ISO 9001:2015 Certified
Live Customer Support
4.5/5 on Trustpilot
100% Quality Guarantee

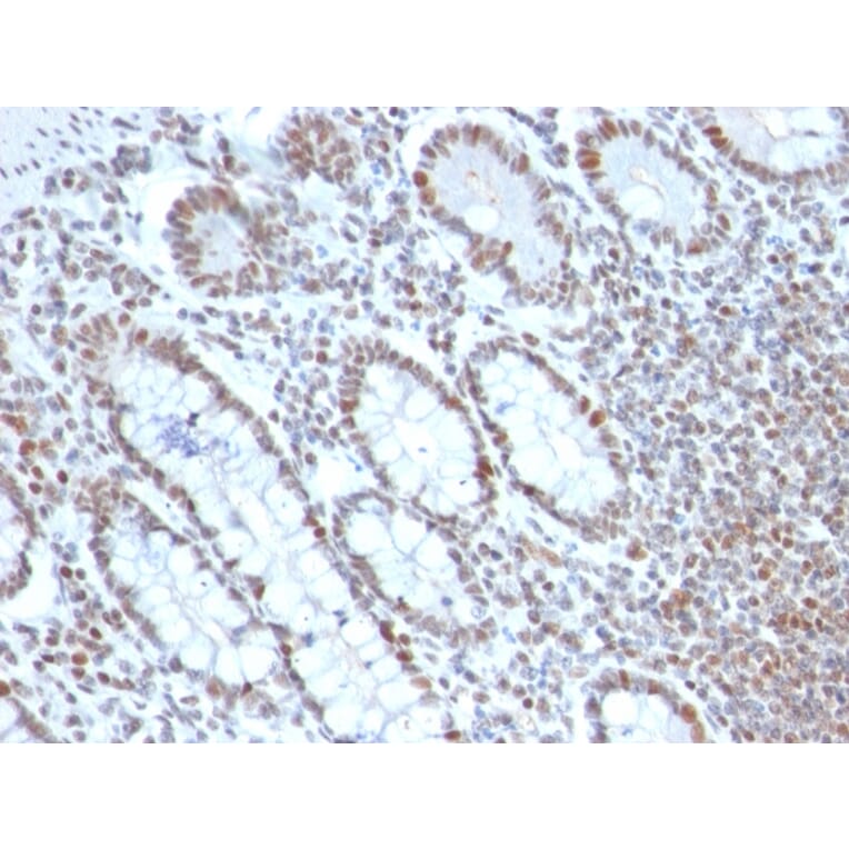
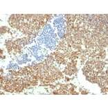
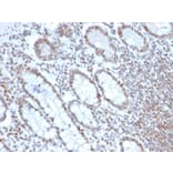
Anti-BMI1 Antibody [BMI1/2690] - BSA and Azide free (A253145)

Mouse monoclonal [BMI1/2690] antibody to BMI1 for IHC-P.

Alternative Formats and ConjugatesAlternative Formats

Shipping Information

$40
Dispatched from St. Louis, MO.
Lead Time: 5-8 business days.
Name
Anti-BMI1 Antibody [BMI1/2690] - BSA and Azide free
Description
Mouse monoclonal [BMI1/2690] antibody to BMI1.
Specificity
The B cell-specific moloney murine leukemia virus integration site 1 (Bmi-1) is a transcriptional receptor of the polycomb gene family involved in several cellular processes including cell-cycle regulation, apoptosis, and maintenance of adult and neoplastic stem cells by providing self-renewal capacity. Further, Bmi-1 expression has been associated with malignant transformation, tumor progression, metastatic disease, and poor prognosis in human malignancies.
Applications
IHC-P
Dilutions
IHC-P: 1-2 µg/ml
Reactivity
Human
Immunogen
Recombinant fragment, around amino acids 142-326, of human BMI1 protein. The exact sequence is proprietary.
Host
Mouse
Clonality
Monoclonal
Clone ID
BMI1/2690
Isotype
IgG2a
Light Chains
kappa
Conjugate

Unconjugated

Purification
Protein A/G chromatography.
Concentration
1 mg/ml
Molecular Weight
41 kDa
Product Form
Liquid
Formulation
Supplied in 10mM Phosphate Buffered Saline; without Sodium Azide and carrier free.
Storage
Shipped at 4°C. Upon delivery aliquot and store at -20°C. Avoid freeze / thaw cycles.
General Notes
This monoclonal antibody is also available in a different formulation with BSA and Sodium Azide - Anti-BMI1 Antibody [BMI1/2690] (A249965).
Synonyms
PCGF4, Polycomb complex protein BMI-1, Polycomb group RING finger protein 4, RING finger protein 51, RNF51
Disclaimer
This product is for research use only. It is not intended for diagnostic or therapeutic use.
Publishing research using Anti-BMI1 Antibody [BMI1/2690] - BSA and Azide free (A253145)? Please let us know so that we can list the citation on this page.

Alternative products to Anti-BMI1 Antibody [BMI1/2690] - BSA and Azide free (A253145)

Proteins predicted to interact with Bmi1

Predicted protein interactions based upon String database. Revelancy score correlates with probability of interaction.
99.9% Relevancy Score
99.9% Relevancy Score
99.9% Relevancy Score
99.9% Relevancy Score
99.9% Relevancy Score
99.9% Relevancy Score
99.9% Relevancy Score
99.9% Relevancy Score
99.9% Relevancy Score