ISO 9001:2015 Certified
Live Customer Support
4.5/5 on Trustpilot
100% Quality Guarantee

Anti-BRCA1 Antibody [17F8] (A279060)

$475

Mouse monoclonal [17F8] antibody to BRCA1 for ELISA, WB, IHC-P, IP and IF.

Shipping Information

$40
Dispatched from St. Louis, MO.
Lead Time: 5-7 business days.
Name
Anti-BRCA1 Antibody [17F8]
Description
Mouse monoclonal [17F8] antibody to BRCA1.
Specificity
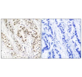
This antibody recognises both human and recognises full length 220 kDa BRCA1, but not the delta exon 11 splice variant. Mouse anti BRCA1, clone17F8 is well documented for use in immunohistochemistry and immunofluorescence staining, showning that this antibody labels both cytoplasmic BRCA1 and the centromeric region (overlapping with the nucleus), and exhibits cytoplasmic staining of BRCA1 in breast cancer cell lines and nuclear staining in several non-breast cancer cell lines (Lee, et al. 1998).
Applications
ELISA, WB, IHC-P, IP, IF
Dilutions
IF: 1 µg/ml, WB: 1.0 - 10.0 µg/ml
Reactivity
Human, Mouse
Immunogen
E. coli derived recombinant BRCA1 protein fragment corresponding to amino acids 762-1315.
Sequence
RSVESSSISLVPGTDYGTQESISLLEVSTLGKAKTEPNKCVSQCAAFENPKGLIHGCSKDNRNDTEGFKYPLGHEVNHSRETSIEMEESELDAQYLQNTFKVSKRQSFAPFSNPGNAEEECATFSAHSGSLKKQSPKVTFECEQKEENQGKNESNIKPVQTVNITAGFPVVGQKDKPVDNAKCSIKGGSRFCLSSQFRGNETGLITPNKHGLLQNPYRIPPLFPIKSFVKTKCKKNLLEENFEEHSMSPEREMGNENIPSTVSTISRNNIRENVFKEASSSNINEVGSSTNEVGSSINEIGSSDENIQAELGRNRGPKLNAMLRLGVLQPEVYKQSLPGSNCKHPEIKKQEYEEVVQTVNTDFSPYLISDNLEQPMGSSHASQVCSETPDDLLDDGEIKEDTSFAENDIKESSAVFSKSVQKGELSRSPSPFTHTHLAQGYRRGAKKLESSEENLSSEDEELPCFQHLLFGKVNNIPSQSTRHSTVATECLSKNTEENLLSLKNSLNDCSNQVILAKASQEHHLSEETKCSASLFSSQCSELEDLTANTNTQDP
Host
Mouse
Clonality
Monoclonal
Clone ID
17F8
Isotype
IgG1
Conjugate

Unconjugated

Purification
Protein G affinity chromatography of ascites.
Concentration
1 mg/ml
Product Form
Liquid
Formulation
Supplied in Phosphate Buffered Saline with <0.1% Sodium Azide.
Storage
Shipped at ambient temperature. Upon delivery aliquot and store at -20°C. When thawed, aliquot the sample as needed. Short term (up to 4 weeks): store at 4°C. Long term: store at -20°C. Avoid freeze / thaw cycles. Storage in frost free freezers is not recommended.
General Notes
Mouse anti BRCA1, clone 17F8 recognizes both human and mouse BRCA1, otherwise known as breast cancer type 1 susceptibility protein, a tumor suppressor gene and major player in DNA damage repair, predominantly expressed in the nucleus during the S/G2 phase of the cell cycle.Along with BRCA2, BRCA1 is a high risk gene which is associated with hereditary breast and ovarian cancers, particularly at a younger age of diagnosis. Women carrying the BRCA1 mutation have a 50-95% chance of developing breast cancer in later life, but genetic screening and increased awareness of preventative surgery can reduce this risk significantly (Yamauchi et al. 2018). Deleterious BRCA1 mutations may also increase the risk of other cancers in both males and females including pancreatic cancer, although in males pancreatic and prostate cancer appear to be more strongly associated with BRCA2 gene mutations.BRCA1 is a key marker of triple-negative breast cancer/TNBC (ER-/PR-/HER2-), a high risk aggressive cancer which makes up about 15% of invasive breast cancers, and which lacks the benefit of specific therapy that targets the three major proteins ER/PR/HER2. Triple-negative tumors are predominantly basal-like, poorly differentiated and of higher histological grade. Younger women have an increased rate of basal or BRCA related TNBC, compared with the higher proportion of apocrine, normal-like and rare subtypes of TNBC, seen in older women.Mouse anti BRCA1, clone17F8 recognizes full length 220 kDa BRCA1, but not the delta exon 11 splice variant. Mouse anti BRCA1, clone17F8 is well documented for use in immunohistochemistry and immunofluorescence staining, showning that this antibody labels both cytoplasmic BRCA1 and the centromeric region (overlapping with the nucleus), and exhibits cytoplasmic staining of BRCA1 in breast cancer cell lines and nuclear staining in several non-breast cancer cell lines (Lee, et al. 1998).
Synonyms
Breast cancer type 1 susceptibility protein, RING finger protein 53, RING-type E3 ubiquitin transferase BRCA1, RNF53
Disclaimer
This product is for research use only. It is not intended for diagnostic or therapeutic use.
Publishing research using Anti-BRCA1 Antibody [17F8] (A279060)? Please let us know so that we can list the citation on this page.

Alternative products to Anti-BRCA1 Antibody [17F8] (A279060)

Proteins predicted to interact with BRCA1

Predicted protein interactions based upon String database. Revelancy score correlates with probability of interaction.
99.9% Relevancy Score
99.9% Relevancy Score
99.9% Relevancy Score
99.9% Relevancy Score
99.9% Relevancy Score
99.9% Relevancy Score
99.9% Relevancy Score
99.9% Relevancy Score
99.9% Relevancy Score