ISO 9001:2015 Certified
Live Customer Support
4.5/5 on Trustpilot
100% Quality Guarantee

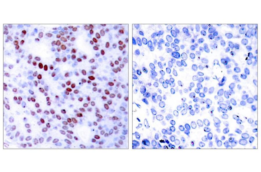
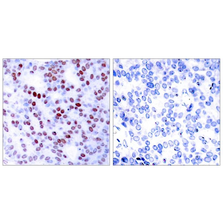
Anti-c-Jun (Ab-243) Antibody (A36416)

This product is discontinued

Anti-c-Jun (Ab-243) Antibody (A36416) has been discontinued and is no longer available.

View all c-Jun Antibodies.

Name
Anti-c-Jun (Ab-243) Antibody
Description
Rabbit polyclonal antibody to c-Jun (Ab-243)
Specificity
The antibody detects endogenous level of total c-Jun protein.
Applications
WB, IHC
Reactivity
Human
Immunogen
Peptide sequence around aa.241~245 (P-L-S-P-I) derived from Human c-Jun.
Host
Rabbit
Clonality
Polyclonal
Conjugate

Unconjugated

Purification
Antibodies were produced by immunizing rabbits with synthetic peptide and KLH conjugates. Antibodies were purified by affinity-chromatography using epitope-specific peptide.
Concentration
1 mg/ml
Formulation
Supplied at 1.0mg / mL in phosphate buffered saline (without Mg2+ and Ca2+), pH 7.4, 150mM NaCl, 0.02% sodium azide and 50% glycerol.
Storage
Store at -20°C for long term preservation (recommended). Store at 4°C for short term use.
Synonyms
Activator protein 1, AP1, JUN, p39, Proto-oncogene c-Jun, Transcription factor AP-1 subunit Jun, Transcription factor Jun, V-jun avian sarcoma virus 17 oncogene homolog
Disclaimer
This product is for research use only. It is not intended for diagnostic or therapeutic use.

Alternative products to Anti-c-Jun (Ab-243) Antibody (A36416)

Proteins predicted to interact with c-Jun

Predicted protein interactions based upon String database. Revelancy score correlates with probability of interaction.
99.9% Relevancy Score
99.9% Relevancy Score
99.9% Relevancy Score
99.9% Relevancy Score
99.9% Relevancy Score
99.9% Relevancy Score
99.9% Relevancy Score
99.9% Relevancy Score