ISO 9001:2015 Certified
Live Customer Support
4.5/5 on Trustpilot
100% Quality Guarantee

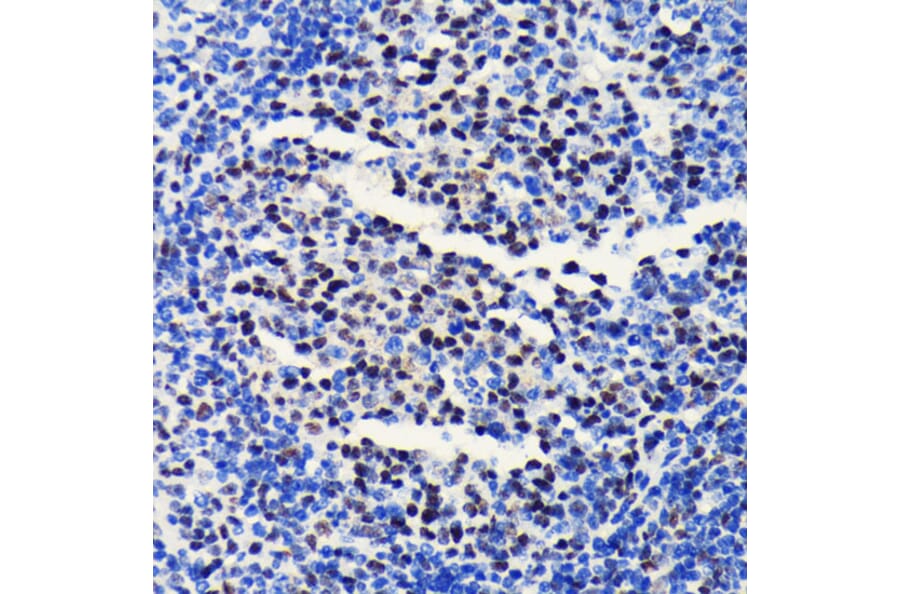
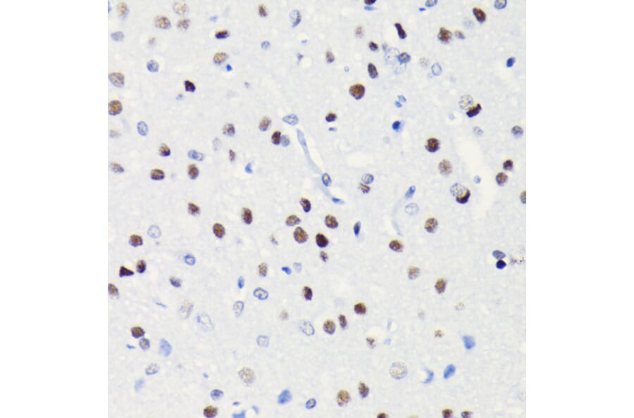
Anti-BRG1 Antibody [ARC0035] (A306691)

Rabbit monoclonal [ARC0035] antibody to BRG1 for WB, IHC and ICC/IF.

Shipping Information

$40
Dispatched from St. Louis, MO.
Lead Time: 7-10 business days.
Name
Anti-BRG1 Antibody [ARC0035]
Description
Rabbit monoclonal [ARC0035] antibody to BRG1.
Applications
WB, IHC, ICC/IF
Dilutions
WB: 1:500-1:2,000, IHC: 1:50-1:200, ICC/IF: 1:50-1:200
Reactivity
Human, Mouse, Rat
Immunogen
A synthetic peptide corresponding to a sequence within amino acids 200-300 of human BRG1/SMARCA4 (P51532).
Sequence
LQMAVQGKRPMPGMQQQMPTLPPPSVSATGPGPGPGPGPGPGPGPAPPNYSRPHGMGGPNMPPPGPSGVPPGMPGQPPGGPPKPWPEGPMANAAAPTSTPQ
Host
Rabbit
Clonality
Monoclonal
Clone ID
ARC0035
Isotype
IgG
Conjugate

Unconjugated

Purification
Affinity purification.
Concentration
Lot Specific
Molecular Weight
250 kDa
Product Form
Liquid
Formulation
Supplied in Phosphate Buffered Saline, pH 7.3, with 50% Glycerol, 0.05% BSA, and 0.02% Sodium Azide.
Storage
Shipped at 4°C. Upon delivery aliquot and store at -20°C. Avoid freeze/thaw cycles.
Synonyms
ATP-dependent helicase SMARCA4, BAF190A, BRG1-associated factor 190A, Mitotic growth and transcription activator, Protein brahma homolog 1, Protein BRG-1, SMARCA4, SNF2B, SNF2L4, Transcription activator BRG1
Disclaimer
This product is for research use only. It is not intended for diagnostic or therapeutic use.
Publishing research using Anti-BRG1 Antibody [ARC0035] (A306691)? Please let us know so that we can list the citation on this page.

Most popular Anti-BRG1 Antibodies

Alternative products to Anti-BRG1 Antibody [ARC0035] (A306691)

Proteins predicted to interact with BRG1

Predicted protein interactions based upon String database. Revelancy score correlates with probability of interaction.
99.9% Relevancy Score
99.9% Relevancy Score
99.9% Relevancy Score
99.9% Relevancy Score
99.9% Relevancy Score
99.9% Relevancy Score
99.9% Relevancy Score
99.9% Relevancy Score
99.9% Relevancy Score