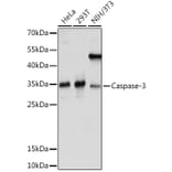
Western blot analysis of extracts of various cell lines, using Anti-Caspase-3 Antibody (A93186) at 1:1,000 dilution. The secondary antibody was Goat Anti-Rabbit IgG H&L Antibody (HRP) at 1:10,000 dilution. Lysates/proteins were present at 25µg per lane. The blocking buffer used was 3% non-fat dry milk in TBST. Detection was with a ECL Basic Kit. Exposure time: 5s.
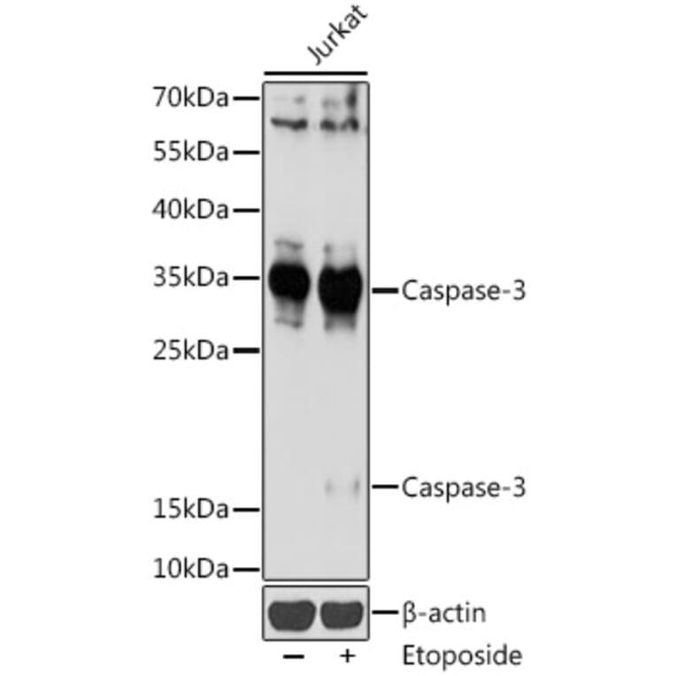
Western blot analysis of extracts of Jurkat cells, using Anti-Caspase-3 Antibody (A93186) at 1:1,000 dilution. Jurkat cells were treated by Etoposide (25 uM) at 37°C for 5 hours. The secondary antibody was Goat Anti-Rabbit IgG H&L Antibody (HRP) at 1:10,000 dilution. Lysates/proteins were present at 25µg per lane. The blocking buffer used was 3% non-fat dry milk in TBST. Detection was with a ECL Basic Kit. Exposure time: 90s.
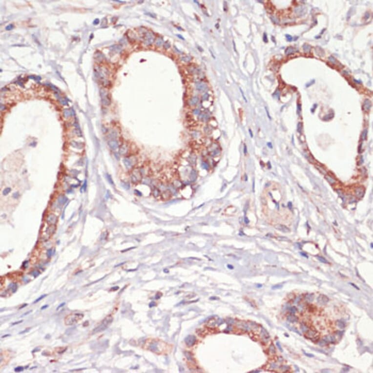
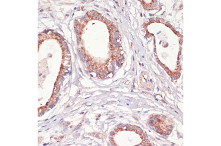
Immunohistochemistry analysis of paraffin-embedded human gastric cancer using Anti-Caspase-3 Antibody (A93186) at a dilution of 1:200 (40x lens). Perform microwave antigen retrieval with 10 mM PBS buffer pH 7.2 before commencing with IHC staining protocol.
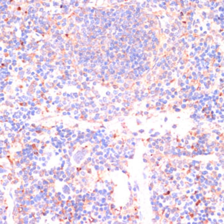
Immunohistochemistry analysis of paraffin-embedded mouse spleen using Anti-Caspase-3 Antibody (A93186) at a dilution of 1:200 (40x lens). Perform microwave antigen retrieval with 10 mM PBS buffer pH 7.2 before commencing with IHC staining protocol.
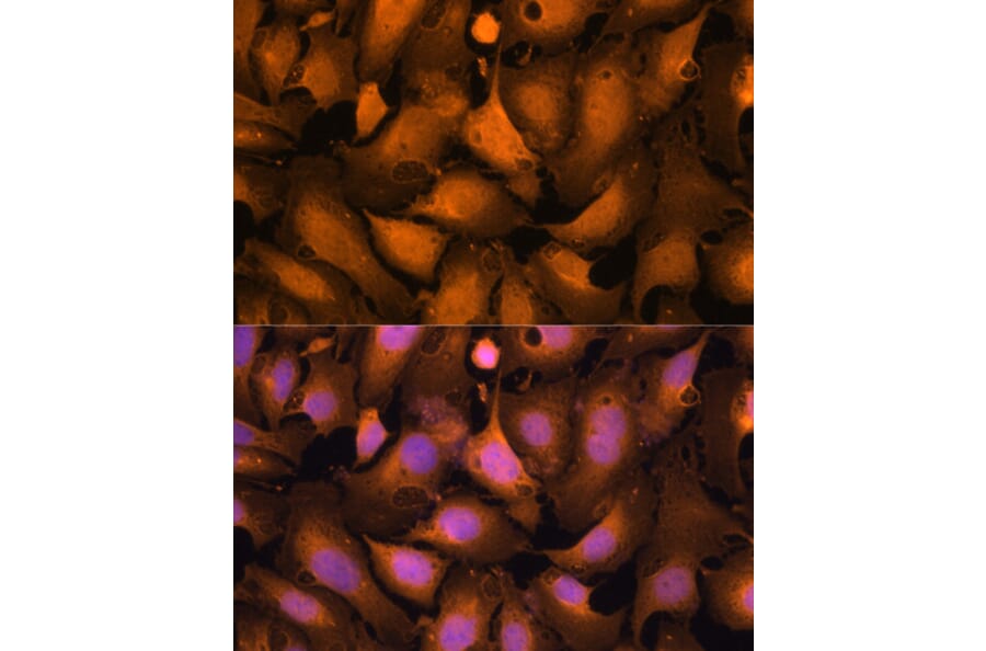
Immunofluorescence analysis of NIH/3T3 cells using Anti-Caspase-3 Antibody (A93186) at a dilution of 1:100. DAPI was used to stain the cell nuclei (blue).
Immunofluorescence analysis of U-2OS cells using Anti-Caspase-3 Antibody (A93186) at a dilution of 1:100. DAPI was used to stain the cell nuclei (blue).