This antibody binds Calbindin cleanly but does not cross-react with the related Calretinin and Parvalbumin proteins. It is therefore ideally suited for identifying and subclassifying cortical GABAergic neurons.
Applications
WB, ICC/IF, IHC
Dilutions
WB: 1:5,000, ICC/IF: 1:5,000, IHC: 1:5,000
Reactivity
Human, Rat, Mouse, Bovine
Immunogen
Recombinant full-length human Calbindin, expressed in and purified from E. coli.
Host
Mouse
Clonality
Monoclonal
Clone ID
5A9
Isotype
IgG2a
Conjugate
Unconjugated
Purification
Immunogen affinity purification.
Concentration
1 mg/ml
Molecular Weight
~26 kDa
Product Form
Liquid
Formulation
Supplied in Phosphate Buffered Saline with 50% Glycerol and 5mM Sodium Azide.
Storage
Shipped at 4°C. Upon delivery aliquot and store at -20°C. Avoid freeze/thaw cycles.
Immunofluorescent analysis of rat brain cerebellum section stained with Anti-Calbindin Antibody, at a dilution of 1:2,000, in red, and Anti-GFAP Antibody (A85419 | 1:5,000, in green. The blue is DAPI staining of nuclear DNA. Following transcardial perfusion with 4% paraformaldehyde, brain was post fixed for 24 hours, cut to 45µM, and free-floating sections were stained with the above antibodies. Anti-Calbindin Antibody prominently labels the dendrites and perikarya of Purkinje cells in the molecular layer of the cerebellum. The Anti-GFAP Antibody stains the processes of Bergmann glia in the molecular layer and astroglia in the granular and white matter layers of cerebellum.
Adult mouse cortex (Left) and cerebellum (Right) sections were stained with Anti-Calbindin Antibody (red) and Anti-Fox3/NeuN Antibody (A85402 | green). Calbindin is expressed in a subset of interneurons in the cortex (Left) and prominently expressed in the dendrites of Purkinje cells in the cerebellum molecular layer (Right). Fox3/NeuN expresses in most neurons; as a result, cells positive for calbindin appear to be yellow. Insets are high magnification images of the boxed area. Blue is DAPI nucleus staining that labels DNA.
Western Blot - Anti-Calbindin Antibody [5A9] (A85362)
Western blot analysis of different neuronal tissue lysates using Anti-Calbindin Antibody, at a dilution of 1:5,000): [Lane 1] protein standard, [Lane 2] rat cerebellum, [Lane 3] pig hippocampus, and [Lane 4] cow cerebellum. Bands at ~25 kDa correspond to calbindin protein, heavily expressed in the cerebellum but a very minor component of hippocampus.
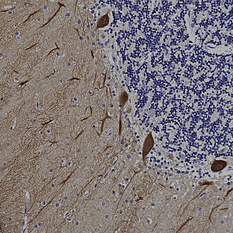
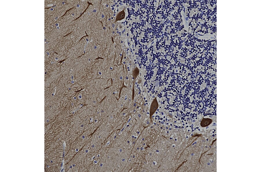
Immunohistochemistry analysis of a formalin fixed paraffin embedded human cerebellum section with Anti-Calbindin Antibody [5A9] (A85362) at a dilution of 1:2,000 detected in DAB (brown) following the ImmPress method with citra buffer retrieval. Counterstained with Hematoxylin (blue). The Anti-Calbindin Antibody [5A9] (A85362) strongly labels the cytoplasm of Purkinje cells and dendrites. Note: this antibody performs well in testing with both 4% PFA and standard NBF fixed rat and human tissues.
Western Blot - Anti-Calbindin Antibody [5A9] (A85362)
Western blot analysis of Anti-Calbindin Antibody. Blots of cow cerebellum lysate were probed with Anti-Calbindin Antibody. The antibody binds strongly and cleanly to the calbindin band at 28 kDa.