Western blot analysis of extracts of various cell lines, using Anti-CD147 Antibody (A11460) at 1:1,000 dilution. The secondary antibody was Goat Anti-Rabbit IgG H&L Antibody (HRP) at 1:10,000 dilution. Lysates/proteins were present at 25µg per lane. The blocking buffer used was 3% non-fat dry milk in TBST. Detection was with a ECL Basic Kit. Exposure time: 5s.
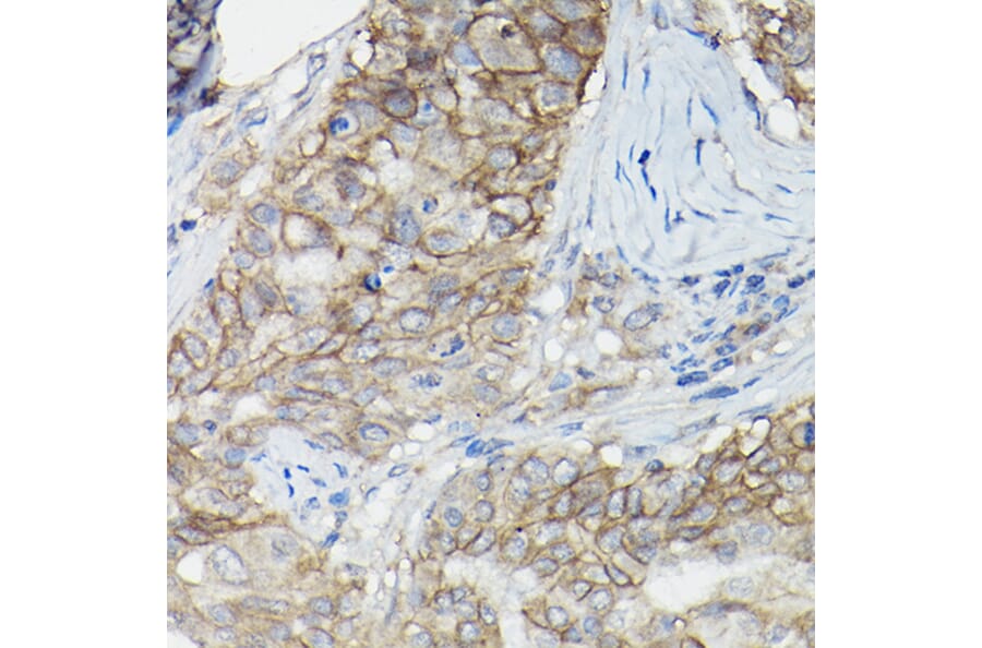
Immunohistochemistry analysis of paraffin-embedded human breast cancer tissue using Anti-CD147 Antibody (A11460) at a dilution of 1:100 (40x lens). Perform high pressure antigen retrieval with 10 mM citrate buffer pH 6.0 before commencing with IHC staining protocol.
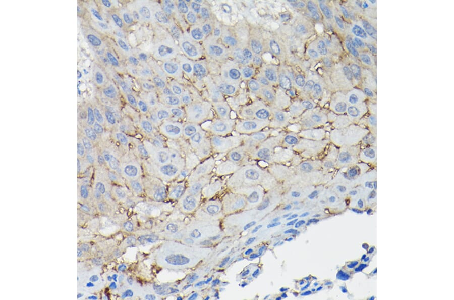
Immunohistochemistry analysis of paraffin-embedded human esophageal cancer using Anti-CD147 Antibody (A11460) at a dilution of 1:100 (40x lens). Perform high pressure antigen retrieval with 10 mM citrate buffer pH 6.0 before commencing with IHC staining protocol.
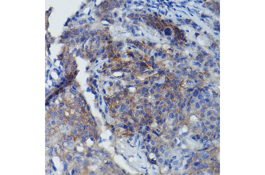
Immunohistochemistry analysis of paraffin-embedded human cervix cancer tissue using Anti-CD147 Antibody (A11460) at a dilution of 1:100 (40x lens). Perform high pressure antigen retrieval with 10 mM citrate buffer pH 6.0 before commencing with IHC staining protocol.
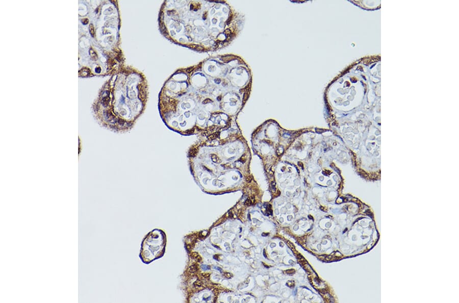
Immunohistochemistry analysis of paraffin-embedded human placenta using Anti-CD147 Antibody (A11460) at a dilution of 1:100 (40x lens). Perform high pressure antigen retrieval with 10 mM citrate buffer pH 6.0 before commencing with IHC staining protocol.
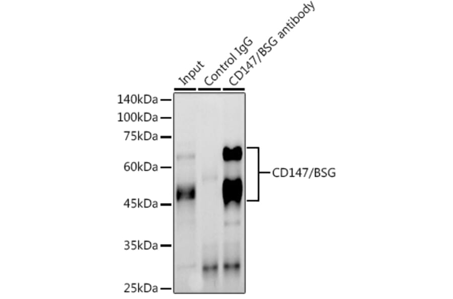
Immunoprecipitation analysis of 600µg extracts of mouse brain using 3µg of Anti-CD147 Antibody (A11460). This Western blot was performed on the immunoprecipitate using Anti-CD147 Antibody (A11460) at a dilution of 1:1000.
Recombinant humanized monoclonal antibody to CD147 for use as a research grade Meplazumab biosimilar for ELISA, Flow Cytometry, Functional Studies and in vivo Research.
Recombinant mouse monoclonal antibody to CD147 for use as a research grade Gavilimomab biosimilar for ELISA, Flow Cytometry, Functional Studies and in vivo Research.
Recombinant human monoclonal antibody to CD147 for use as a research grade Ziralimumab biosimilar for ELISA, Flow Cytometry, Functional Studies and in vivo Research.
Recombinant humanized monoclonal antibody to CD147 for use as a research grade Meplazumab biosimilar for ELISA, Flow Cytometry, Functional Studies and in vivo Research.
Recombinant mouse monoclonal antibody to CD147 for use as a research grade Gavilimomab biosimilar for ELISA, Flow Cytometry, Functional Studies and in vivo Research.
Recombinant human monoclonal antibody to CD147 for use as a research grade Ziralimumab biosimilar for ELISA, Flow Cytometry, Functional Studies and in vivo Research.