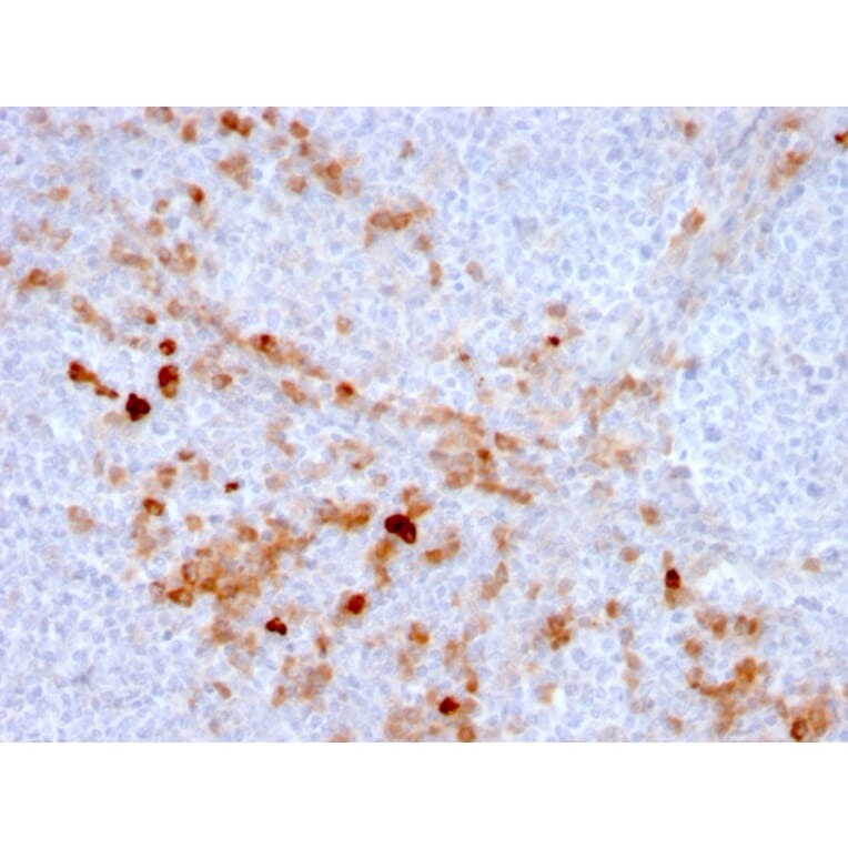
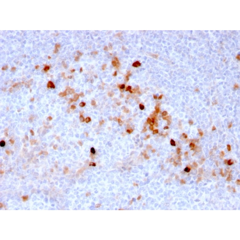
This antibody is a specific and sensitive marker for tumor angiogenesis as it labels only newly-formed blood vessels and may serve as a prognostic marker for Prostate Adenocarcinoma, and cancers of the lung, stomach, breast, and brain.
Applications
IHC-P
Dilutions
IHC-P: 1-2 µg/ml
Reactivity
Human
Immunogen
Recombinant fragment, around amino acids 74-251, of human Endoglin protein. The exact sequence is proprietary.
Host
Mouse
Clonality
Monoclonal
Clone ID
ENG/3269
Isotype
IgG2b
Light Chains
kappa
Conjugate
Unconjugated
Purification
Protein A/G chromatography.
Concentration
200 µg/ml
Molecular Weight
84 kDa
Product Form
Liquid
Formulation
Supplied in 10mM Phosphate Buffered Saline with 0.05% BSA and 0.05% Sodium Azide.
Storage
Shipped at 4°C. Upon delivery aliquot and store at -20°C. Avoid freeze / thaw cycles.
SDS-PAGE analysis of Anti-CD105 Antibody [ENG/3269] under non-reduced and reduced conditions; showing intact IgG and intact heavy and light chains, respectively. SDS-PAGE analysis confirms the integrity and purity of the antibody.
Analysis of protein array containing more than 19,000 full-length human proteins using Anti-CD105 Antibody [ENG/3269]. Z-Score and S- Score: The Z-score represents the strength of a signal that a monoclonal antibody (MAb) (in combination with a fluorescently-tagged anti-IgG secondary antibody) produces when binding to a particular protein on the HuProtTM array. Z-scores are described in units of standard deviations (SD's) above the mean value of all signals generated on that array. If targets on HuProtTM are arranged in descending order of the Z-score, the S-score is the difference (also in units of SD's) between the Z-score. S-score therefore represents the relative target specificity of a MAb to its intended target; a MAb is considered to be specific to its intended target, if the MAb has an S-score of at least 2.5. For example, if a MAb binds to protein X with a Z-score of 43 and to protein Y with a Z-score of 14, then the S-score for the binding of that MAb to protein X is equal to 29.
Publishing research using Anti-CD105 Antibody [ENG/3269] (A248432)? Please let us know so that we can list the citation on this page.
Alternative products to Anti-CD105 Antibody [ENG/3269] (A248432)
Recombinant chimeric monoclonal antibody to CD105 for use as a research grade Carotuximab biosimilar for ELISA, Flow Cytometry, Functional Studies and in vivo Research.
Recombinant human monoclonal antibody to CD105 for use as a research grade Anti-Human CD105 [TRC205] for ELISA, Flow Cytometry, Functional Studies and in vivo Research.
Recombinant chimeric monoclonal antibody to CD105 for use as a research grade Carotuximab biosimilar for ELISA, Flow Cytometry, Functional Studies and in vivo Research.
Recombinant human monoclonal antibody to CD105 for use as a research grade Anti-Human CD105 [TRC205] for ELISA, Flow Cytometry, Functional Studies and in vivo Research.