Primary Antibodies
Secondary Antibodies
Proteins & Peptides
ELISA Kits
About Us
Contact Us
Sign In/Register
0
ISO 9001:2015 Certified
Live Customer Support
4.5/5 on Trustpilot
100% Quality Guarantee
Home
Primary Antibodies
CD109 Antibodies
Anti-CD109 Antibody (A46135)
Anti-CD109 Antibody (A46135)
Overview
Specifications
Images
Enlarge Image
Enlarge Image
$430
Product Datasheet
Rabbit polyclonal antibody to CD109 for IHC.
100% Guarantee
Price Match Guarantee
Product Size:
100µl
Quantity:
1
2
3
4
5
6
7
8
9
10
Add To Cart
Request a Quotation
Custom or Bulk Request
Shipping Information
Freight/Packing Charges:
$40
Dispatched from St. Louis, MO.
Lead Time: 6-9 business days.
Specifications
Name
Anti-CD109 Antibody
Description
Rabbit polyclonal antibody to CD109
Specificity
The antibody detects endogenous levels of total CD109 protein.
Applications
IHC
Reactivity
Human
Immunogen
Synthetic peptide corresponding to a region derived from internal residues of human CD109 molecule
Host
Rabbit
Clonality
Polyclonal
Conjugate
Unconjugated
Purification
Antigen affinity purification.
Concentration
1.1 mg/mL
Formulation
Supplied in PBS, pH 7.3, containing 0.05% sodium azide and 50% glycerol.
Storage
Shipped at 4°C. Upon delivery aliquot and store at -20°C. Avoid freeze/thaw cycles.
Synonyms
150 kDa TGF-beta-1-binding protein, C3 and PZP-like alpha-2-macroglobulin domain-containing protein 7, CD109 antigen, CPAMD7, p180, Platelet-specific Gov antigen, r150
Suitable Secondaries
Goat Anti-Rabbit IgG H&L Antibody (AP) (A294874)
Goat Anti-Rabbit IgG H&L Antibody (Biotin) (A294795)
Goat Anti-Rabbit IgG H&L Antibody (FITC) (A294887)
Goat Anti-Rabbit IgG H&L Antibody (HRP) (A294888)
See all Anti-Rabbit IgG Secondaries →
Disclaimer
This product is for research use only. It is not intended for diagnostic or therapeutic use.
Scientific Validation Data
Validation Data
(2)
Enlarge Image
Immunohistochemistry - Anti-CD109 Antibody (A46135)
Immunohistochemical analysis of paraffin-embedded Human liver cancer tissue using #37154 at dilution 1/30.
Enlarge Image
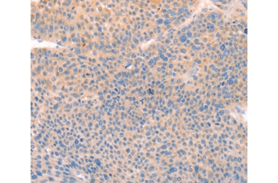
Immunohistochemistry - Anti-CD109 Antibody (A46135)
Immunohistochemical analysis of paraffin-embedded Human thyroid cancer tissue using #37154 at dilution 1/30.
Publishing research using Anti-CD109 Antibody (A46135)? Please
let us know
so that we can list the citation on this page.
Alternative products to Anti-CD109 Antibody (A46135)
(2)
A121773
Anti-CD109 Antibody [W7C5]
Mouse monoclonal [W7C5] antibody to CD109 for Flow Cytometry.
A329190
Anti-CD109 Antibody [ARC61642]
Rabbit monoclonal [ARC61642] antibody to CD109 for WB and ELISA.
A341995
Anti-CD109 Antibody [B-E47] - BSA and Azide free
Mouse monoclonal [B-E47] IVD antibody to CD109 for Flow Cytometry.
A341996
Anti-CD109 Antibody [B-E47]
Mouse monoclonal [B-E47] IVD antibody to CD109 for Flow Cytometry.
(2)
A121773
Anti-CD109 Antibody [W7C5]
Mouse monoclonal [W7C5] antibody to CD109 for Flow Cytometry.
A329190
Anti-CD109 Antibody [ARC61642]
Rabbit monoclonal [ARC61642] antibody to CD109 for WB and ELISA.
A341995
Anti-CD109 Antibody [B-E47] - BSA and Azide free
Mouse monoclonal [B-E47] IVD antibody to CD109 for Flow Cytometry.
A341996
Anti-CD109 Antibody [B-E47]
Mouse monoclonal [B-E47] IVD antibody to CD109 for Flow Cytometry.
Proteins predicted to interact with CD109
Predicted protein interactions based upon String database. Revelancy score correlates with probability of interaction.
TGF beta 1 Antibodies
88.4% Relevancy Score
CD9 Antibodies
72.8% Relevancy Score
ALPL Antibodies
65.3% Relevancy Score
TEM1 Antibodies
61.3% Relevancy Score
CD44 Antibodies
61.1% Relevancy Score
Furin Antibodies
61% Relevancy Score
CD34 Antibodies
59.8% Relevancy Score
Integrin beta 3 Antibodies
59.7% Relevancy Score
CD151 Antibodies
59.3% Relevancy Score
Top