ISO 9001:2015 Certified
Live Customer Support
4.5/5 on Trustpilot
100% Quality Guarantee

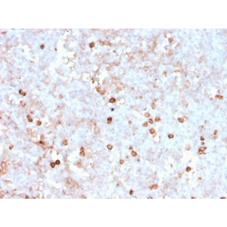
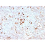
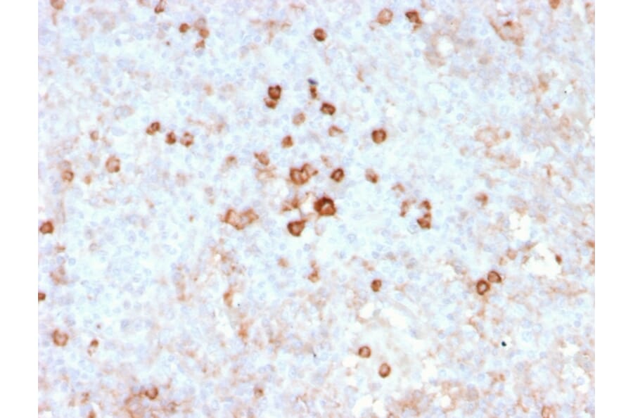
Recombinant Anti-CD14 Antibody [rLPSR/2408] - BSA and Azide free (A253754)

Recombinant mouse monoclonal [rLPSR/2408] antibody to CD14 for IHC-P.

Alternative Formats and ConjugatesAlternative Formats

Shipping Information

$40
Dispatched from St. Louis, MO.
Lead Time: 5-8 business days.
Name
Anti-CD14 Antibody [rLPSR/2408] - BSA and Azide free
Description
Recombinant mouse monoclonal [rLPSR/2408] antibody to CD14.
Specificity
This antibody recognizes a protein of 55kDa, identified as CD14 (also known lipopolysaccharide receptor). CD14 is expressed strongly on monocytes and macrophage and weakly on the surface of neutrophils. CD14 is anchored to cells by linkage to glycosylphosphatidylinositol (GPI) and functions as a high affinity receptor for complexes of LPS and LPS binding protein (LBP). Soluble CD14, also binding to LPS, acts at physiological concentration as an LPS agonist and has, at higher concentrations, an LPS antagonizing effect in cell activation.
Applications
IHC-P
Dilutions
IHC-P: 1-2 µg/ml
Reactivity
Human
Immunogen
Recombinant fragment, around amino acids 25-148, of human CD14 protein. The exact sequence is proprietary.
Host
Mouse
Clonality
Monoclonal
Clone ID
rLPSR/2408
Isotype
IgG1
Light Chains
kappa
Conjugate

Unconjugated

Purification
Protein A/G chromatography.
Concentration
1 mg/ml
Molecular Weight
55 kDa
Product Form
Liquid
Formulation
Supplied in 10mM Phosphate Buffered Saline; without Sodium Azide and carrier free.
Storage
Shipped at 4°C. Upon delivery aliquot and store at -20°C. Avoid freeze / thaw cycles.
General Notes
This monoclonal antibody is also available in a different formulation with BSA and Sodium Azide - Anti-CD14 Antibody [rLPSR/2408] (A250574).
Synonyms
Monocyte differentiation antigen CD14, My23 antigen, Myeloid cell-specific leucine-rich glycoprotein
Disclaimer
This product is for research use only. It is not intended for diagnostic or therapeutic use.
Publishing research using Recombinant Anti-CD14 Antibody [rLPSR/2408] - BSA and Azide free (A253754)? Please let us know so that we can list the citation on this page.

Alternative products to Anti-CD14 Antibody [rLPSR/2408] - BSA and Azide free (A253754)

Proteins predicted to interact with CD14

Predicted protein interactions based upon String database. Revelancy score correlates with probability of interaction.
99.5% Relevancy Score
99.2% Relevancy Score
99.1% Relevancy Score
97.7% Relevancy Score
93.5% Relevancy Score
81.7% Relevancy Score
80.5% Relevancy Score
80.3% Relevancy Score
76.7% Relevancy Score