Primary Antibodies
Secondary Antibodies
Proteins & Peptides
ELISA Kits
About Us
Contact Us
Sign In/Register
0
ISO 9001:2015 Certified
Live Customer Support
4.5/5 on Trustpilot
100% Quality Guarantee
Home
Primary Antibodies
CBX3 Antibodies
Anti-CBX3 Antibody (A38780)
Anti-CBX3 Antibody (A38780)
Overview
Specifications
Images
Enlarge Image
Enlarge Image
$430
Product Datasheet
Rabbit polyclonal antibody to CBX3 for WB and IHC.
100% Guarantee
Price Match Guarantee
Product Size:
100µl
Quantity:
1
2
3
4
5
6
7
8
9
10
Add To Cart
Request a Quotation
Custom or Bulk Request
Shipping Information
Freight/Packing Charges:
$40
Dispatched from St. Louis, MO.
Lead Time: 6-9 business days.
Specifications
Name
Anti-CBX3 Antibody
Description
Rabbit polyclonal antibody to CBX3
Specificity
The antibody detects endogenous levels of total CBX3 protein.
Applications
WB
,
IHC
Reactivity
Human, Mouse
Immunogen
Synthetic peptide corresponding to residues near the N terminal of human chromobox homolog 3
Host
Rabbit
Clonality
Polyclonal
Conjugate
Unconjugated
Purification
Antigen affinity purification.
Concentration
2.4 mg/mL
Formulation
Supplied in PBS, pH 7.3, containing 0.05% sodium azide and 50% glycerol.
Storage
Shipped at 4°C. Upon delivery aliquot and store at -20°C. Avoid freeze/thaw cycles.
Synonyms
Chromobox protein homolog 3, HECH, Heterochromatin protein 1 homolog gamma, HP1 gamma, Modifier 2 protein
Suitable Secondaries
Goat Anti-Rabbit IgG H&L Antibody (AP) (A294874)
Goat Anti-Rabbit IgG H&L Antibody (Biotin) (A294795)
Goat Anti-Rabbit IgG H&L Antibody (FITC) (A294887)
Goat Anti-Rabbit IgG H&L Antibody (HRP) (A294888)
See all Anti-Rabbit IgG Secondaries →
Disclaimer
This product is for research use only. It is not intended for diagnostic or therapeutic use.
Scientific Validation Data
Validation Data
(2)
Enlarge Image
Anti-CBX3 Antibody (A38780)
Gel: 10% SDS-PAGE Lysates (from left to right): A375 and Raji cell, human fetal brain tissue Amount of lysate: 40ug per lane Primary antibody: 1/600 dilution Secondary antibody dilution: 1/8000 Exposure time: 1 second
Enlarge Image
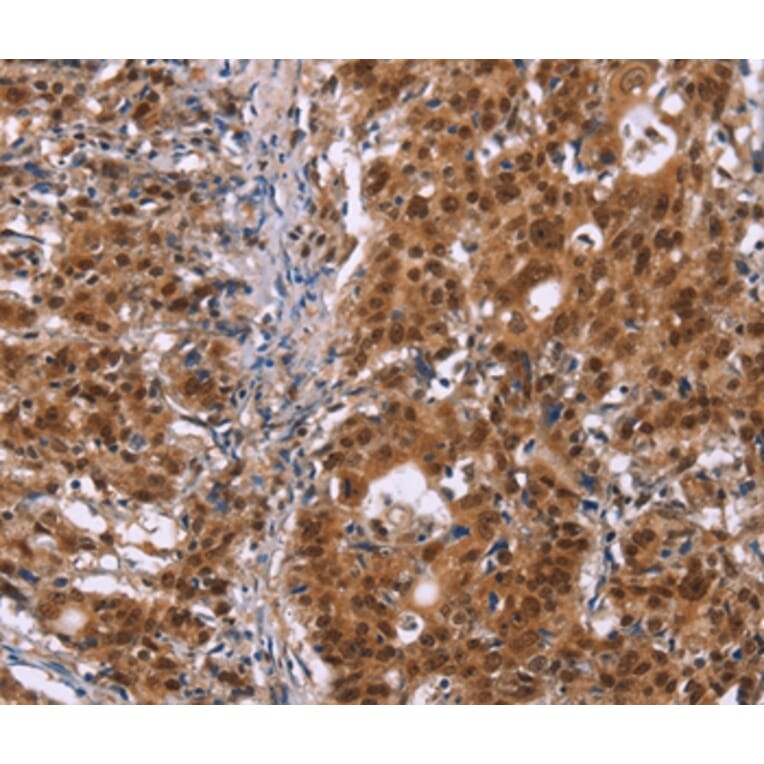
Immunohistochemistry - Anti-CBX3 Antibody (A38780)
Immunohistochemical analysis of paraffin-embedded Human gastric cancer tissue using #36926 at dilution 1/40.
Publishing research using Anti-CBX3 Antibody (A38780)? Please
let us know
so that we can list the citation on this page.
Alternative products to Anti-CBX3 Antibody (A38780)
(3)
A95183
Anti-HP1 gamma Antibody
Rabbit polyclonal antibody to HP1 gamma for WB, IHC, IF and ELISA.
(4)
A329445
Anti-CBX3 Antibody
Rabbit polyclonal antibody to CBX3 for WB, IHC-P and ELISA.
A94605
Anti-HP1 gamma (phospho Ser93) Antibody
Rabbit polyclonal antibody to HP1 gamma (phospho Ser93) for WB, IHC, IF and ELISA.
A345027
Anti-CBX3 Antibody [24GB8590]
Mouse monoclonal [24GB8590] antibody to CBX3 for WB, Flow Cytometry and ICC/IF.
A345026
Anti-CBX3 Antibody [25GB3825]
Mouse monoclonal [25GB3825] antibody to CBX3 for WB.
A345024
Anti-CBX3 Antibody [24GB6770]
Mouse monoclonal [24GB6770] antibody to CBX3 for WB.
A345025
Anti-CBX3 Antibody [25GB3950]
Mouse monoclonal [25GB3950] antibody to CBX3 for WB.
(3)
A95183
Anti-HP1 gamma Antibody
Rabbit polyclonal antibody to HP1 gamma for WB, IHC, IF and ELISA.
(4)
A329445
Anti-CBX3 Antibody
Rabbit polyclonal antibody to CBX3 for WB, IHC-P and ELISA.
A94605
Anti-HP1 gamma (phospho Ser93) Antibody
Rabbit polyclonal antibody to HP1 gamma (phospho Ser93) for WB, IHC, IF and ELISA.
A345027
Anti-CBX3 Antibody [24GB8590]
Mouse monoclonal [24GB8590] antibody to CBX3 for WB, Flow Cytometry and ICC/IF.
A345026
Anti-CBX3 Antibody [25GB3825]
Mouse monoclonal [25GB3825] antibody to CBX3 for WB.
A345024
Anti-CBX3 Antibody [24GB6770]
Mouse monoclonal [24GB6770] antibody to CBX3 for WB.
A345025
Anti-CBX3 Antibody [25GB3950]
Mouse monoclonal [25GB3950] antibody to CBX3 for WB.
See all CBX3 Antibodies
Proteins predicted to interact with CBX3
Predicted protein interactions based upon String database. Revelancy score correlates with probability of interaction.
EHMT2 Antibodies
99.9% Relevancy Score
E2F6 Antibodies
99.7% Relevancy Score
PCGF6 Antibodies
99.6% Relevancy Score
L3MBTL2 Antibodies
99.3% Relevancy Score
KAP1 Antibodies
98.4% Relevancy Score
Histone H1.4 Antibodies
98.3% Relevancy Score
L3MBTL1 Antibodies
97.9% Relevancy Score
RING1 Antibodies
97.5% Relevancy Score
HP1 alpha Antibodies
97.5% Relevancy Score
Top