ISO 9001:2015 Certified
Live Customer Support
4.5/5 on Trustpilot
100% Quality Guarantee

Anti-Bcl-2 Antibody [100/D5 + 124] - BSA and Azide free (A253049)

Mouse monoclonal [100/D5 + 124] antibody to Bcl-2 for Flow Cytometry, IF, WB and IHC-P.

Alternative Formats and ConjugatesAlternative Formats

Shipping Information

$40
Dispatched from St. Louis, MO.
Lead Time: 5-8 business days.
Name
Anti-Bcl-2 Antibody [100/D5 + 124] - BSA and Azide free
Description
Mouse monoclonal [100/D5 + 124] antibody to Bcl-2.
Specificity
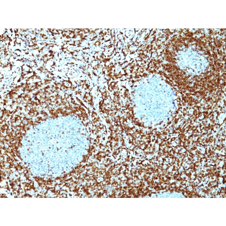
This antibody recognizes a protein of 25-26kDa, identified as the bcl-2 lpha oncoprotein. It shows no cross-reaction with Bcl-x or Bax protein. Expression of bcl-2 lpha oncoprotein inhibits the programmed cell death (apoptosis). In most follicular lymphomas, neoplastic germinal centers express high levels of bcl-2 lpha protein, whereas the normal or hyperplastic germinal centers are negative. Consequently, this antibody is valuable when distinguishing between reactive and neoplastic follicular proliferation in lymph node biopsies. It may also be used in distinguishing between those follicular lymphomas that express bcl-2 protein and the small number in which the neoplastic cells are bcl-2 negative.
Applications
Flow Cytometry, IF, WB, IHC-P
Dilutions
Flow Cytometry: 1-2 µg/million cells, IF: 1-2 µg/ml, WB: 1-2 µg/ml, IHC-P: 1-2 µg/ml
Reactivity
Human
Cross Reactivity
This antibody does not cross react with Mouse or Rat.
Immunogen
Synthetic peptide corresponding to amino acids 41-54 of human Bcl-2 protein.
Sequence
GAAPAPGIFSSQPG-Cys
Host
Mouse
Clonality
Oligoclonal
Clone ID
100/D5 + 124
Isotype
IgG1, kappa + IgG1, kappa
Conjugate

Unconjugated

Purification
Protein A/G chromatography.
Concentration
1 mg/ml
Molecular Weight
25-26 kDa
Product Form
Liquid
Formulation
Supplied in 10mM Phosphate Buffered Saline; without Sodium Azide and carrier free.
Storage
Shipped at 4°C. Upon delivery aliquot and store at -20°C. Avoid freeze / thaw cycles.
General Notes

Please note, this product is an oligoclonal antibody; it is a cocktail of monoclonal antibodies that have been carefully selected. Oligoclonal antibodies not only have the specificity and batch-to-batch consistency of a monoclonal antibody, but they also have the advantage of the sensitivity of a polyclonal antibody due to their ability to recognize multiple epitopes on an antigen.

This oligoclonal antibody is also available in a different formulation with BSA and Sodium Azide - Anti-Bcl-2 Antibody [100/D5 + 124] (A249869).

Synonyms
Apoptosis regulator Bcl-2, BCL2
Disclaimer
This product is for research use only. It is not intended for diagnostic or therapeutic use.
Publishing research using Anti-Bcl-2 Antibody [100/D5 + 124] - BSA and Azide free (A253049)? Please let us know so that we can list the citation on this page.

Most popular Anti-Bcl-2 Antibodies

Alternative products to Anti-Bcl-2 Antibody [100/D5 + 124] - BSA and Azide free (A253049)

Proteins predicted to interact with Bcl-2

Predicted protein interactions based upon String database. Revelancy score correlates with probability of interaction.
99.9% Relevancy Score
99.9% Relevancy Score
99.9% Relevancy Score
99.9% Relevancy Score
99.9% Relevancy Score
99.9% Relevancy Score
99.9% Relevancy Score
99.9% Relevancy Score
99.9% Relevancy Score