ISO 9001:2015 Certified
Live Customer Support
4.5/5 on Trustpilot
100% Quality Guarantee

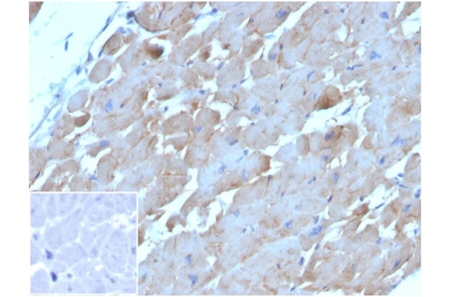
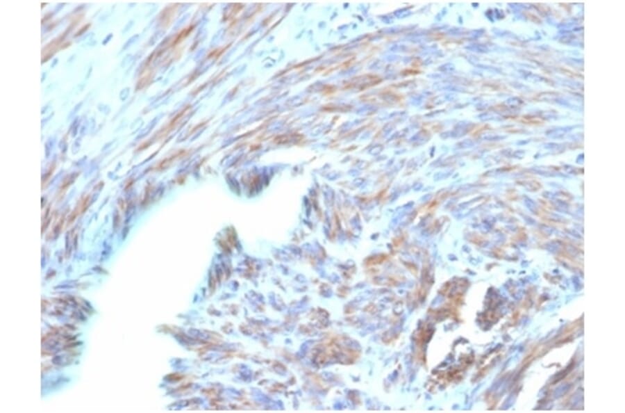
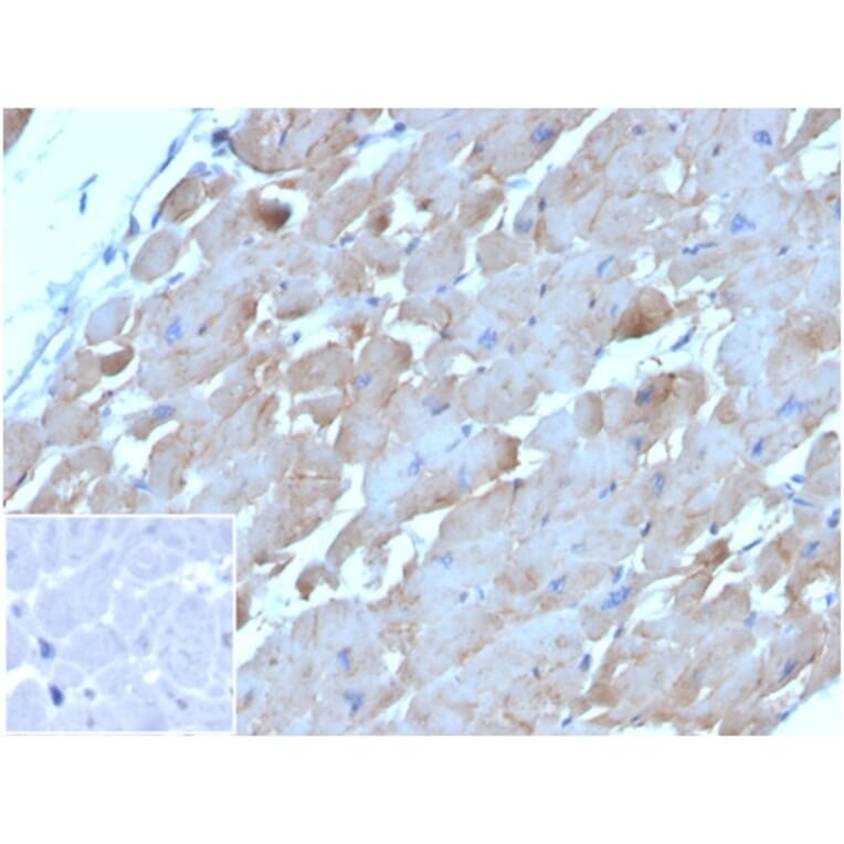
Anti-BNP Antibody [NPPB/4493] - BSA and Azide free (A278316)

Mouse monoclonal [NPPB/4493] antibody to BNP for IHC-P.

Alternative Formats and ConjugatesAlternative Formats

Shipping Information

$40
Dispatched from St. Louis, MO.
Lead Time: 5-8 business days.
Name
Anti-BNP Antibody [NPPB/4493] - BSA and Azide free
Description
Mouse monoclonal [NPPB/4493] antibody to BNP.
Specificity
Natriuretic peptides comprise a family of three structurally related molecules: atrial natriuretic peptide (ANP), brain natriuretic peptide (BNP) and C-type natriuretic peptide (CNP). ANP and BNP act mainly as cardiac hormones, produced primarily by the atrium and ventricle, respectively, while the gene encoding C-type natriuretic peptide is expressed mainly in the brain. These peptides possess potent natriuretic, diuretic and vasodilating activities and are implicated in body fluid homeostasis and blood pressure control. ANP, BNP and CNP are highly homologous within the 17-residue ring structure formed by an intramolecular disulfide linkage. The genes which encode for ANP and BNP map to human chromosome 1p36.22. The gene which encodes for CNP maps to human chromosome 2q37.1.
Applications
IHC-P
Dilutions
IHC-P: 1-2 µg/ml
Reactivity
Human
Immunogen
Recombinant fragment corresponding to human BNP. The exact sequence is proprietary.
Host
Mouse
Clonality
Monoclonal
Clone ID
NPPB/4493
Isotype
IgG1
Light Chains
kappa
Conjugate

Unconjugated

Purification
Protein A/G chromatography.
Concentration
1 mg/ml
Molecular Weight
25-36 kDa (glycosylated BNP precursor) / 12 kDa (deglycosylated mature BNP)
Product Form
Liquid
Formulation
Supplied in 10mM Phosphate Buffered Saline; without Sodium Azide and carrier free.
Storage
Shipped at 4°C. Upon delivery aliquot and store at -20°C. Avoid freeze / thaw cycles.
General Notes
This monoclonal antibody is also available in a different formulation with BSA and Sodium Azide - Anti-BNP Antibody [NPPB/4493] (A277728).
Synonyms
BNP(1-28), BNP(1-29), BNP(1-30), BNP(1-32), BNP(2-31), BNP(3-29), BNP(3-30), BNP(3-32), BNP(4-27), BNP(4-29), BNP(4-30), BNP(4-31), BNP(4-32), BNP(5-29), BNP(5-31), BNP(5-32), Brain natriuretic peptide 32, Brain type natriuretic peptide, Gamma brain natriuretic peptide, Natriuretic peptide B, Natriuretic peptide precursor B, natriuretic peptide, brain type, Natriuretic peptides B, natriuretic protein, NPPB
Disclaimer
This product is for research use only. It is not intended for diagnostic or therapeutic use.
Publishing research using Anti-BNP Antibody [NPPB/4493] - BSA and Azide free (A278316)? Please let us know so that we can list the citation on this page.

Alternative products to Anti-BNP Antibody [NPPB/4493] - BSA and Azide free (A278316)