ISO 9001:2015 Certified
Live Customer Support
4.5/5 on Trustpilot
100% Quality Guarantee

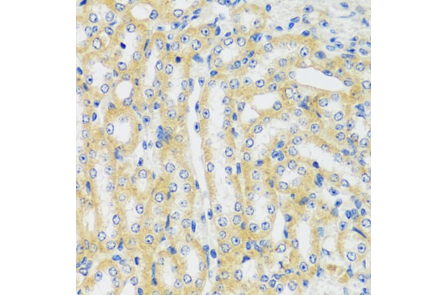
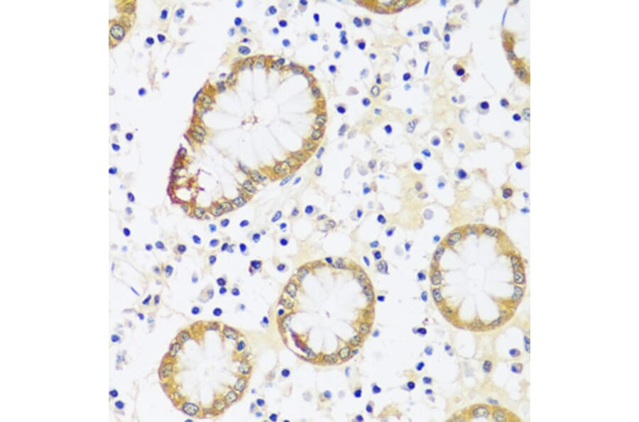
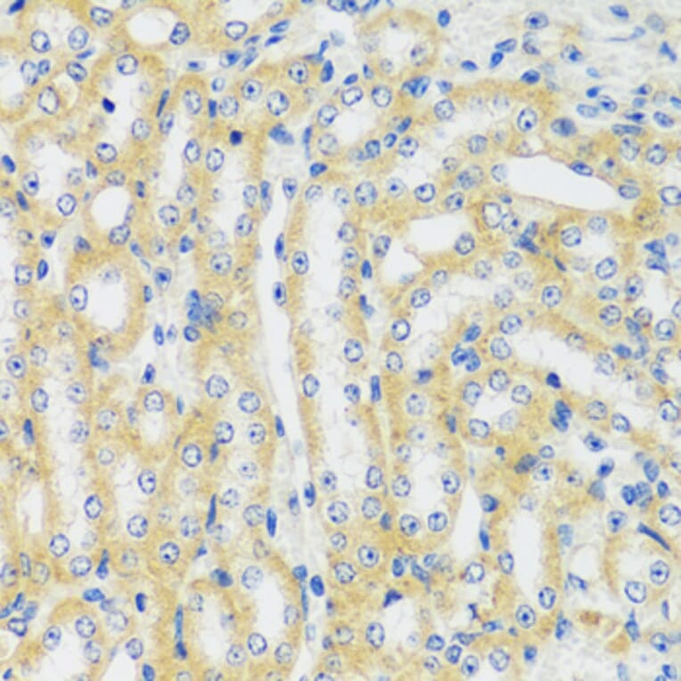
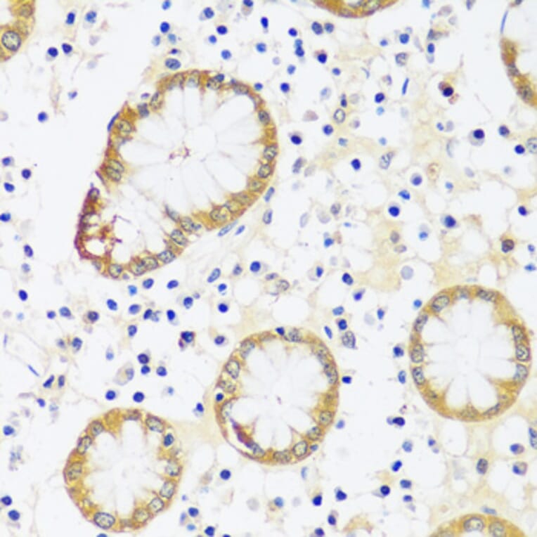
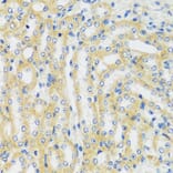
Anti-CaMKI Antibody (A89786)

Rabbit polyclonal antibody to CaMKI for WB and IHC.

Shipping Information

$40
Dispatched from St. Louis, MO.
Lead Time: 7-10 business days.
Name
Anti-CaMKI Antibody
Description
Rabbit polyclonal antibody to CaMKI.
Applications
WB, IHC
Dilutions
WB: 1:500-1:2,000, IHC: 1:50-1:100
Reactivity
Human, Mouse, Rat
Immunogen
Recombinant fusion protein containing a sequence corresponding to amino acids 1-93 of human CaMKI (NP_003647.1).
Sequence
MLGAVEGPRWKQAEDIRDIYDFRDVLGTGAFSEVILAEDKRTQKLVAIKCIAKEALEGKEGSMENEIAVLHKIKHPNIVALDDIYESGGHLYL
Host
Rabbit
Clonality
Polyclonal
Isotype
IgG
Conjugate

Unconjugated

Purification
Affinity purification.
Concentration
Lot Specific
Molecular Weight
41 kDa
Product Form
Liquid
Formulation
Supplied in Phosphate Buffered Saline, pH 7.3, with 50% Glycerol and 0.01% Thiomersal.
Storage
Shipped at 4°C. Upon delivery aliquot and store at -20°C. Avoid freeze/thaw cycles.
Synonyms
Calcium / calmodulin dependent protein kinase 1, Calcium / calmodulin dependent protein kinase I, Calcium / calmodulin dependent protein kinase type 1, Calcium/calmodulin dependent protein kinase 1, Calcium/calmodulin dependent protein kinase I, Calcium/calmodulin dependent protein kinase type 1, Calcium/calmodulin-dependent protein kinase type 1, CaM K1, CaM KI, CAM kinase 1, CaM kinase 1 alpha, CaM kinase I, CaM kinase I alpha, CaM-KI, CaMK 1, CAMK I, CAMK1, CaMK1 alpha, CAMK1 PEN, CaMKI alpha, CaMKI-alpha, KCC1A_HUMAN, MGC120317, MGC120318
Disclaimer
This product is for research use only. It is not intended for diagnostic or therapeutic use.
Publishing research using Anti-CaMKI Antibody (A89786)? Please let us know so that we can list the citation on this page.

Alternative products to Anti-CaMKI Antibody (A89786)