ISO 9001:2015 Certified
Live Customer Support
4.5/5 on Trustpilot
100% Quality Guarantee

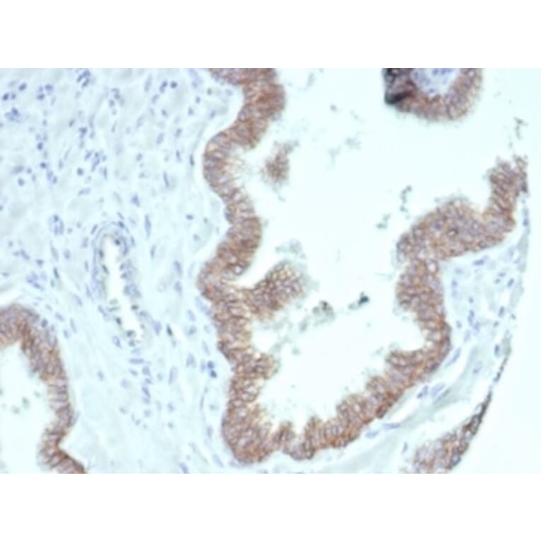
Recombinant Anti-beta Catenin Antibody [CTNNB1/7044R] - BSA and Azide free (A278556)

Recombinant rabbit monoclonal [CTNNB1/7044R] antibody to beta Catenin for IHC-P.

Alternative Formats and ConjugatesAlternative Formats

Shipping Information

$40
Dispatched from St. Louis, MO.
Lead Time: 5-8 business days.
Name
Anti-beta Catenin Antibody [CTNNB1/7044R] - BSA and Azide free
Description
Recombinant rabbit monoclonal [CTNNB1/7044R] antibody to beta Catenin.
Specificity
Beta-catenin associates with the cytoplasmic portion of E-cadherin, which is necessary for the function of E-cadherin as an adhesion molecule. In normal tissues, beta-catenin is localized to the membrane of epithelial cells, consistent with its role in the cell adhesion complex. In breast ductal neoplasia, beta-catenin is usually localized in cellular membranes. However, in lobular neoplasia, a marked redistribution of beta-catenin throughout the cytoplasm results in a diffuse cytoplasmic pattern. Immuno-staining of beta-catenin and E-cadherin is helps in the accurate identification of ductal and lobular neoplasms, including a distinction between low-grade ductal carcinoma in situ (DCIS) and lobular carcinoma. Additionally, some rectal and gastric adenocarcinomas demonstrate diffuse cytoplasmic beta-catenin staining and a lack of membranous staining, mimicking the staining pattern observed with lobular breast carcinomas.
Applications
IHC-P
Dilutions
IHC-P: 1-2 µg/ml
Reactivity
Human
Immunogen
Recombinant full-length human beta Catenin protein.
Host
Rabbit
Clonality
Monoclonal
Clone ID
CTNNB1/7044R
Isotype
IgG
Light Chains
kappa
Conjugate

Unconjugated

Purification
Protein A chromatography.
Concentration
1 mg/ml
Molecular Weight
92 kDa
Product Form
Liquid
Formulation
Supplied in 10mM Phosphate Buffered Saline; without Sodium Azide and carrier free.
Storage
Shipped at 4°C. Upon delivery aliquot and store at -20°C. Avoid freeze / thaw cycles.
General Notes
This monoclonal antibody is also available in a different formulation with BSA and Sodium Azide - Anti-beta Catenin Antibody [CTNNB1/7044R] (A277968).
Synonyms
Beta-catenin, Catenin beta-1, CTNNB, CTNNB1
Disclaimer
This product is for research use only. It is not intended for diagnostic or therapeutic use.
Publishing research using Recombinant Anti-beta Catenin Antibody [CTNNB1/7044R] - BSA and Azide free (A278556)? Please let us know so that we can list the citation on this page.

Most popular Anti-beta Catenin Antibodies

Alternative products to Anti-beta Catenin Antibody [CTNNB1/7044R] - BSA and Azide free (A278556)

Proteins predicted to interact with beta Catenin

Predicted protein interactions based upon String database. Revelancy score correlates with probability of interaction.
99.9% Relevancy Score
99.9% Relevancy Score
99.9% Relevancy Score
99.9% Relevancy Score
99.9% Relevancy Score
99.9% Relevancy Score
99.9% Relevancy Score
99.9% Relevancy Score
99.9% Relevancy Score