ISO 9001:2015 Certified
Live Customer Support
4.5/5 on Trustpilot
100% Quality Guarantee

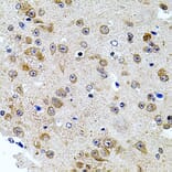
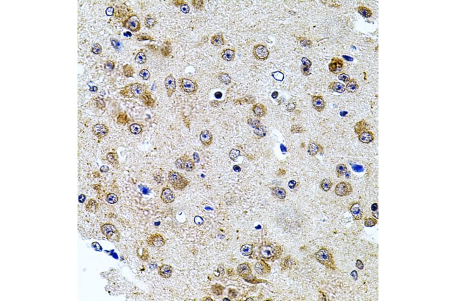
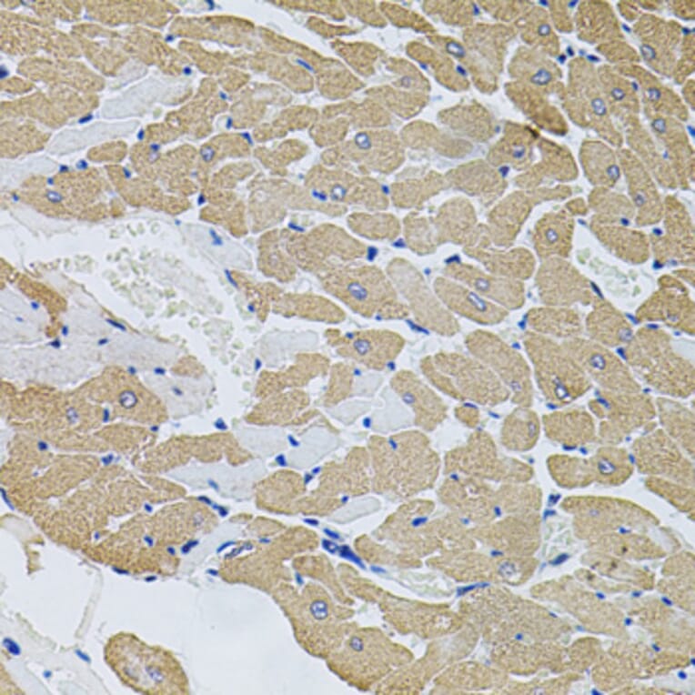
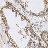
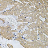
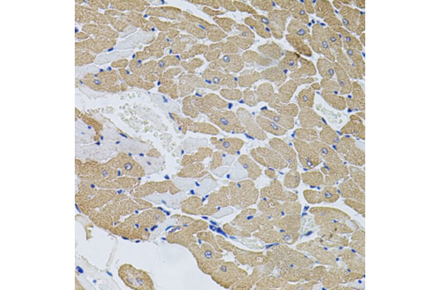
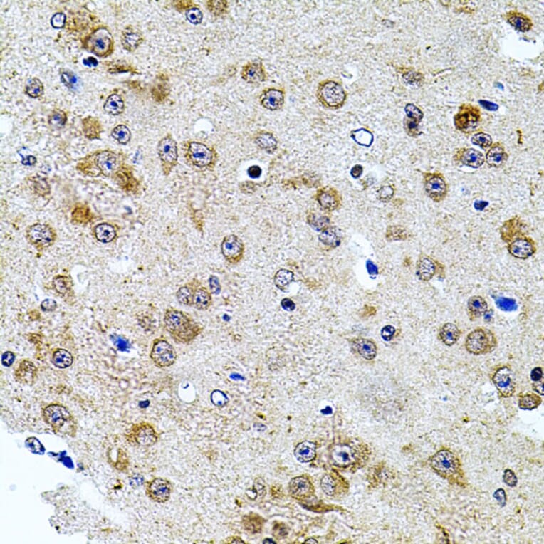
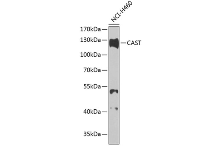
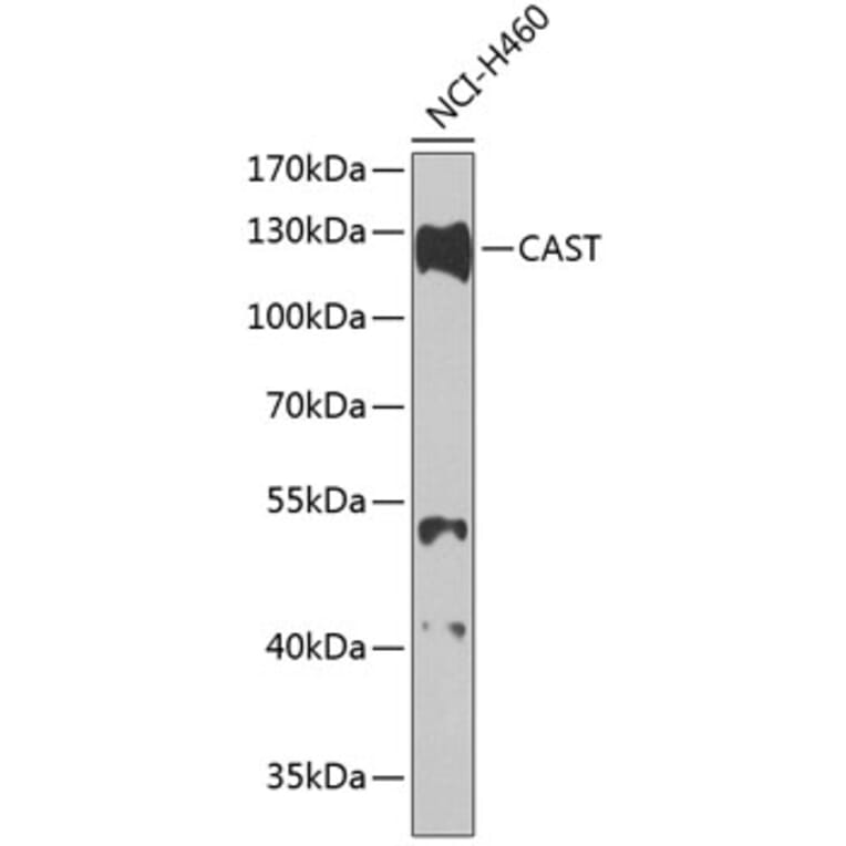
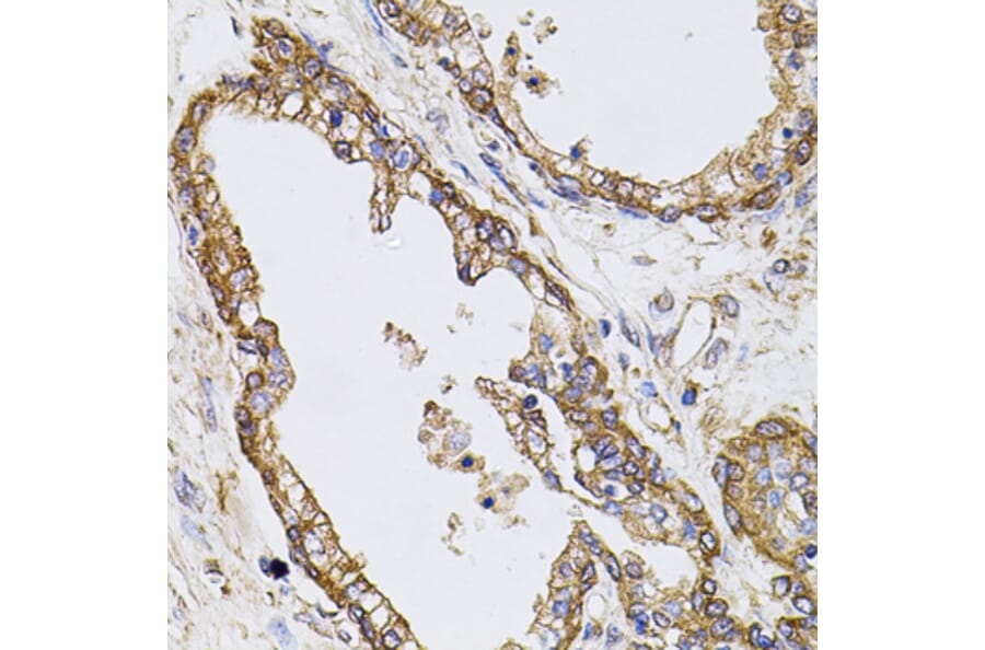
Anti-Calpastatin Antibody (A88076)

This product is discontinued

Anti-Calpastatin Antibody (A88076) has been discontinued and is no longer available.

View all Calpastatin Antibodies.

Name
Anti-Calpastatin Antibody
Description
Rabbit polyclonal antibody to Calpastatin.
Applications
WB, IHC
Dilutions
WB: 1:200-1:2,000, IHC: 1:50-1:200
Reactivity
Human, Mouse, Rat
Immunogen
A synthetic peptide corresponding to a sequence within amino acids 600 to the C-terminus of human CAST (NP_001177371.1).
Sequence
TIPPEYRHLLDDNGQDKPVKPPTKKSEDSKKPADDQDPIDALSGDLDSCPSTTETSQNTAKDKCKKAASSSKAPKNGGKAKDSAKTTEETSKPKDD
Host
Rabbit
Clonality
Polyclonal
Isotype
IgG
Conjugate

Unconjugated

Purification
Affinity purification.
Molecular Weight
124 kDa
Product Form
Liquid
Formulation
Supplied in Phosphate Buffered Saline, pH 7.3, with 50% Glycerol and 0.02% Sodium Azide.
Storage
Shipped at 4°C. Upon delivery aliquot and store at -20°C. Avoid freeze / thaw cycles.
Synonyms
Calpain inhibitor, CAST, Sperm BS-17 component
Disclaimer
This product is for research use only. It is not intended for diagnostic or therapeutic use.

Alternative products to Anti-Calpastatin Antibody (A88076)

Proteins predicted to interact with Calpastatin

Predicted protein interactions based upon String database. Revelancy score correlates with probability of interaction.
99.9% Relevancy Score
99.9% Relevancy Score
99.5% Relevancy Score
92.9% Relevancy Score
91.8% Relevancy Score
79% Relevancy Score
78.4% Relevancy Score
76.8% Relevancy Score
75.6% Relevancy Score