ISO 9001:2015 Certified
Live Customer Support
4.5/5 on Trustpilot
100% Quality Guarantee

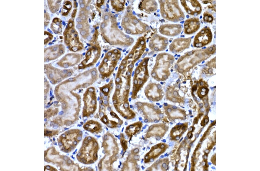
Anti-BNP Antibody (A11515)

Rabbit polyclonal antibody to BNP for WB, IHC and ICC/IF.

Shipping Information

$40
Dispatched from St. Louis, MO.
Lead Time: 7-10 business days.
Name
Anti-BNP Antibody
Description
Rabbit polyclonal antibody to BNP.
Applications
WB, IHC, ICC/IF
Dilutions
WB: 1:500-1:1,000, IHC: 1:50-1:200, ICC/IF: 1:50-1:200
Reactivity
Human, Mouse, Rat
Immunogen
Recombinant fusion protein containing a sequence corresponding to amino acids 1-134 of human BNP (NP_002512.1).
Sequence
MDPQTAPSRALLLLLFLHLAFLGGRSHPLGSPGSASDLETSGLQEQRNHLQGKLSELQVEQTSLEPLQESPRPTGVWKSREVATEGIRGHRKMVLYTLRAPRSPKMVQGSGCFGRKMDRISSSSGLGCKVLRRH
Host
Rabbit
Clonality
Polyclonal
Isotype
IgG
Conjugate

Unconjugated

Purification
Affinity purification.
Concentration
Lot Specific
Molecular Weight
15 kDa
Product Form
Liquid
Formulation
Supplied in Phosphate Buffered Saline, pH 7.3, with 50% Glycerol and 0.05% Proclin 300.
Storage
Shipped at 4°C. Upon delivery aliquot and store at -20°C. Avoid freeze/thaw cycles.
Synonyms
BNP(1-28), BNP(1-29), BNP(1-30), BNP(1-32), BNP(2-31), BNP(3-29), BNP(3-30), BNP(3-32), BNP(4-27), BNP(4-29), BNP(4-30), BNP(4-31), BNP(4-32), BNP(5-29), BNP(5-31), BNP(5-32), Brain natriuretic peptide 32, Brain type natriuretic peptide, Gamma brain natriuretic peptide, Natriuretic peptide B, Natriuretic peptide precursor B, natriuretic peptide, brain type, Natriuretic peptides B, natriuretic protein, NPPB
Disclaimer
This product is for research use only. It is not intended for diagnostic or therapeutic use.
Publishing research using Anti-BNP Antibody (A11515)? Please let us know so that we can list the citation on this page.

Alternative products to Anti-BNP Antibody (A11515)