ISO 9001:2015 Certified
Live Customer Support
4.5/5 on Trustpilot
100% Quality Guarantee

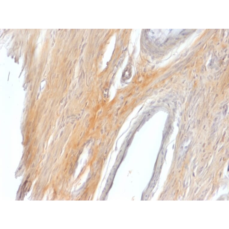
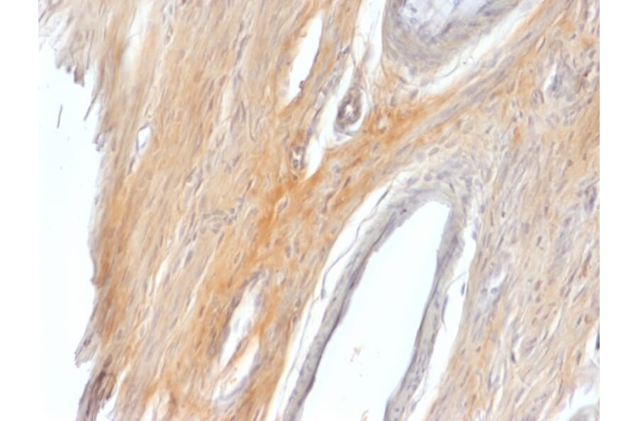
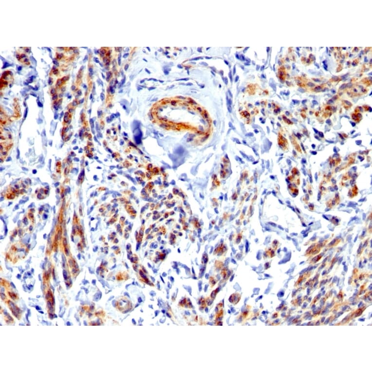
Anti-Caldesmon Antibody - BSA and Azide free (A253566)

Rabbit polyclonal antibody to Caldesmon for WB, Flow Cytometry, IF and IHC.

Alternative Formats and ConjugatesAlternative Formats

Shipping Information

$40
Dispatched from St. Louis, MO.
Lead Time: 5-8 business days.
Name
Anti-Caldesmon Antibody - BSA and Azide free
Description
Rabbit polyclonal antibody to Caldesmon.
Specificity
This antibody recognizes a protein of 150kDa, which is identified as the high molecular weight variant of Caldesmon. Two closely related variants of human caldesmon have been identified which are different in their electrophoretic mobility and cellular distribution. The h-caldesmon variant (120 150kDa) is predominantly expressed in smooth muscle whereas l-caldesmon (70 80kDa) is found in non- muscle tissue and cells. Neither of the two variants has been detected in skeletal muscle. This antibody This antibody recognizes only the 150kDa variant (h-caldesmon) in Western blots of human aortic media extracts and is unreactive with fibroblast extracts from cultivated human foreskin. Caldesmon is a developmentally regulated protein involved in smooth muscle and non-muscle contraction.
Applications
WB, Flow Cytometry, IF, IHC
Dilutions
WB: 1-2 µg/ml, Flow Cytometry: 0.5-1 µg/million cells, IF: 1-2 µg/ml, IHC-P: 1-2 µg/ml
Reactivity
Human, Rat
Immunogen
Recombinant fragment of human CALD1 protein.
Host
Rabbit
Clonality
Polyclonal
Isotype
IgG
Conjugate

Unconjugated

Purification
Protein A/G chromatography.
Concentration
1 mg/ml
Molecular Weight
120-150 kDa
Product Form
Liquid
Formulation
Supplied in 10mM Phosphate Buffered Saline; without Sodium Azide and carrier free.
Storage
Shipped at 4°C. Upon delivery aliquot and store at -20°C. Avoid freeze / thaw cycles.
General Notes
This monoclonal antibody is also available in a different formulation with BSA and Sodium Azide - Anti-Caldesmon Antibody (A250386).
Synonyms
CAD, CALD1, CDM
Disclaimer
This product is for research use only. It is not intended for diagnostic or therapeutic use.
Publishing research using Anti-Caldesmon Antibody - BSA and Azide free (A253566)? Please let us know so that we can list the citation on this page.

Alternative products to Anti-Caldesmon Antibody - BSA and Azide free (A253566)

Proteins predicted to interact with Caldesmon

Predicted protein interactions based upon String database. Revelancy score correlates with probability of interaction.
99.6% Relevancy Score
99.6% Relevancy Score
95% Relevancy Score
94.6% Relevancy Score
92.6% Relevancy Score
89.4% Relevancy Score
86.7% Relevancy Score
84.4% Relevancy Score
83.2% Relevancy Score