ISO 9001:2015 Certified
Live Customer Support
4.5/5 on Trustpilot
100% Quality Guarantee

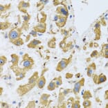
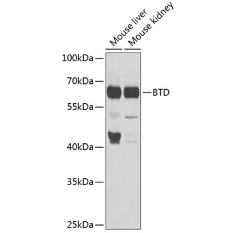
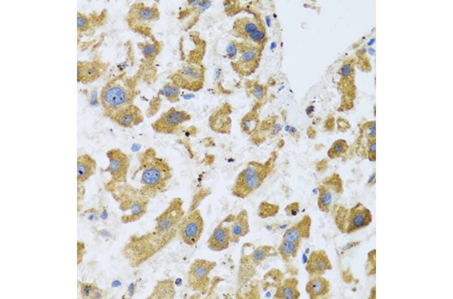
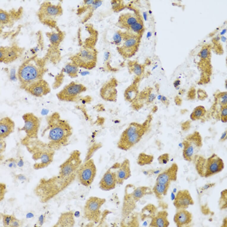
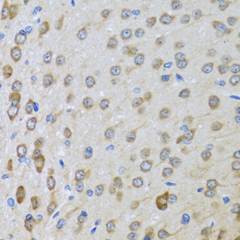
Anti-BTD Antibody (A16864)

Rabbit polyclonal antibody to BTD for WB and IHC.

Shipping Information

$40
Dispatched from St. Louis, MO.
Lead Time: 7-10 business days.
Name
Anti-BTD Antibody
Description
Rabbit polyclonal antibody to BTD.
Applications
WB, IHC
Dilutions
WB: 1:500-1:2,000, IHC: 1:100-1:200
Reactivity
Human, Mouse, Rat
Immunogen
Recombinant fusion protein containing a sequence corresponding to amino acids 284-543 of human BTD (NP_000051.1).
Sequence
IQKAFAVAFGINVLAANVHHPVLGMTGSGIHTPLESFWYHDMENPKSHLIIAQVAKNPVGLIGAENATGETDPSHSKFLKILSGDPYCEKDAQEVHCDEATKWNVNAPPTFHSEMMYDNFTLVPVWGKEGYLHVCSNGLCCYLLYERPTLSKELYALGVFDGLHTVHGTYYIQVCALVRCGGLGFDTCGQEITEATGIFEFHLWGNFSTSYIFPLFLTSGMTLEVPDQLGWENDHYFLRKSRLSSGLVTAALYGRLYERD
Host
Rabbit
Clonality
Polyclonal
Isotype
IgG
Conjugate

Unconjugated

Purification
Affinity purification.
Concentration
Lot Specific
Molecular Weight
61 kDa
Product Form
Liquid
Formulation
Supplied in Phosphate Buffered Saline, pH 7.3, with 50% Glycerol and 0.02% Sodium Azide.
Storage
Shipped at 4°C. Upon delivery aliquot and store at -20°C. Avoid freeze/thaw cycles.
Synonyms
Biotinase, Biotinidase
Disclaimer
This product is for research use only. It is not intended for diagnostic or therapeutic use.
Publishing research using Anti-BTD Antibody (A16864)? Please let us know so that we can list the citation on this page.

Alternative products to Anti-BTD Antibody (A16864)

Proteins predicted to interact with BTD

Predicted protein interactions based upon String database. Revelancy score correlates with probability of interaction.
99.6% Relevancy Score
90.5% Relevancy Score
81.9% Relevancy Score
81.4% Relevancy Score
79.6% Relevancy Score
78.8% Relevancy Score
61.9% Relevancy Score
55.7% Relevancy Score
55.5% Relevancy Score