[Left] Immunofluorescent analysis of HeLa cells stained with Anti-c-Fos Antibody (A85425), dilution 1:2,000, in red, and Anti-beta Tubulin Antibody (A85428), dilution 1:10,000, in green. The blue is DAPI staining of nuclear DNA. HeLa cells were kept in fetal bovine serum (FBS)-free media for 36 hours. Then the cells were [A] treated with PBS, as a control, or [B] stimulated with 20% FBS for 30 min. Anti-c-FOS antibody labels only the nuclei of stimulated cells. [Right] [C] Mouse hippocampus or [D] olfactory bulb sections stained with Anti-c-Fos Antibody (A85425), dilution 1:10,000, in red, and Anti-NF-L Antibody (A85453), dilution 1:5,000, in green. The blue is Hoechst staining of nuclear DNA. Following transcardial perfusion of mouse with 4% paraformaldehyde, the brain was post-fixed for 24 hours, cut to 45 µm, and free-floating sections were stained with the above antibodies. The c-FOS antibody stains only nuclei of spontaneously active neurons. NF-L is expressed in axons of neuronal cells.
Western blot analysis of cell lysates using Anti-c-Fos Antibody (A85425), dilution 1:2,000, in green, and Anti-GAPDH Antibody [1D4] (A85382), dilution 1:5,000, in red, used as a loading control. The lanes contain: [Lane 1] protein standard (red), [Lane 2] HeLa cells grown in FBS free media, [Lane 3] HeLa cells stimulated with 20% FBS for 2 hours after being in FBS free media for 36 hours, [Lane 4] rat cortical neurons, and [Lane 5] rat cortical neurons treated with membrane depolarization buffer for 5 hours. Multiple bands at 50-65 kDa in stimulated or treated cell lysates correspond to different isoforms of the c-FOS protein.
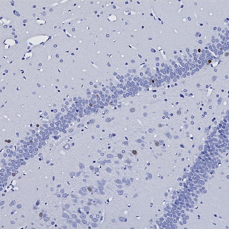
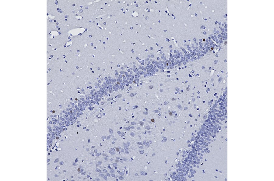
Immunohistochemistry analysis of a 4% PFA fixed paraffin embedded rat hippocampus section with Anti-c-Fos Antibody (A85425) dilution 1:5,000 detected with DAB (brown) using the Vector Labs ImmPRESS method and reagents with citra buffer retrieval. Counterstained with Hematoxylin (blue). The Anti-c-Fos Antibody (A85425) specifically labels activated neurons. Note: this antibody performs well in testing with 4% PFA and NBF fixed mouse, human, and rat tissues.
Publishing research using Anti-c-Fos Antibody (A85425)? Please let us know so that we can list the citation on this page.
Alternative products to Anti-c-Fos Antibody (A85425)