Primary Antibodies
Secondary Antibodies
Proteins & Peptides
ELISA Kits
About Us
Contact Us
Sign In/Register
0
ISO 9001:2015 Certified
Live Customer Support
4.5/5 on Trustpilot
100% Quality Guarantee
Home
Primary Antibodies
BMP10 Antibodies
Anti-BMP10 Antibody (A37474)
Anti-BMP10 Antibody (A37474)
Overview
Specifications
Images
Enlarge Image
Enlarge Image
$645
Product Datasheet
Rabbit polyclonal antibody to BMP10 for WB and IHC.
100% Guarantee
Price Match Guarantee
Product Size:
100µl
Quantity:
1
2
3
4
5
6
7
8
9
10
Add To Cart
Request a Quotation
Custom or Bulk Request
Shipping Information
Freight/Packing Charges:
$40
Dispatched from St. Louis, MO.
Lead Time: 6-9 business days.
Specifications
Name
Anti-BMP10 Antibody
Description
Rabbit polyclonal antibody to BMP10
Applications
WB
,
IHC
Reactivity
Human
Immunogen
Synthetic peptide contain a sequence corresponding to a region within amino acids 360 and 421 of BMP10
Host
Rabbit
Clonality
Polyclonal
Conjugate
Unconjugated
Purification
Purified by antigen-affinity chromatography.
Formulation
Supplied in 0.1M Tris-buffered saline with 10% Glycerol (pH7.0). 0.01% Thimerosal was added as a preservative.
Storage
Shipped at 4°C. Upon delivery aliquot and store at -20°C. Avoid freeze/thaw cycles.
Synonyms
BMP-10, Bone morphogenetic protein 10
Suitable Secondaries
Goat Anti-Rabbit IgG H&L Antibody (AP) (A294874)
Goat Anti-Rabbit IgG H&L Antibody (Biotin) (A294795)
Goat Anti-Rabbit IgG H&L Antibody (FITC) (A294887)
Goat Anti-Rabbit IgG H&L Antibody (HRP) (A294888)
See all Anti-Rabbit IgG Secondaries →
Disclaimer
This product is for research use only. It is not intended for diagnostic or therapeutic use.
Scientific Validation Data
Validation Data
(2)
Enlarge Image
Anti-BMP10 Antibody (A37474)
Sample (30 µg of whole cell lysate) H1299 10% SDS PAGE Primary antibody diluted at 1: 500
Enlarge Image
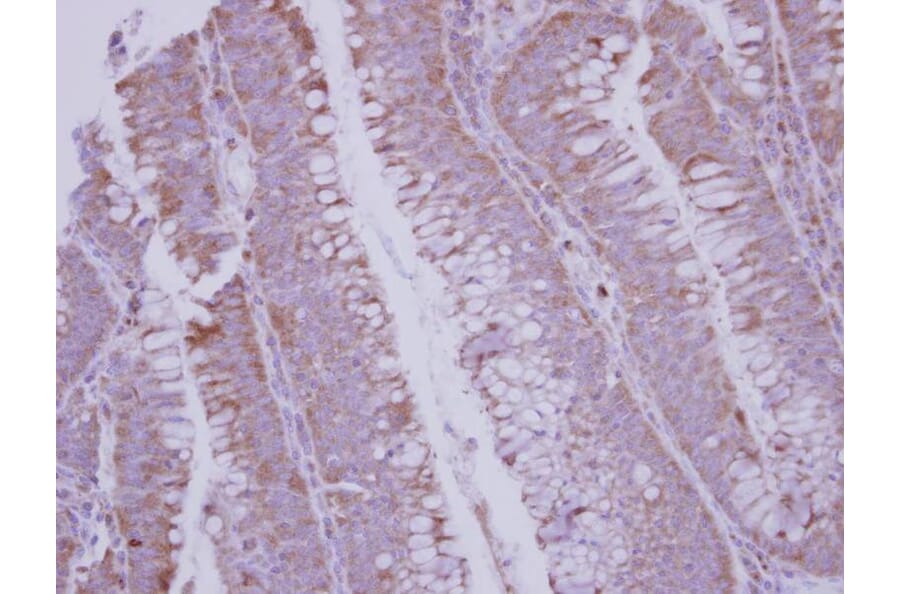
Immunohistochemistry - Anti-BMP10 Antibody (A37474)
Immunohistochemical analysis of paraffin-embedded Colon ca, using BMP10 antibody at 1: 250 dilution.
Publishing research using Anti-BMP10 Antibody (A37474)? Please
let us know
so that we can list the citation on this page.
Alternative products to Anti-BMP10 Antibody (A37474)
A27892
Anti-BMP10 Antibody
Rabbit polyclonal antibody to BMP10 for WB.
A90130
Anti-BMP10 Antibody
Rabbit polyclonal antibody to BMP10 for WB.
A42884
Anti-BMP10 Antibody
Rabbit polyclonal antibody to BMP10 for WB.
A27892
Anti-BMP10 Antibody
Rabbit polyclonal antibody to BMP10 for WB.
A90130
Anti-BMP10 Antibody
Rabbit polyclonal antibody to BMP10 for WB.
A42884
Anti-BMP10 Antibody
Rabbit polyclonal antibody to BMP10 for WB.
Proteins predicted to interact with BMP10
Predicted protein interactions based upon String database. Revelancy score correlates with probability of interaction.
BMPR2 Antibodies
99.9% Relevancy Score
ALK-1 Antibodies
99.9% Relevancy Score
Activin Receptor Type IIA Antibodies
99.1% Relevancy Score
CD105 Antibodies
97.7% Relevancy Score
BMP9 Antibodies
85.7% Relevancy Score
ACVR2B Antibodies
83.5% Relevancy Score
Activin Receptor Type IA Antibodies
83.1% Relevancy Score
MYH6 Antibodies
81.1% Relevancy Score
MYH7 Antibodies
77.3% Relevancy Score
Top