ISO 9001:2015 Certified
Live Customer Support
4.5/5 on Trustpilot
100% Quality Guarantee

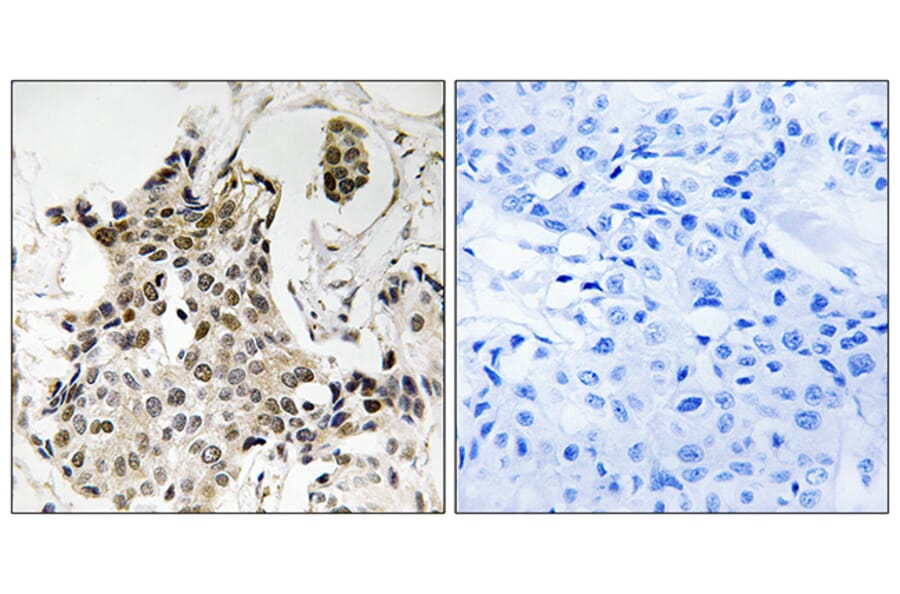
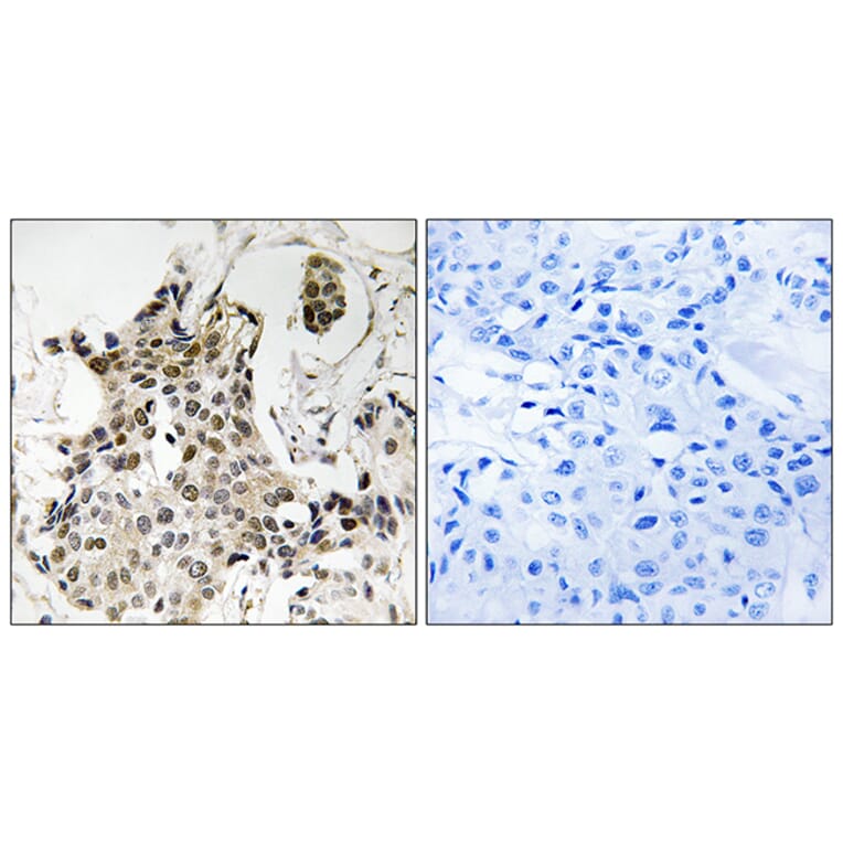
Anti-HP1 gamma Antibody (A95183)

Rabbit polyclonal antibody to HP1 gamma for WB, IHC, IF and ELISA.

Shipping Information

$40
Dispatched from St. Louis, MO.
Lead Time: 6-8 business days.
Name
Anti-HP1 gamma Antibody
Description
Rabbit polyclonal antibody to HP1 gamma.
Applications
WB, IHC, IF, ELISA
Dilutions
WB: 1:500~1:1000, IHC: 1:50~1:100, ELISA: 1:40000
Reactivity
Human, Mouse, Rat
Cross Reactivity
No reported cross-reactivity.
Immunogen
Synthetic peptide derived from human HP1 gamma (amino acids 59-108).
Host
Rabbit
Clonality
Polyclonal
Isotype
IgG
Conjugate

Unconjugated

Purification
Purified from rabbit serum by antigen affinity chromatography using the immunizing peptide.
Molecular Weight
20kDa
Product Form
Liquid
Formulation
Supplied in Phosphate Buffered Saline (without Mg2+ and Ca2+), pH 7.4, with 150mM NaCl, 0.02% Sodium Azide, and 50% Glycerol.
Storage
Shipped at 4°C. Upon delivery aliquot and store at -20°C. Avoid freeze / thaw cycles.
Synonyms
Chromobox protein homolog 3, HECH, Heterochromatin protein 1 homolog gamma, HP1 gamma, Modifier 2 protein
Disclaimer
This product is for research use only. It is not intended for diagnostic or therapeutic use.
Publishing research using Anti-HP1 gamma Antibody (A95183)? Please let us know so that we can list the citation on this page.

Alternative products to Anti-HP1 gamma Antibody (A95183)

Proteins predicted to interact with CBX3

Predicted protein interactions based upon String database. Revelancy score correlates with probability of interaction.
99.9% Relevancy Score
99.7% Relevancy Score
99.6% Relevancy Score
99.3% Relevancy Score
98.4% Relevancy Score
98.3% Relevancy Score
97.9% Relevancy Score
97.5% Relevancy Score
97.5% Relevancy Score