Immunofluorescent analysis of rat cerebellum section stained with Anti-Calretinin Antibody, at a dilution of 1:500, in green, and Anti-Calbindin Antibody (A85359 | 1:2,000, in red. Following transcardial perfusion of rat with 4% paraformaldehyde, brain was post fixed for 24 hours, cut to 45µM, and free-floating sections were stained with the above antibodies. The Anti-Calretinin Antibody labels interneurons in the granule cell layer, while the Anti-Calbindin Antibody stains Purkinje neurons and their dendritic processes in the molecular layer of the cerebellum.
Left: Adult mouse brain hippocampal section (45 µM; fixed by transcardial perfusion with 4% paraformaldehyde) was co-stained with Anti-Calretinin Antibody, at a dilution of 1:1000, in red, and Anti-Fox3/NeuN Antibody (A85403 | 1:1,000, in green. Anti-Calretinin Antibody stains a small number of interneuron in the stratum radiatum of CA1 region, and Fox/NeuN is expressed in most neurons in the brain. As a result, cells are positive for calretinin appear to be yellow. Right: Adult rat cortical section (45 µM; fixed by transcardial perfusion with 4% paraformaldehyde) was co-stained with Anti-Calretinin Antibody (red) and Anti-Calbindin Antibody (A85359 | green). In cortex, calretinin is expressed in a small population of interneurons concentrated in Layer 4 area, while calbindin is expressed in cells concentrated in Layer 2/3. Because each antibody specifically labels a different population of cells exclusively, the cells are either stained with green or red in the cortex. Insets are high-magnification images of the boxed area in each picture. Blue is DAPI staining that labels DNA.
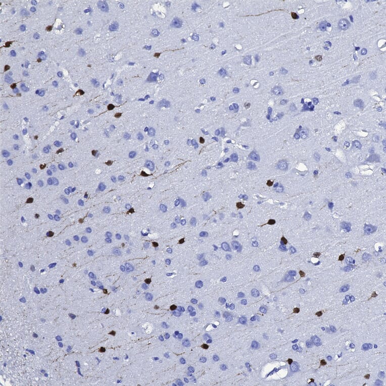
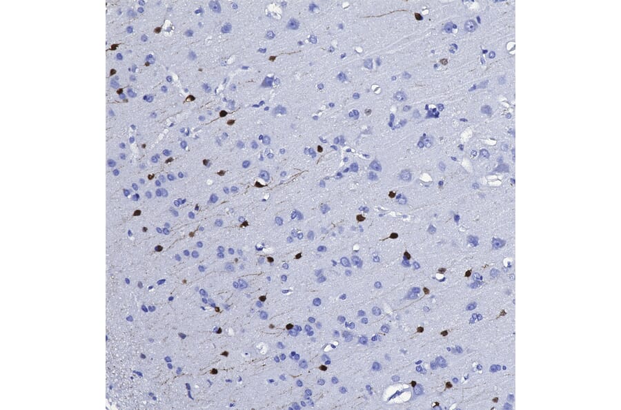
Immunohistochemistry analysis of a NBF fixed paraffin embedded human brain cortex section with Anti-Calretinin Antibody [3G9] (A85367) at a dilution of 1:2,000 detected with DAB (brown) using the Vector Labs ImmPRESS method and reagents with citra buffer retrieval. Counterstained with Hematoxylin (blue). Anti-Calretinin Antibody [3G9] (A85367) strongly stains the nucleus and cytoplasm of pyramidal neurons. The Anti-Calretinin Antibody [3G9] (A85367) performs well in testing with both 4% PFA and standard NBF fixed tissues but does not stain long term NBF fixed tissue effectively.
Western Blot - Anti-Calretinin Antibody [3G9] (A85367)
Western blot analysis of recombinant protein solutions using Anti-Calretinin Antibody [3G9] (A85367), at a dilution of 1:1,000, in green. The lanes contain samples of: [Lane 1] Protein standards, in red, [Lane 2] calbindin, [Lane 3] calretinin, [Lane 4] parvalbumin, and [Lane 5] secretogogin. The Anti-Calretinin Antibody [3G9] (A85367) reacts only with calretinin, and does not bind to other related calcium-binding proteins.
Western Blot - Anti-Calretinin Antibody [3G9] (A85367)
Western blot analysis of Anti-Calretinin Antibody. Left: Blot of cow cerebellum lysate was probed with Anti-Calretinin Antibody. The antibody binds strongly and cleanly to the calretinin band at 29kDa. Right: Blot of recombinant protein: secretagogin (Lane 1), parvalbumin (Lane 2), calretinin (Lane 3), calbindin (Lane 4) was probed with Anti-Carletinin Antibody. Lane 5 is protein marker. This antibody recognizes only calretinin, not other calcium-binding proteins.
Immunofluorescent analysis of mouse brain olfactory bulb section stained with Anti-Secretagogin Antibody (A104317), at a dilution of 1:1,000, in red, and co-stained with Anti-Calretinin Antibody [3G9] (A85367), at a dilution of 1:500, in green. The blue is Hoechst staining of nuclear DNA. Following transcardial perfusion with 4% paraformaldehyde, brain was post fixed for 24 hours, cut to 45µM, and free-floating sections were stained with the above antibodies. Secretagogin is highly expressed in the mitral and granular cell layers, while Calretinin is in the glomerular layer. Cells that express secretagogin or calretinin only are red or green respectively. A number of cells containing both proteins appears orange-yellow.
Western Blot - Anti-Calretinin Antibody [3G9] (A85367)
Western blot analysis of recombinant protein preparations using Anti-Calretinin Antibody [3G9] (A85367) at a dilution of 1:1,000. The lanes contain: [Lane 1] protein standards and equal amounts of [Lane 2] recombinant full length human calbindin, [Lane 3] calretinin, [Lane 4] parvalbumin, and [Lane 5] secretogogin. This antibody reacts only with calretinin, and does not bind to the other structurally and functionally related calcium binding proteins.