Primary Antibodies
Secondary Antibodies
Proteins & Peptides
ELISA Kits
About Us
Contact Us
Sign In/Register
0
ISO 9001:2015 Certified
Live Customer Support
4.5/5 on Trustpilot
100% Quality Guarantee
Home
Primary Antibodies
BHMT Antibodies
Anti-BHMT Antibody (A35387)
Anti-BHMT Antibody (A35387)
Overview
Specifications
Images
Enlarge Image
Enlarge Image
Enlarge Image
$645
Product Datasheet
Rabbit polyclonal antibody to BHMT for WB, IHC and ICC/IF.
100% Guarantee
Price Match Guarantee
Product Size:
100µl
Quantity:
1
2
3
4
5
6
7
8
9
10
Add To Cart
Request a Quotation
Custom or Bulk Request
Shipping Information
Freight/Packing Charges:
$40
Dispatched from St. Louis, MO.
Lead Time: 6-9 business days.
Specifications
Name
Anti-BHMT Antibody
Description
Rabbit polyclonal antibody to BHMT
Applications
WB
,
IHC
,
ICC/IF
Reactivity
Human
Immunogen
Recombinant protein fragment contain a sequence corresponding to a region within amino acids 199 and 393 of Human BHMT
Host
Rabbit
Clonality
Polyclonal
Conjugate
Unconjugated
Purification
Purified by antigen-affinity chromatography.
Formulation
Supplied in 0.1M Tris-buffered saline with 10% Glycerol (pH7.0). 0.01% Thimerosal was added as a preservative.
Storage
Shipped at 4°C. Upon delivery aliquot and store at -20°C. Avoid freeze/thaw cycles.
Synonyms
Betaine--homocysteine S-methyltransferase 1
Suitable Secondaries
Goat Anti-Rabbit IgG H&L Antibody (AP) (A294874)
Goat Anti-Rabbit IgG H&L Antibody (Biotin) (A294795)
Goat Anti-Rabbit IgG H&L Antibody (FITC) (A294887)
Goat Anti-Rabbit IgG H&L Antibody (HRP) (A294888)
See all Anti-Rabbit IgG Secondaries →
Disclaimer
This product is for research use only. It is not intended for diagnostic or therapeutic use.
Scientific Validation Data
Validation Data
(3)
Enlarge Image
Anti-BHMT Antibody (A35387)
Sample (30 µg of whole cell lysate) Hep G2 10% SDS PAGE Primary antibody diluted at 1: 1000
Enlarge Image
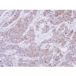
Immunohistochemistry - Anti-BHMT Antibody (A35387)
Immunohistochemical analysis of paraffin-embedded SG xenograft, using BHMT antibody at 1: 100 dilution.
Enlarge Image
Immunofluorescence - Anti-BHMT Antibody (A35387)
Immunofluorescence analysis of methanol-fixed HepG2, using BHMT antibody at 1: 200 dilution.
Publishing research using Anti-BHMT Antibody (A35387)? Please
let us know
so that we can list the citation on this page.
Alternative products to Anti-BHMT Antibody (A35387)
(4)
A84380
Anti-BHMT Antibody
Goat polyclonal antibody to BHMT for ELISA, WB and IHC.
(3)
A13384
Anti-BHMT Antibody
Rabbit polyclonal antibody to BHMT for WB and ICC/IF.
A38422
Anti-BHMT Antibody
Rabbit polyclonal antibody to BHMT for WB and ICC/IF.
A305496
Anti-BHMT Antibody [ARC1249]
Rabbit monoclonal [ARC1249] antibody to BHMT for WB and IHC.
A43580
Anti-BHMT Antibody
Rabbit polyclonal antibody to BHMT for WB.
A58533
Anti-BHMT Antibody [P3D6AT]
Mouse monoclonal [P3D6AT] antibody to BHMT for ELISA and WB.
(4)
A84380
Anti-BHMT Antibody
Goat polyclonal antibody to BHMT for ELISA, WB and IHC.
(3)
A13384
Anti-BHMT Antibody
Rabbit polyclonal antibody to BHMT for WB and ICC/IF.
A38422
Anti-BHMT Antibody
Rabbit polyclonal antibody to BHMT for WB and ICC/IF.
A305496
Anti-BHMT Antibody [ARC1249]
Rabbit monoclonal [ARC1249] antibody to BHMT for WB and IHC.
A43580
Anti-BHMT Antibody
Rabbit polyclonal antibody to BHMT for WB.
A58533
Anti-BHMT Antibody [P3D6AT]
Mouse monoclonal [P3D6AT] antibody to BHMT for ELISA and WB.
See all BHMT Antibodies
Proteins predicted to interact with BHMT
Predicted protein interactions based upon String database. Revelancy score correlates with probability of interaction.
DMGDH Antibodies
99.2% Relevancy Score
gamma Cystathionase Antibodies
99% Relevancy Score
AHCY Antibodies
98.8% Relevancy Score
MAT1A Antibodies
98.8% Relevancy Score
CBS Antibodies
98.5% Relevancy Score
MAT2A Antibodies
98.2% Relevancy Score
MTHFR Antibodies
97.8% Relevancy Score
SAH3 Antibodies
97.5% Relevancy Score
IRBIT Antibodies
97.4% Relevancy Score
Top