ISO 9001:2015 Certified
Live Customer Support
4.5/5 on Trustpilot
100% Quality Guarantee

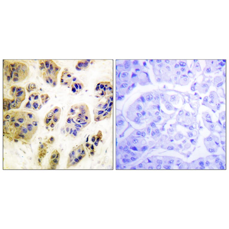
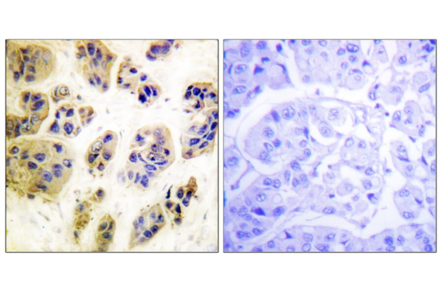
Anti-CBL (phospho Tyr700) Antibody (A93787)

Rabbit polyclonal antibody to CBL (phospho Tyr700) for WB, IHC, IF and ELISA.

Shipping Information

$40
Dispatched from St. Louis, MO.
Lead Time: 6-8 business days.
Name
Anti-CBL (phospho Tyr700) Antibody
Description
Rabbit polyclonal antibody to CBL (phospho Tyr700).
Specificity
This antibody detects endogenous levels of CBL only when phosphorylated at Tyr700.
Applications
WB, IHC, IF, ELISA
Dilutions
WB: 1:500~1:1000, IHC: 1:50~1:100, IF: 1:100~1:500, ELISA: 1:1000
Reactivity
Human, Mouse, Rat
Cross Reactivity
No reported cross-reactivity.
Immunogen
Synthetic peptide derived from human CBL around the phosphorylation site of Tyr700 (amino acids 666-715).
Host
Rabbit
Clonality
Polyclonal
Isotype
IgG
Conjugate

Unconjugated

Purification
Purified from rabbit serum by antigen affinity chromatography using the immunizing phospho peptide.
Molecular Weight
99kDa
Product Form
Liquid
Formulation
Supplied in Phosphate Buffered Saline (without Mg2+ and Ca2+), pH 7.4, with 150mM NaCl, 0.02% Sodium Azide, and 50% Glycerol.
Storage
Shipped at 4°C. Upon delivery aliquot and store at -20°C. Avoid freeze / thaw cycles.
Synonyms
Casitas B-lineage lymphoma proto-oncogene, CBL2, E3 ubiquitin-protein ligase CBL, Proto-oncogene c-Cbl, RING finger protein 55, RING-type E3 ubiquitin transferase CBL, RNF55, Signal transduction protein CBL
Disclaimer
This product is for research use only. It is not intended for diagnostic or therapeutic use.
Publishing research using Anti-CBL (phospho Tyr700) Antibody (A93787)? Please let us know so that we can list the citation on this page.

Alternative products to Anti-CBL (phospho Tyr700) Antibody (A93787)

Proteins predicted to interact with CBL

Predicted protein interactions based upon String database. Revelancy score correlates with probability of interaction.
99.9% Relevancy Score
99.9% Relevancy Score
99.9% Relevancy Score
99.9% Relevancy Score
99.9% Relevancy Score
99.9% Relevancy Score
99.9% Relevancy Score
99.9% Relevancy Score
99.9% Relevancy Score