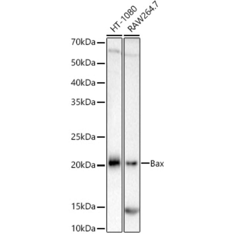
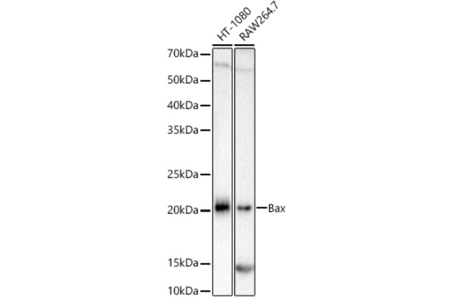
Western Blot - Anti-Bax Antibody [ARC5006-10] (A306010)
Western blot analysis of various lysates, using Anti-Bax Antibody [ARC5006-10] (A306010) at 1:10,000 dilution. The secondary antibody was Goat Anti-Rabbit IgG H&L Antibody (HRP) at 1:10,000 dilution. Lysates/proteins were present at 25µg per lane. The blocking buffer used was 3% non-fat dry milk in TBST. Detection was with a ECL Basic Kit. Exposure time: 90s.
Western Blot - Anti-Bax Antibody [ARC5006-10] (A306010)
Western blot analysis of extracts from wild type(WT) and Bax knockout (KO) 293T cells, using Anti-Bax Antibody [ARC5006-10] (A306010) at 1:10,000 dilution. The secondary antibody was Goat Anti-Rabbit IgG H&L Antibody (HRP) at 1:10,000 dilution. Lysates/proteins were present at 25µg per lane. The blocking buffer used was 3% non-fat dry milk in TBST. Detection was with a ECL Basic Kit. Exposure time: 90s.
Immunohistochemistry analysis of paraffin-embedded rat lymph node using Anti-Bax Antibody [ARC5006-10] (A306010) at a dilution of 1:20,1:50 (40x lens). Perform high pressure antigen retrieval with 10 mM citrate buffer pH 6.0 before commencing with IHC staining protocol.
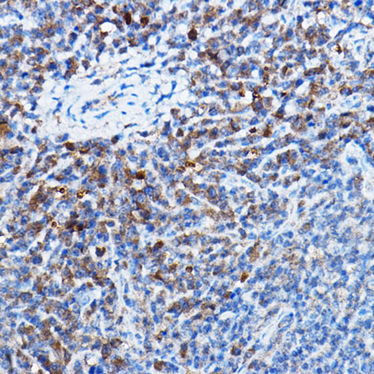
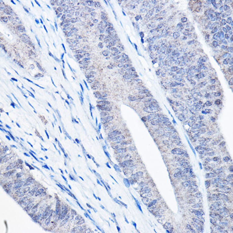
Immunohistochemistry analysis of paraffin-embedded human colon carcinoma tissue using Anti-Bax Antibody [ARC5006-10] (A306010) at a dilution of 1:20,1:50 (40x lens). Perform high pressure antigen retrieval with 10 mM citrate buffer pH 6.0 before commencing with IHC staining protocol.
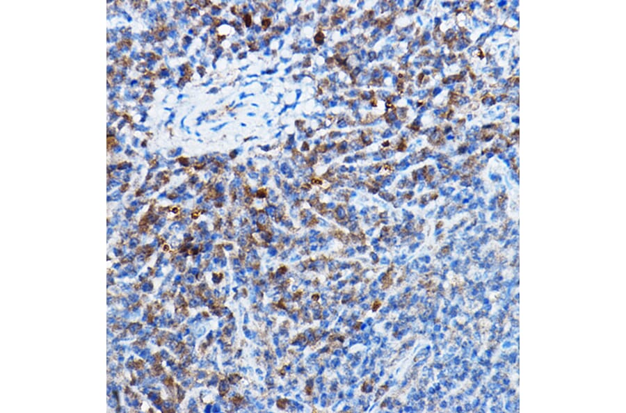
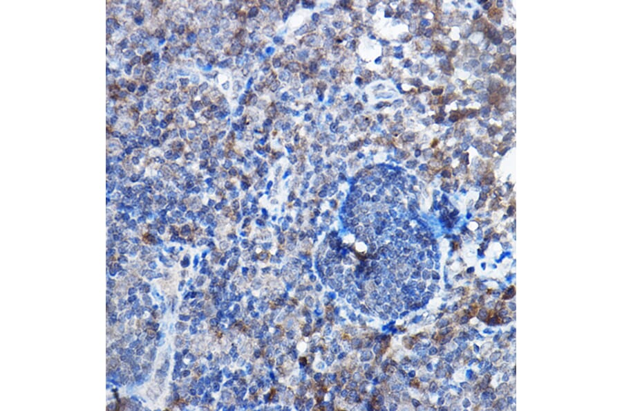
Immunohistochemistry analysis of paraffin-embedded mouse spleen using Anti-Bax Antibody [ARC5006-10] (A306010) at a dilution of 1:20,1:50 (40x lens). Perform high pressure antigen retrieval with 10 mM citrate buffer pH 6.0 before commencing with IHC staining protocol.
Immunofluorescence analysis of C6 cells using Anti-Bax Antibody [ARC5006-10] (A306010) at a dilution of 1:100 (40x lens). DAPI was used to stain the cell nuclei (blue).
Immunofluorescence analysis of NIH-3T3 cells using Anti-Bax Antibody [ARC5006-10] (A306010) at a dilution of 1:100 (40x lens). DAPI was used to stain the cell nuclei (blue).
Immunofluorescence analysis of U-2 OS cells using Anti-Bax Antibody [ARC5006-10] (A306010) at a dilution of 1:100 (40x lens). DAPI was used to stain the cell nuclei (blue).
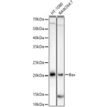
Western Blot - Anti-Bax Antibody [ARC5006-10] (A306010)
Immunoprecipitation analysis of 300µg extracts of 293T cells using 3µg of Anti-Bax Antibody [ARC5006-10] (A306010). This Western blot was performed on the immunoprecipitate using Anti-Bax Antibody [ARC5006-10] (A306010) at a dilution of 1:500.