Immunofluorescence analysis of HepG2 cells using Anti-c-Met (phospho Tyr1003) Antibody. The right hand panel represents a negative control, where the antibody was pre-incubated with the immunising peptide.
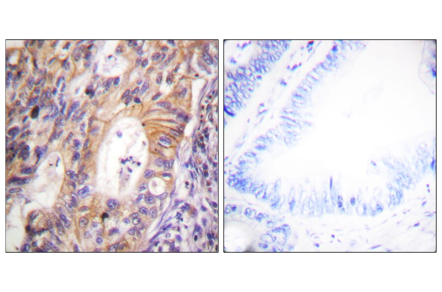
Immunohistochemical analysis of paraffin-embedded human colon carcinoma using Anti-c-Met (phospho Tyr1003) Antibody. The right hand panel represents a negative control, where the antibody was pre-incubated with the immunising peptide.
Western Blot - Anti-c-Met (phospho Tyr1003) Antibody (A95012)
Western blot analysis of lysates from HepG2 cells using Anti-c-Met (phospho Tyr1003) Antibody. The right hand lane represents a negative control, where the antibody is blocked by the immunising peptide.
Publishing research using Anti-c-Met (phospho Tyr1003) Antibody (A95012)? Please let us know so that we can list the citation on this page.
Alternative products to Anti-c-Met (phospho Tyr1003) Antibody (A95012)
Recombinant humanized monoclonal antibody to c-Met for use as a research grade Emibetuzumab biosimil for ELISA, Flow Cytometry, Functional Studies and in vivo Research.
Recombinant humanized monoclonal antibody to c-Met for use as a research grade Telisotuzumab biosimi for ELISA, Flow Cytometry, Functional Studies and in vivo Research.
Recombinant human monoclonal antibody to c-Met for use as a research grade Davutamig biosimilar for ELISA, Flow Cytometry, Functional Studies and in vivo Research.
Recombinant human monoclonal antibody to c-Met for use as a research grade Anti-Human c-Met [REGN509 for ELISA, Flow Cytometry, Functional Studies and in vivo Research.
Recombinant human monoclonal antibody to c-Met for use as a research grade Anti-Human c-Met [ARGX-11 for ELISA, Flow Cytometry, Functional Studies and in vivo Research.
Recombinant human monoclonal antibody to c-Met for use as a research grade Anti-Human c-Met [Sym-015 for ELISA, Flow Cytometry, Functional Studies and in vivo Research.
Recombinant humanized monoclonal antibody to c-Met for use as a research grade Onartuzumab biosimila for ELISA, Flow Cytometry, Functional Studies and in vivo Research.
Recombinant humanized monoclonal antibody to c-Met for use as a research grade Emibetuzumab biosimil for ELISA, Flow Cytometry, Functional Studies and in vivo Research.
Recombinant humanized monoclonal antibody to c-Met for use as a research grade Telisotuzumab biosimi for ELISA, Flow Cytometry, Functional Studies and in vivo Research.
Recombinant human monoclonal antibody to c-Met for use as a research grade Davutamig biosimilar for ELISA, Flow Cytometry, Functional Studies and in vivo Research.
Recombinant human monoclonal antibody to c-Met for use as a research grade Anti-Human c-Met [REGN509 for ELISA, Flow Cytometry, Functional Studies and in vivo Research.
Recombinant human monoclonal antibody to c-Met for use as a research grade Anti-Human c-Met [ARGX-11 for ELISA, Flow Cytometry, Functional Studies and in vivo Research.
Recombinant human monoclonal antibody to c-Met for use as a research grade Anti-Human c-Met [Sym-015 for ELISA, Flow Cytometry, Functional Studies and in vivo Research.
Recombinant humanized monoclonal antibody to c-Met for use as a research grade Onartuzumab biosimila for ELISA, Flow Cytometry, Functional Studies and in vivo Research.