Immunocytochemistry/Immunofluorescence analysis of human heat shocked cervical cancer cell line (HeLa), fixed in 2% formaldehyde for 20 minutes at room temperature, using Anti-Calnexin Antibody (A305107), at 1:80 for 12 hours at 4°C. The secondary antibody used was R-PE Goat Anti-Rabbit (yellow) at 1:200 for 2 hours at room temperature. Counterstain: DAPI (blue) nuclear stain at 1:40000 for 2 hours at room temperature. Localization: Endoplasmic reticulum membrane. Melanosome. Magnification: 20x.(A) DAPI (blue) nuclear stain. (B) Anti-Calnexin-CT Antibody. (C) Composite. Heat Shocked at 42°C for 1h.
Immunocytochemistry/Immunofluorescence analysis of human HaCaT cells, fixed in cold 100% methanol at -20°C for 10 minutes, using Anti-Calnexin Antibody (A305107), at 1:100 for 12 hours at 4°C. The secondary antibody used was FITC Goat Anti-Rabbit at 1:50 for 1-2 hours at room temperature in dark. Localization: Nuclear staining, cytoplasmic staining.
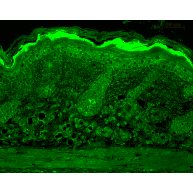
Immunohistochemistry analysis of mouse backskin, fixed in Bouin's fixative solution. The Primary Antibody used was Anti-Calnexin Antibody (A305107) at 1:100 for 1 hour at room temperature. The secondary antibody used was FITC Goat Anti-Rabbit (green) at 1:50 for 1 hour at room temperature. Localization: Hair Follicles, Basal cells in epidermis, and second layer of epidermis.
Western blot analysis of rat tissue mix showing detection of Calnexin-CT protein using Anti-Calnexin Antibody (A305107) at 1:1,000 for 2 hours at room temperature. Load: 15 µgprotein. Block: 1.5% BSA for 30 minutes at room temperature. The secondary antibody used was Donkey Anti-Rabbit IgG: HRP for 1 hour at room temperature.
Immunocytochemistry/Immunofluorescence analysis of human heat shocked cervical cancer cell line (HeLa), fixed in 2% formaldehyde for 20 minutes at room temperature, using Anti-Calnexin Antibody (A305107), at 1:80 for 12 hours at 4°C. The secondary antibody used was FITC Goat Anti-Rabbit (green) at 1:200 for 2 hours at room temperature. Counterstain: DAPI (blue) nuclear stain at 1:40000 for 2 hours at room temperature. Localization: Endoplasmic reticulum membrane. Melanosome. Magnification: 100x. Heat Shocked at 42°C for 1h.