ISO 9001:2015 Certified
Live Customer Support
4.5/5 on Trustpilot
100% Quality Guarantee

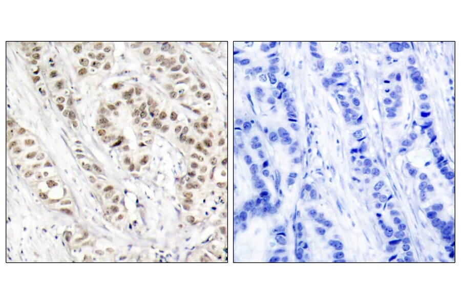
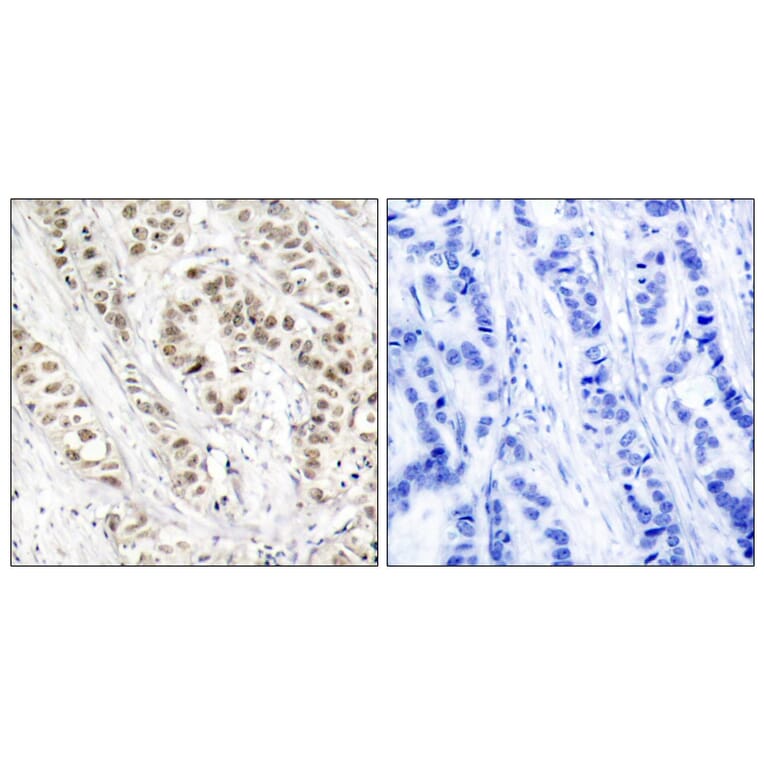
Anti-BRCA1 (phospho Ser1524) Antibody (A95400)

Rabbit polyclonal antibody to BRCA1 (phospho Ser1524) for WB, IHC, IF and ELISA.

Shipping Information

$40
Dispatched from St. Louis, MO.
Lead Time: 6-8 business days.
Name
Anti-BRCA1 (phospho Ser1524) Antibody
Description
Rabbit polyclonal antibody to BRCA1 (phospho Ser1524).
Specificity
This antibody detects endogenous levels of BRCA1 only when phosphorylated at Ser1524.
Applications
WB, IHC, IF, ELISA
Dilutions
WB: 1:500~1:1000, ELISA: 1:40000
Reactivity
Human, Rat, Mouse
Cross Reactivity
No reported cross-reactivity.
Immunogen
Synthetic peptide derived from human BRCA1 around the phosphorylation site of Ser1524 (amino acids 1491-1540).
Host
Rabbit
Clonality
Polyclonal
Isotype
IgG
Conjugate

Unconjugated

Purification
Purified from rabbit serum by antigen affinity chromatography using the immunizing phospho peptide.
Molecular Weight
207kDa
Product Form
Liquid
Formulation
Supplied in Phosphate Buffered Saline (without Mg2+ and Ca2+), pH 7.4, with 150mM NaCl, 0.02% Sodium Azide, and 50% Glycerol.
Storage
Shipped at 4°C. Upon delivery aliquot and store at -20°C. Avoid freeze / thaw cycles.
Synonyms
Breast cancer type 1 susceptibility protein, RING finger protein 53, RING-type E3 ubiquitin transferase BRCA1, RNF53
Disclaimer
This product is for research use only. It is not intended for diagnostic or therapeutic use.
Publishing research using Anti-BRCA1 (phospho Ser1524) Antibody (A95400)? Please let us know so that we can list the citation on this page.

Alternative products to Anti-BRCA1 (phospho Ser1524) Antibody (A95400)

Proteins predicted to interact with BRCA1

Predicted protein interactions based upon String database. Revelancy score correlates with probability of interaction.
99.9% Relevancy Score
99.9% Relevancy Score
99.9% Relevancy Score
99.9% Relevancy Score
99.9% Relevancy Score
99.9% Relevancy Score
99.9% Relevancy Score
99.9% Relevancy Score
99.9% Relevancy Score