprivation in an IL-3 dependent cell line, and Bax also counters the death repressor activity of Bcl-2.
Applications
Flow Cytometry, IF, WB, IHC-P
Dilutions
Flow Cytometry: 1-2 µg/million cells, IF: 1-2 µg/ml, WB: 1-2 µg/ml, IHC-P: 1-2 µg/ml
Reactivity
Human, Monkey
Cross Reactivity
This antibody does not cross react with Mouse or Rat.
Immunogen
Synthetic peptide corresponding to amino acids 3-16 of human Bax protein.
Sequence
Cys-GSGEQPRGGGPTSS
Host
Mouse
Clonality
Monoclonal
Clone ID
2D2
Isotype
IgG1
Light Chains
kappa
Conjugate

Unconjugated

Purification
Protein A/G chromatography.
Concentration
1 mg/ml
Molecular Weight
21 kDa
Product Form
Liquid
Formulation
Supplied in 10mM Phosphate Buffered Saline; without Sodium Azide and carrier free.
Storage
Shipped at 4°C. Upon delivery aliquot and store at -20°C. Avoid freeze / thaw cycles.
General Notes
This monoclonal antibody is also available in a different formulation with BSA and Sodium Azide - Anti-Bax Antibody [2D2] (A249822).
Synonyms
Apoptosis regulator BAX, Bcl-2-like protein 4, Bcl2-L-4, BCL2L4
Disclaimer
This product is for research use only. It is not intended for diagnostic or therapeutic use.
Publishing research using Anti-Bax Antibody [2D2] - BSA and Azide free (A253002)? Please let us know so that we can list the citation on this page.

Most popular Anti-Bax Antibodies

Alternative products to Anti-Bax Antibody [2D2] - BSA and Azide free (A253002)

Proteins predicted to interact with Bax

Predicted protein interactions based upon String database. Revelancy score correlates with probability of interaction.
99.9% Relevancy Score
99.9% Relevancy Score
99.9% Relevancy Score
99.8% Relevancy Score
99.8% Relevancy Score
99.6% Relevancy Score
99.4% Relevancy Score
99.3% Relevancy Score
98.3% Relevancy Score