Discover our collection of 90 highly specific CD44 antibodies validated for WB, IHC, ICC/IF, ELISA, Flow Cytometry and more. Our range includes polyclonal, monoclonal and recombinant antibodies reactive with samples derived from human, mouse, rat, bovine and chicken. CD44 antibodies are commonly used as b cell markers, cytotoxic t cell markers, hematopoietic stem cell markers, memory t cell markers, mesenchymal stem cell markers and neutrophil markers. These antibodies are available in carrier free formulations, unconjugated or directly conjugated to Biotin, APC, FITC, AP and APC-Cyanine 7. Some of these antibodies have also been knockout (KO) validated. Many antibodies are also available in 10µl trial sizes.
Synonyms: CD44 antigen, CDw44, ECMR-III, Epican, Extracellular matrix receptor III, GP90 lymphocyte homing/adhesion receptor, HUTCH-I, LHR, MDU2, MDU3 and MIC4
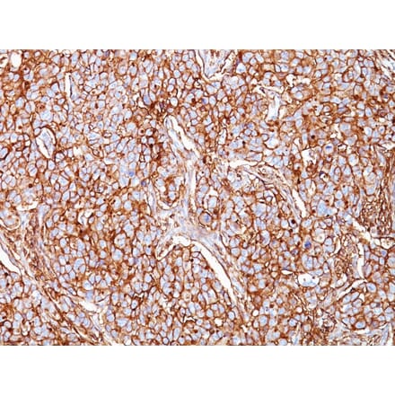
Anti-CD44 Antibody [MEM-85] (A85618) | |
10µg - 100µg/$210 – $375 | |
| Description: | Mouse monoclonal [MEM-85] antibody to CD44. |
| Applications: | Flow Cytometry, IP, WB, ELISA |
| Reactivity: | Human |
| Conjugate: | Unconjugated |
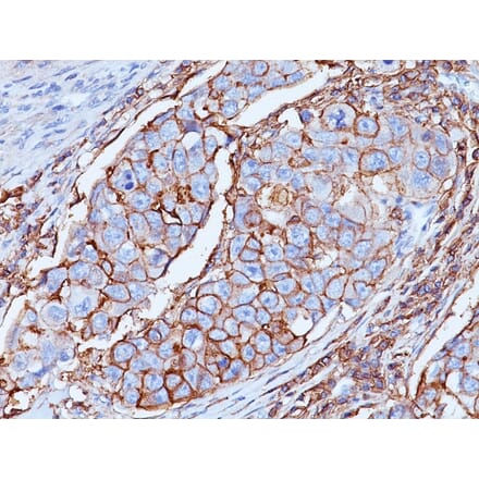
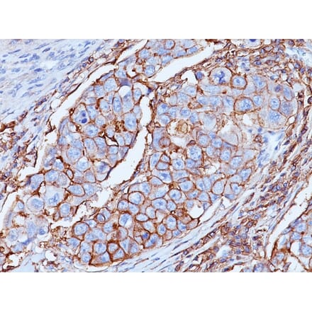
Anti-CD44 Antibody [MEM-263] (A85675) | |
10µg - 100µg/$210 – $375 | |
| Description: | Mouse monoclonal [MEM-263] antibody to CD44. |
| Applications: | Flow Cytometry, IP, WB, IHC-P |
| Reactivity: | Porcine, Human, Canine |
| Conjugate: | Unconjugated |
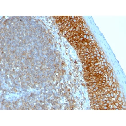
Anti-CD44 Antibody (A93018) | |
100µl/$515 | |
| Description: | Rabbit polyclonal antibody to CD44. |
| Applications: | WB, IHC, ICC/IF |
| Reactivity: | Human, Mouse, Rat |
| Conjugate: | Unconjugated |
Anti-CD44 Antibody [156-3C11] (A250711) | |
100µg/$580 | |
| Description: | Mouse monoclonal [156-3C11] antibody to CD44. |
| Applications: | Functional Studies, Flow Cytometry, IF, WB, IHC-P |
| Reactivity: | Human, Baboon, Green Monkey |
| Conjugate: | Unconjugated |
Anti-CD44 Antibody [156-3C11] - BSA and Azide free (A253891) | |
100µg/$580 | |
| Description: | Mouse monoclonal [156-3C11] antibody to CD44. |
| Applications: | Functional Studies, Flow Cytometry, IF, WB, IHC-P |
| Reactivity: | Human, Baboon, Green Monkey |
| Conjugate: | Unconjugated |
Anti-CD44 Antibody [rHCAM/918] (A250714) | |
100µg/$580 | |
| Description: | Recombinant mouse monoclonal [rHCAM/918] antibody to CD44. |
| Applications: | Functional Studies, Flow Cytometry, IF, WB, IHC-P |
| Reactivity: | Human, Baboon, Green Monkey |
| Conjugate: | Unconjugated |
Anti-CD44 Antibody [HCAM/918] - BSA and Azide free (A253896) | |
100µg/$580 | |
| Description: | Mouse monoclonal [HCAM/918] antibody to CD44. |
| Applications: | Functional Studies, WB, Flow Cytometry, IF, IHC-P |
| Reactivity: | Human, Baboon, Green Monkey |
| Conjugate: | Unconjugated |
Anti-CD44 Antibody [HCAM/918] (A250716) | |
100µg/$580 | |
| Description: | Mouse monoclonal [HCAM/918] antibody to CD44. |
| Applications: | Functional Studies, WB, Flow Cytometry, IF, IHC-P |
| Reactivity: | Human, Baboon, Green Monkey |
| Conjugate: | Unconjugated |
Anti-CD44 Antibody [rHCAM/918] - BSA and Azide free (A253894) | |
100µg/$580 | |
| Description: | Recombinant mouse monoclonal [rHCAM/918] antibody to CD44. |
| Applications: | Functional Studies, Flow Cytometry, IF, WB, IHC-P |
| Reactivity: | Human, Baboon, Green Monkey |
| Conjugate: | Unconjugated |
Anti-CD44 Antibody [BU75] - BSA and Azide free (A253889) | |
100µg/$580 | |
| Description: | Mouse monoclonal [BU75] antibody to CD44. |
| Applications: | Flow Cytometry, IF, Functional Studies, WB, IHC-P |
| Reactivity: | Human, Baboon, Green Monkey |
| Conjugate: | Unconjugated |
Anti-CD44 Antibody [156-3C11] (A279028) | |
200µg/$525 | |
| Description: | Mouse monoclonal [156-3C11] antibody to CD44. |
| Applications: | WB, IHC-P, IHC-Fr, IF, Flow Cytometry, IP |
| Reactivity: | Human, Baboon, African green monkey , Cat |
| Conjugate: | Unconjugated |
Anti-CD44 Antibody [BU75] (A250709) | |
100µg/$580 | |
| Description: | Mouse monoclonal [BU75] antibody to CD44. |
| Applications: | Flow Cytometry, IF, Functional Studies, WB, IHC-P |
| Reactivity: | Human, Baboon, Green Monkey |
| Conjugate: | Unconjugated |
Anti-CD44 Antibody [SPM521] (A250713) | |
100µg/$580 | |
| Description: | Mouse monoclonal [SPM521] antibody to CD44. |
| Applications: | IF, Functional Studies, WB, IHC-P |
| Reactivity: | Human, Baboon, Green Monkey |
| Conjugate: | Unconjugated |
Anti-CD44 Antibody [SPM521] - BSA and Azide free (A253893) | |
100µg/$580 | |
| Description: | Mouse monoclonal [SPM521] antibody to CD44. |
| Applications: | IF, Functional Studies, WB, IHC-P |
| Reactivity: | Human, Baboon, Green Monkey |
| Conjugate: | Unconjugated |
Anti-CD44 Antibody [SPM544] - BSA and Azide free (A253892) | |
100µg/$580 | |
| Description: | Mouse monoclonal [SPM544] antibody to CD44. |
| Applications: | IF, Functional Studies, WB, IHC-P |
| Reactivity: | Human, Baboon, Green Monkey |
| Conjugate: | Unconjugated |
Anti-CD44 Antibody [SPM544] (A250712) | |
100µg/$580 | |
| Description: | Mouse monoclonal [SPM544] antibody to CD44. |
| Applications: | IF, Functional Studies, WB, IHC-P |
| Reactivity: | Human, Baboon, Green Monkey |
| Conjugate: | Unconjugated |
Anti-CD44 Antibody [DF1485] (A250717) | |
100µg/$580 | |
| Description: | Mouse monoclonal [DF1485] antibody to CD44. |
| Applications: | Flow Cytometry, IF, IHC-P |
| Reactivity: | Human, Mouse |
| Conjugate: | Unconjugated |
Anti-CD44 Antibody [MAC329] (A281021) | |
100µg/$385 | |
| Description: | Rat monoclonal [MAC329] antibody to CD44. |
| Applications: | Flow Cytometry |
| Reactivity: | Porcine, Dog, Horse, Bovine, Goat, Sheep |
| Conjugate: | Unconjugated |
Anti-CD44 Antibody (A13435) | |
100µl/$375 | |
| Description: | Rabbit polyclonal antibody to CD44. |
| Applications: | WB, IHC |
| Reactivity: | Human, Mouse |
| Conjugate: | Unconjugated |
Anti-CD44 Antibody (A762) | |
100µg/$525 | |
| Description: | Mouse monoclonal (N58-2 ) antibody to CD44. |
| Applications: | WB, ICC, IHC-P |
| Reactivity: | Human |
| Conjugate: | Unconjugated |
Anti-CD44 Antibody [RG7356] Biosimilar - BSA and Azide free (A339509) | |
100µg - 1mg/$455 – $1,380 | |
| Description: | Recombinant human monoclonal antibody to CD44 for use as a research grade Anti-Human CD44 [RG7356] b... |
| Applications: | ELISA, Flow Cytometry, Functional Studies, in vivo Research |
| Reactivity: | Human |
| Conjugate: | Unconjugated |
Anti-CD44 Antibody [MEM-263] (PE) (A85672) | |
100T/$470 | |
| Description: | Mouse monoclonal [MEM-263] antibody to CD44 (PE). |
| Applications: | Flow Cytometry |
| Reactivity: | Porcine, Human, Canine |
| Conjugate: | PE |
Anti-CD44 Antibody [DF1485] - BSA and Azide free (A253897) | |
100µg/$580 | |
| Description: | Mouse monoclonal [DF1485] antibody to CD44. |
| Applications: | Flow Cytometry, IF, IHC-P |
| Reactivity: | Human, Mouse |
| Conjugate: | Unconjugated |
Anti-CD44 Antibody [23GB3055] (A345102) | |
100µl/$640 | |
| Description: | Recombinant rabbit monoclonal [23GB3055] antibody to CD44. |
| Applications: | WB, Flow Cytometry, ICC/IF, IHC-P |
| Reactivity: | Human, Mouse, Rat |
| Conjugate: | Unconjugated |
Anti-CD44 (phospho Ser706) Antibody (A94086) | |
10µg - 100µg/$200 – $505 | |
| Description: | Rabbit polyclonal antibody to CD44 (phospho Ser706). |
| Applications: | WB, ELISA |
| Reactivity: | Human, Mouse, Rat |
| Conjugate: | Unconjugated |
Anti-CD44 Antibody [MAC329] (FITC) (A281020) | |
100µg/$645 | |
| Description: | Rat monoclonal [MAC329] antibody to CD44 (FITC). |
| Applications: | Flow Cytometry |
| Reactivity: | Porcine, Dog, Horse, Bovine, Goat, Sheep |
| Conjugate: | FITC |
Anti-CD44 Antibody (A40675) | |
50µl - 100µl/$290 – $430 | |
| Description: | Rabbit polyclonal antibody to CD44 |
| Applications: | ELISA, WB |
| Reactivity: | Human, Mouse, Rat |
| Conjugate: | Unconjugated |
Anti-CD44 Antibody [25.32] (A278730) | |
100µg/$385 | |
| Description: | Mouse monoclonal [25.32] antibody to CD44. |
| Applications: | IP, Flow Cytometry, IHC-Fr |
| Reactivity: | Sheep, Bovine, Goat, Human |
| Conjugate: | Unconjugated |
Bivatuzumab Biosimilar - Anti-CD44 Antibody - BSA and Azide free (A338542) | |
100µg - 1mg/$290 – $730 | |
| Description: | Recombinant humanized monoclonal antibody to CD44 for use as a research grade Bivatuzumab biosimilar... |
| Applications: | ELISA, Flow Cytometry, Functional Studies, in vivo Research |
| Reactivity: | Human |
| Conjugate: | Unconjugated |
Anti-CD44 Antibody [HCAM/2875R] - BSA and Azide free (A253903) | |
100µg/$580 | |
| Description: | Recombinant rabbit monoclonal [HCAM/2875R] antibody to CD44. |
| Applications: | WB, IHC-P |
| Reactivity: | Human |
| Conjugate: | Unconjugated |
Anti-CD44 Antibody (A82545) | |
100µg/$525 | |
| Description: | Goat polyclonal antibody to CD44. |
| Applications: | ELISA, WB, IHC |
| Reactivity: | Human |
| Conjugate: | Unconjugated |
Anti-CD44 Antibody [MEM-263] (APC) (A85670) | |
100T/$470 | |
| Description: | Mouse monoclonal [MEM-263] antibody to CD44 (APC). |
| Applications: | Flow Cytometry |
| Reactivity: | Porcine, Human, Canine |
| Conjugate: | APC |
Anti-CD44 Antibody [MEM-263] (FITC) (A85671) | |
100T/$420 | |
| Description: | Mouse monoclonal [MEM-263] antibody to CD44 (FITC). |
| Applications: | Flow Cytometry |
| Reactivity: | Porcine, Human, Canine |
| Conjugate: | FITC |
Anti-CD44 Antibody (A39876) | |
50µl - 100µl/$290 – $430 | |
| Description: | Rabbit polyclonal antibody to CD44 |
| Applications: | WB, ICC/IF |
| Reactivity: | Human |
| Conjugate: | Unconjugated |
Anti-CD44 Antibody [MEM-85] (Biotin) (A85621) | |
10µg - 100µg/$210 – $420 | |
| Description: | Mouse monoclonal [MEM-85] antibody to CD44 (Biotin). |
| Applications: | Flow Cytometry, IP, WB, ELISA |
| Reactivity: | Human |
| Conjugate: | Biotin |
Anti-CD44 Antibody [PF-3475952] Biosimilar - BSA and Azide free (A339510) | |
100µg - 1mg/$455 – $1,380 | |
| Description: | Recombinant human monoclonal antibody to CD44 for use as a research grade Anti-Human CD44 [PF-034759... |
| Applications: | ELISA, Flow Cytometry, Functional Studies, in vivo Research |
| Reactivity: | Human |
| Conjugate: | Unconjugated |
Anti-CD44 Antibody [HCAM/2875R] (A250723) | |
100µg/$580 | |
| Description: | Recombinant rabbit monoclonal [HCAM/2875R] antibody to CD44. |
| Applications: | WB, IHC-P |
| Reactivity: | Human |
| Conjugate: | Unconjugated |
Anti-CD44 Antibody (A57542) | |
50µg - 100µg/$475 – $645 | |
| Description: | Mouse monoclonal antibody to CD44 |
| Applications: | WB, ELISA, IP |
| Conjugate: | Unconjugated |
Anti-CD44 Antibody [VB6-8] Biosimilar - BSA and Azide free (A339511) | |
100µg - 1mg/$455 – $1,380 | |
| Description: | Recombinant human monoclonal antibody to CD44 for use as a research grade Anti-Human CD44 [VB6-008]... |
| Applications: | ELISA, Flow Cytometry, Functional Studies, in vivo Research |
| Reactivity: | Human |
| Conjugate: | Unconjugated |
Anti-CD44 Antibody [F10-44-2] (A280397) | |
20µg - 200µg/$160 – $525 | |
| Description: | Mouse monoclonal [F10-44-2] antibody to CD44. |
| Applications: | IHC-P, IF, Flow Cytometry, IHC-Fr |
| Reactivity: | Human, Cynomolgus monkey |
| Conjugate: | Unconjugated |
Anti-CD44 Antibody (A30075) | |
50µl - 100µl/$460 – $675 | |
| Description: | Rabbit polyclonal antibody to CD44 |
| Applications: | WB, IHC |
| Reactivity: | Human, Mouse |
| Conjugate: | Unconjugated |
Anti-CD44 Antibody (A38427) | |
50µl - 100µl/$415 – $595 | |
| Description: | Rabbit polyclonal antibody to CD44 |
| Applications: | WB, IHC |
| Reactivity: | Human, Mouse |
| Conjugate: | Unconjugated |
Anti-CD44 Antibody [HCAM/6459R] - BSA and Azide free (A253905) | |
100µg/$580 | |
| Description: | Recombinant rabbit monoclonal [HCAM/6459R] antibody to CD44. |
| Applications: | IHC-P |
| Reactivity: | Human |
| Conjugate: | Unconjugated |
Anti-CD44 Antibody [25.32] (FITC) (A278729) | |
100µg/$645 | |
| Description: | Mouse monoclonal [25.32] antibody to CD44 (FITC). |
| Applications: | Flow Cytometry |
| Reactivity: | Sheep, Bovine, Goat, Human |
| Conjugate: | FITC |
Anti-CD44 Antibody [B-F24] - BSA and Azide free (A341867) | |
200µg - 1mg/$680 – $1,135 | |
| Description: | Mouse monoclonal [B-F24] IVD antibody to CD44. |
| Applications: | ELISA, Flow Cytometry, Functional assay, IP |
| Reactivity: | Human |
| Conjugate: | Unconjugated |
Anti-CD44 Antibody [HCAM/4110R] - BSA and Azide free (A253904) | |
100µg/$580 | |
| Description: | Recombinant rabbit monoclonal [HCAM/4110R] antibody to CD44. |
| Applications: | IHC-P |
| Reactivity: | Human |
| Conjugate: | Unconjugated |
Anti-CD44 Antibody [RM264] (A121408) | |
100µl/$525 | |
| Description: | Recombinant rabbit monoclonal [RM264] antibody to CD44. |
| Applications: | WB, IHC |
| Reactivity: | Human |
| Conjugate: | Unconjugated |
Anti-CD44 Antibody [23GB3060] (A345101) | |
100µl/$640 | |
| Description: | Recombinant rabbit monoclonal [23GB3060] antibody to CD44. |
| Applications: | WB, Flow Cytometry, ICC/IF, IHC-P |
| Reactivity: | Human |
| Conjugate: | Unconjugated |
Anti-CD44 Antibody [HCAM/6459R] (A250725) | |
100µg/$580 | |
| Description: | Recombinant rabbit monoclonal [HCAM/6459R] antibody to CD44. |
| Applications: | IHC-P |
| Reactivity: | Human |
| Conjugate: | Unconjugated |
Anti-CD44 Antibody [24GB9330] (A345100) | |
100µl/$450 | |
| Description: | Recombinant rabbit monoclonal [24GB9330] antibody to CD44. |
| Applications: | WB, Flow Cytometry, ICC/IF |
| Reactivity: | Human, Rat |
| Conjugate: | Unconjugated |
Showing 1-50 of 90 products