ISO 9001:2015 Certified
Live Customer Support
4.5/5 on Trustpilot
100% Quality Guarantee

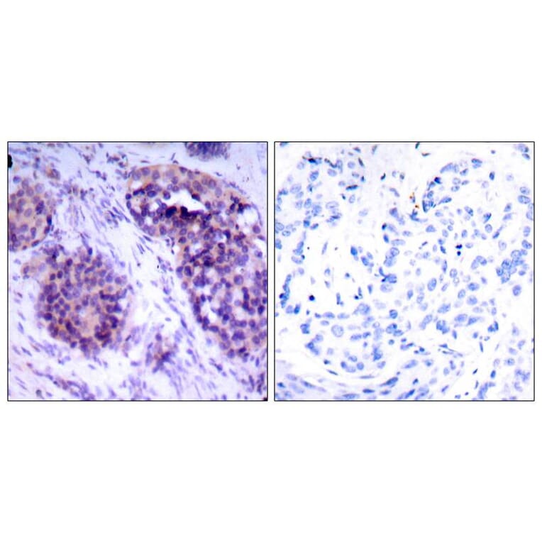
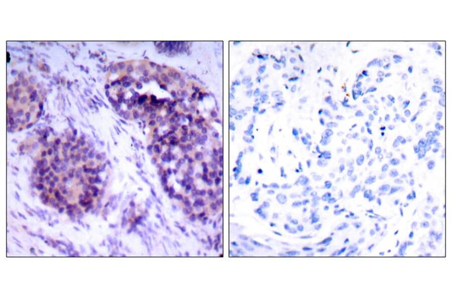
Anti-BCL-XL (Phospho-Ser62) Antibody (A50186)

Rabbit polyclonal antibody to BCL-XL (Phospho-Ser62) for WB, IHC and ICC/IF.

Shipping Information

$40
Dispatched from St. Louis, MO.
Lead Time: 6-9 business days.
Name
Anti-BCL-XL (Phospho-Ser62) Antibody
Description
Rabbit polyclonal antibody to BCL-XL (Phospho-Ser62)
Applications
WB, IHC, ICC/IF
Reactivity
Human, Mouse, Rat
Host
Rabbit
Clonality
Polyclonal
Conjugate

Unconjugated

Concentration
1.0 mg/mL
Storage
Shipped at 4°C. Upon delivery aliquot and store at -20°C. Avoid freeze/thaw cycles.
Synonyms
Apoptosis regulator Bcl X, Apoptosis regulator Bcl-X, Apoptosis regulator BclX, B cell lymphoma 2 like, B2CL1_HUMAN, Bcl 2 like 1 protein, Bcl X, Bcl xL, BCL XL/S, Bcl xS, Bcl-2-like protein 1, Bcl2 Like 1, Bcl2 related gene, Bcl2-L-1, BCL2L, Bcl2l1, BCLX, BclXL, BclXs, DKFZp781P2092, PPP1R52, Protein phosphatase 1 regulatory subunit 52
Disclaimer
This product is for research use only. It is not intended for diagnostic or therapeutic use.
Publishing research using Anti-BCL-XL (Phospho-Ser62) Antibody (A50186)? Please let us know so that we can list the citation on this page.

Alternative products to Anti-BCL-XL (Phospho-Ser62) Antibody (A50186)