Western blot analysis of extracts of Mouse lung, using Anti-Caspase-3 Antibody (A308662) at 1:1,000 dilution. The secondary antibody was Goat Anti-Rabbit IgG H&L Antibody (HRP) at 1:10,000 dilution. Lysates/proteins were present at 25µg per lane. The blocking buffer used was 3% non-fat dry milk in TBST. Detection was with a ECL Basic Kit. Exposure time: 1s.
Western blot analysis of extracts of Jurkat cells, using Anti-Caspase-3 Antibody (A308662) at 1:1,000 dilution. Jurkat cells were treated by staurosporine(1 uM) for 3 hour. The secondary antibody was Goat Anti-Rabbit IgG H&L Antibody (HRP) at 1:10,000 dilution. Lysates/proteins were present at 25µg per lane. The blocking buffer used was 3% non-fat dry milk in TBST. Detection was with a ECL Basic Kit. Exposure time: 1s.
Western blot analysis of extracts from wild type(WT) and Caspase-3 p17 knockout (KO) 293T cells, using Anti-Caspase-3 Antibody (A308662) at 1:1,000 dilution. The secondary antibody was Goat Anti-Rabbit IgG H&L Antibody (HRP) at 1:10,000 dilution. Lysates/proteins were present at 25µg per lane. The blocking buffer used was 3% non-fat dry milk in TBST. Detection was with a ECL Basic Kit. Exposure time: 1s.
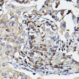
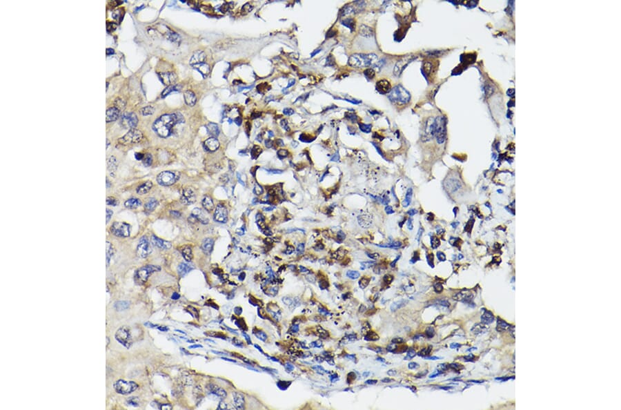
Immunohistochemistry analysis of paraffin-embedded human lung cancer using Anti-Caspase-3 Antibody (A308662) at a dilution of 1:100 (40x lens). Perform high pressure antigen retrieval with 10 mM citrate buffer pH 6.0 before commencing with IHC staining protocol.
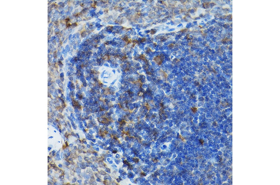
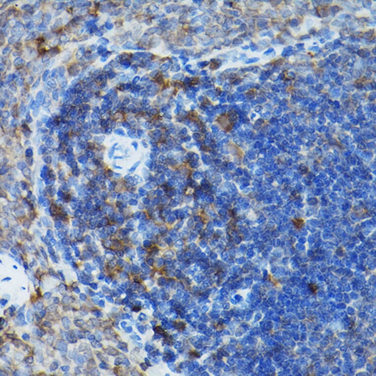
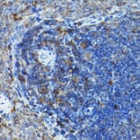
Immunohistochemistry analysis of paraffin-embedded rat spleen using Anti-Caspase-3 Antibody (A308662) at a dilution of 1:100 (40x lens). Perform high pressure antigen retrieval with 10 mM citrate buffer pH 6.0 before commencing with IHC staining protocol.
Immunofluorescence analysis of L929 cells using Anti-Caspase-3 Antibody (A308662) at a dilution of 1:100. DAPI was used to stain the cell nuclei (blue).
Immunofluorescence analysis of NIH/3T3 cells using Anti-Caspase-3 Antibody (A308662) at a dilution of 1:50 (40x lens). DAPI was used to stain the cell nuclei (blue).
Immunofluorescence analysis of PC-12 cells using Anti-Caspase-3 Antibody (A308662) at a dilution of 1:50 (40x lens). DAPI was used to stain the cell nuclei (blue).
Immunofluorescence analysis of U2OS cells using Anti-Caspase-3 Antibody (A308662) at a dilution of 1:50 (40x lens). DAPI was used to stain the cell nuclei (blue).